验证数据展示
经过测试的应用
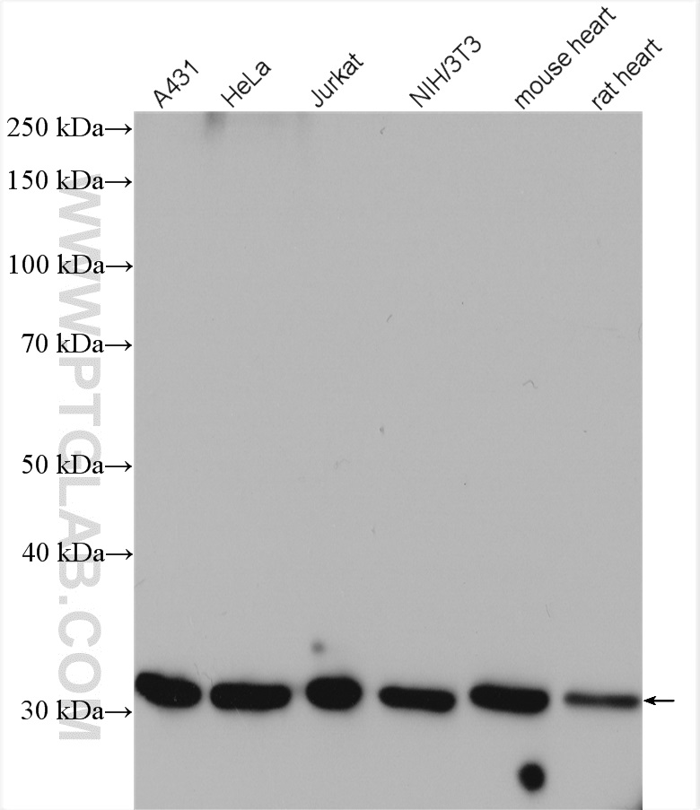
| Positive WB detected in | A431 cells, mouse testis tissue, HEK-293 cells, HeLa cells, Jurkat cells, NIH/3T3 cells, mouse heart tissue, rat heart tissue, mouse skeletal muscle tissue |
| Positive IHC detected in | human skin cancer tissue, mouse testis tissue Note: suggested antigen retrieval with TE buffer pH 9.0; (*) Alternatively, antigen retrieval may be performed with citrate buffer pH 6.0 |
| Positive IF/ICC detected in | A431 cells |
推荐稀释比
| 应用 | 推荐稀释比 |
|---|---|
| Western Blot (WB) | WB : 1:1000-1:4000 |
| Immunohistochemistry (IHC) | IHC : 1:300-1:1200 |
| Immunofluorescence (IF)/ICC | IF/ICC : 1:200-1:800 |
| It is recommended that this reagent should be titrated in each testing system to obtain optimal results. | |
| Sample-dependent, Check data in validation data gallery. | |
产品信息
25043-1-AP targets CAPZB in WB, IHC, IF/ICC, IP, CoIP, ELISA applications and shows reactivity with human, mouse, rat samples.
| 经测试应用 | WB, IHC, IF/ICC, ELISA Application Description |
| 文献引用应用 | WB, IHC, IF, IP, CoIP |
| 经测试反应性 | human, mouse, rat |
| 文献引用反应性 | human, mouse |
| 免疫原 |
CatNo: Ag19327 Product name: Recombinant human CAPZB protein Source: e coli.-derived, PGEX-4T Tag: GST Domain: 2-243 aa of BC109241 Sequence: SDQQLDCALDLMRRLPPQQIEKNLSDLIDLVPSLCEDLLSSVDQPLKIARDKVVGKDYLLCDYNRDGDSYRSPWSNKYDPPLEDGAMPSARLRKLEVEANNAFDQYRDLYFEGGVSSVYLWDLDHGFAGVILIKKAGDGSKKIKGCWDSIHVVEVQEKSSGRTAHYKLTSTVMLWLQTNKSGSGTMNLGGSLTRQMEKDETVSDCSPHIANIGRLVEDMENKIRSTLNEIYFGKTKDIVNGL 种属同源性预测 |
| 宿主/亚型 | Rabbit / IgG |
| 抗体类别 | Polyclonal |
| 产品类型 | Antibody |
| 全称 | capping protein (actin filament) muscle Z-line, beta |
| 别名 | CapZ beta, CapZbeta, F-actin-capping protein subunit beta |
| 计算分子量 | 277 aa, 31 kDa |
| 观测分子量 | 30-31 kDa |
| GenBank蛋白编号 | BC109241 |
| 基因名称 | CAPZB |
| Gene ID (NCBI) | 832 |
| RRID | AB_2879867 |
| 偶联类型 | Unconjugated |
| 形式 | Liquid |
| 纯化方式 | Antigen affinity purification |
| UNIPROT ID | P47756 |
| 储存缓冲液 | PBS with 0.02% sodium azide and 50% glycerol, pH 7.3. |
| 储存条件 | Store at -20°C. Stable for one year after shipment. Aliquoting is unnecessary for -20oC storage. |
背景介绍
CAPZB belongs to the F-actin-capping protein beta subunit family and is the β subunit of the heterodimeric F-actin cap-binding protein. F-actin-capping proteins bind in a Ca2+-independent manner to the fast-growing ends of actin filaments, thereby blocking the exchange of subunits at these ends.
实验方案
| Product Specific Protocols | |
|---|---|
| IF protocol for CAPZB antibody 25043-1-AP | Download protocol |
| IHC protocol for CAPZB antibody 25043-1-AP | Download protocol |
| WB protocol for CAPZB antibody 25043-1-AP | Download protocol |
| Standard Protocols | |
|---|---|
| Click here to view our Standard Protocols |
发表文章
| Species | Application | Title |
|---|---|---|
Cell Rep Nanoscale Architecture of the Cortical Actin Cytoskeleton in Embryonic Stem Cells.
| ||
Elife Capping protein regulates endosomal trafficking by controlling F-actin density around endocytic vesicles and recruiting RAB5 effectors.
| ||
Development Loss of perinuclear theca ACTRT1 causes acrosome detachment and severe male subfertility in mice. | ||
Cell Rep The perinuclear theca protein Calicin helps shape the sperm head and maintain the nuclear structure in mice. | ||
Cell Rep Substrate rigidity dictates colorectal tumorigenic cell stemness and metastasis via CRAD-dependent mechanotransduction. | ||
BMC Biol The temporal association of CapZ with early endosomes regulates endosomal trafficking and viral entry into host cells |





