验证数据展示
经过测试的应用
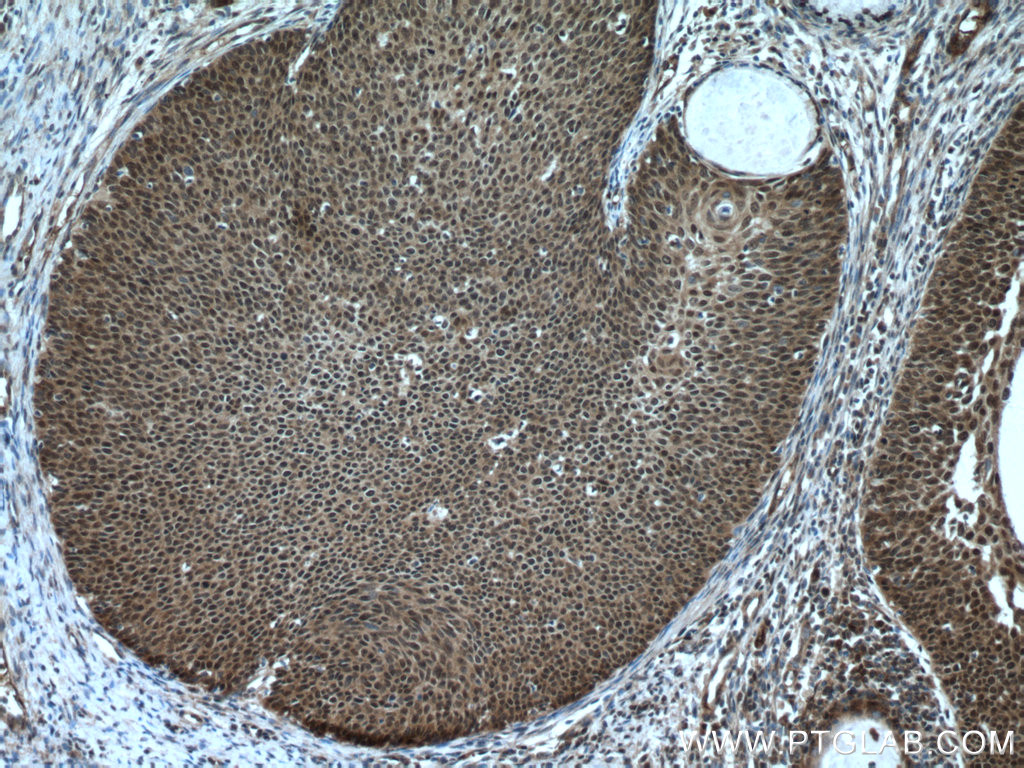
| Positive IHC detected in | human breast cancer tissue, human cervical cancer tissue, human malignant melanoma tissue Note: suggested antigen retrieval with TE buffer pH 9.0; (*) Alternatively, antigen retrieval may be performed with citrate buffer pH 6.0 |
| Positive IF/ICC detected in | NIH/3T3 cells |
推荐稀释比
| 应用 | 推荐稀释比 |
|---|---|
| Immunohistochemistry (IHC) | IHC : 1:50-1:500 |
| Immunofluorescence (IF)/ICC | IF/ICC : 1:20-1:200 |
| It is recommended that this reagent should be titrated in each testing system to obtain optimal results. | |
| Sample-dependent, Check data in validation data gallery. | |
产品信息
55246-1-AP targets CARM1 in WB, IHC, IF/ICC, IP, CoIP, ELISA applications and shows reactivity with human, mouse, rat, monkey samples.
| 经测试应用 | IHC, IF/ICC, ELISA Application Description |
| 文献引用应用 | WB, IHC, IF, IP, CoIP |
| 经测试反应性 | human, mouse, rat, monkey |
| 文献引用反应性 | human, mouse |
| 免疫原 |
Peptide 种属同源性预测 |
| 宿主/亚型 | Rabbit / IgG |
| 抗体类别 | Polyclonal |
| 产品类型 | Antibody |
| 全称 | coactivator-associated arginine methyltransferase 1 |
| 别名 | Protein arginine N-methyltransferase 4, PRMT4, Histone-arginine methyltransferase CARM1, EC:2.1.1.319, Coactivator-associated arginine methyltransferase 1 |
| 计算分子量 | 66 kDa |
| 观测分子量 | 63-66 kDa, 55 kDa |
| GenBank蛋白编号 | NM_199141 |
| 基因名称 | CARM1 |
| Gene ID (NCBI) | 10498 |
| RRID | AB_10863291 |
| 偶联类型 | Unconjugated |
| 形式 | Liquid |
| 纯化方式 | Antigen affinity purification |
| UNIPROT ID | Q86X55 |
| 储存缓冲液 | PBS with 0.02% sodium azide and 50% glycerol, pH 7.3. |
| 储存条件 | Store at -20°C. Stable for one year after shipment. Aliquoting is unnecessary for -20oC storage. |
背景介绍
CARM1, also named as PRMT4, belongs to the protein arginine N-methyltransferase family. It is a dual functional coregulator that facilitates transcription initiation by methylation of Arg17 and Arg26 of histone H3 and also dictates the subsequent coactivator complex disassembly by methylation of the steroid receptor coactivator family coactivators and p300/cAMP-response element-binding protein. CARM1 functions as a coactivator for many nuclear receptors, such as oestrogen receptor, androgen receptor, thyroid receptor and farnesoid X-receptor. It also coactivates other transcription factors such as myocyte enhancer factor 2C (MEF2C), β-catenin, p53, nuclear factor (NF)-kB and the cAMP-responsive element-binding factor. The enzymatic activity and coactivator function of CARM1 has been found to be inactivated through phosphorylation at a conserved serine residue at mitosis stage. This antibody was generated against a synthetic peptide corresponding to a fragment of human CARM1. It is expected to specifically recognize the CRAM1. In certain type of cells, like Hela, double bands can be detected with this antibody. This may due to the additional PTM sites in cells themselves.
实验方案
| Product Specific Protocols | |
|---|---|
| IF protocol for CARM1 antibody 55246-1-AP | Download protocol |
| IHC protocol for CARM1 antibody 55246-1-AP | Download protocol |
| Standard Protocols | |
|---|---|
| Click here to view our Standard Protocols |
发表文章
| Species | Application | Title |
|---|---|---|
J Med Chem Discovery of First-in-Class Dual PARP and EZH2 Inhibitors for Triple-Negative Breast Cancer with Wild-Type BRCA | ||
Eur J Med Chem Discovery of precision targeting EZH2 degraders for triple-negative breast cancer. | ||
Front Cell Dev Biol Osteocytes Enhance Osteogenesis by Autophagy-Mediated FGF23 Secretion Under Mechanical Tension. | ||
Cancer Cell Int CDCA4 suppresses epithelial-mesenchymal transtion (EMT) and metastasis in Non-small cell lung cancer through modulating autophagy.
| ||
RSC Adv Mechanistic insights into geniposide regulation of bile salt export pump (BSEP) expression | ||
J Reprod Immunol Poly(I:C) exposure during in vitro fertilization disrupts first cleavage of mouse embryos and subsequent blastocyst development. |










