验证数据展示
经过测试的应用
| Positive WB detected in | mouse brain tissue, rat brain tissue |
| Positive IP detected in | SH-SY5Y cells |
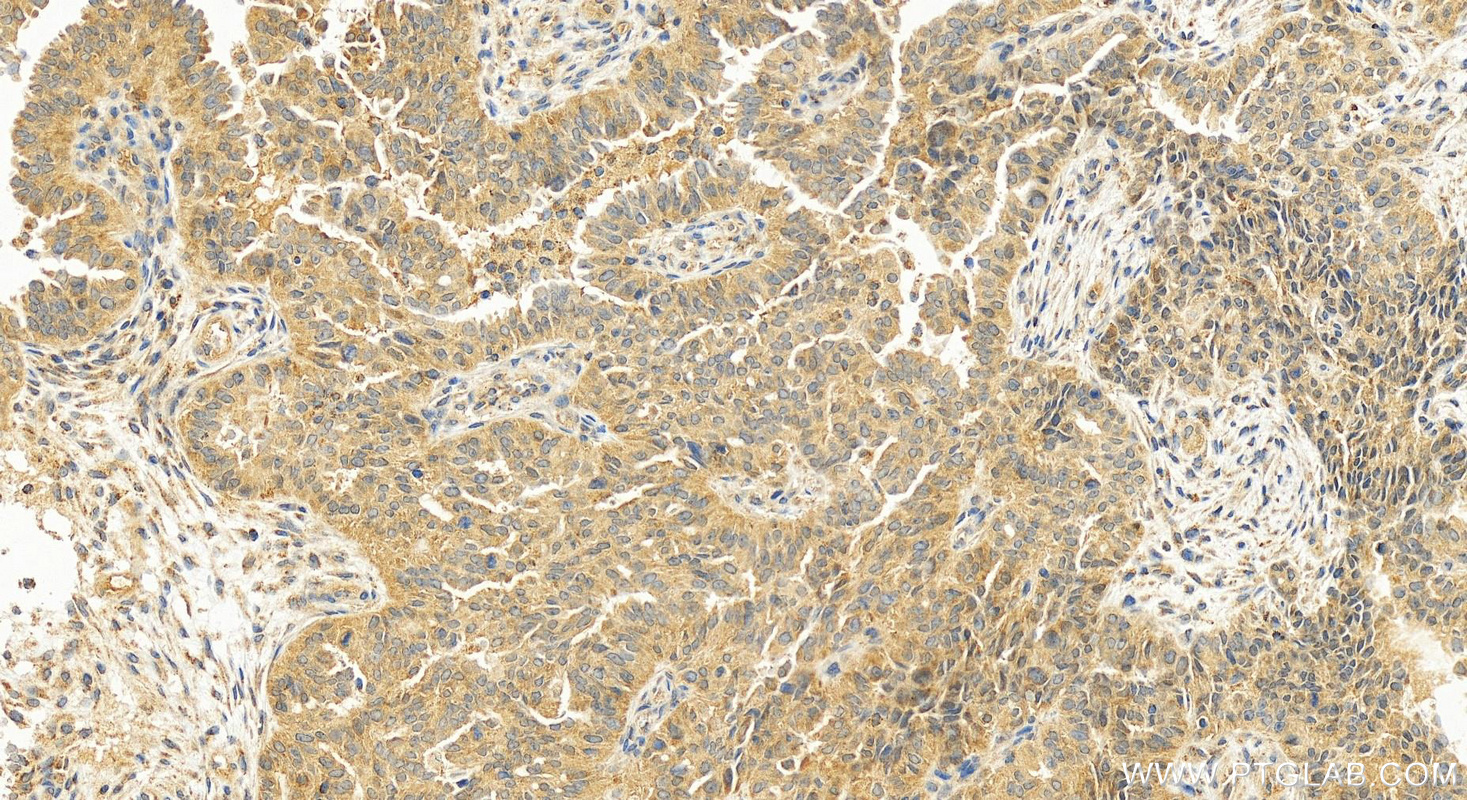
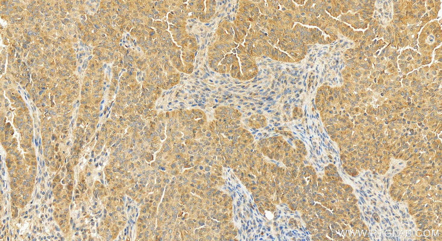
| Positive IHC detected in | human ovarian cancer, human ovary tumor tissue, human pancreas cancer tissue Note: suggested antigen retrieval with TE buffer pH 9.0; (*) Alternatively, antigen retrieval may be performed with citrate buffer pH 6.0 |
推荐稀释比
| 应用 | 推荐稀释比 |
|---|---|
| Western Blot (WB) | WB : 1:1000-1:4000 |
| Immunoprecipitation (IP) | IP : 0.5-4.0 ug for 1.0-3.0 mg of total protein lysate |
| Immunohistochemistry (IHC) | IHC : 1:50-1:500 |
| It is recommended that this reagent should be titrated in each testing system to obtain optimal results. | |
| Sample-dependent, Check data in validation data gallery. | |
产品信息
11806-1-AP targets CAPZA1 in WB, IHC, IP, ELISA applications and shows reactivity with human, mouse, rat samples.
| 经测试应用 | WB, IHC, IP, ELISA Application Description |
| 文献引用应用 | WB, IHC, IP |
| 经测试反应性 | human, mouse, rat |
| 文献引用反应性 | human, mouse |
| 免疫原 |
CatNo: Ag2267 Product name: Recombinant human CAPZA1 protein Source: e coli.-derived, PGEX-4T Tag: GST Domain: 1-286 aa of BC000144 Sequence: MADFDDRVSDEEKVRIAAKFITHAPPGEFNEVFNDVRLLLNNDNLLREGAAHAFAQYNMDQFTPVKIEGYEDQVLITEHGDLGNSRFLDPRNKISFKFDHLRKEASDPQPEEADGGLKSWRESCDSALRAYVKDHYSNGFCTVYAKTIDGQQTIIACIESHQFQPKNFWNGRWRSEWKFTITPPTAQVVGVLKIQVHYYEDGNVQLVSHKDVQDSLTVSNEAQTAKEFIKIIENAENEYQTAISENYQTMSDTTFKALRRQLPVTRTKIDWNKILSYKIGKEMQNA 种属同源性预测 |
| 宿主/亚型 | Rabbit / IgG |
| 抗体类别 | Polyclonal |
| 产品类型 | Antibody |
| 全称 | capping protein (actin filament) muscle Z-line, alpha 1 |
| 别名 | capzα1, CAPPA1, CapZ alpha 1, CapZ alpha-1, F-actin-capping protein subunit alpha-1 |
| 计算分子量 | 286 aa, 33 kDa |
| 观测分子量 | 33 kDa |
| GenBank蛋白编号 | BC000144 |
| 基因名称 | CAPZA1 |
| Gene ID (NCBI) | 829 |
| RRID | AB_2070037 |
| 偶联类型 | Unconjugated |
| 形式 | Liquid |
| 纯化方式 | Antigen affinity purification |
| UNIPROT ID | P52907 |
| 储存缓冲液 | PBS with 0.02% sodium azide and 50% glycerol, pH 7.3. |
| 储存条件 | Store at -20°C. Stable for one year after shipment. Aliquoting is unnecessary for -20oC storage. |
背景介绍
CAPZA1 (F-actin-capping protein subunit alpha-1) is a member of the F-actin capping protein alpha subunit family and regulates actin filament growth, stability and disassembly. Differential expression of CAPZA1 has been found in gastric cancer and melanoma, indicating its possible role in tumorigenesis. (21566537, 23545944)
实验方案
| Product Specific Protocols | |
|---|---|
| IHC protocol for CAPZA1 antibody 11806-1-AP | Download protocol |
| IP protocol for CAPZA1 antibody 11806-1-AP | Download protocol |
| WB protocol for CAPZA1 antibody 11806-1-AP | Download protocol |
| Standard Protocols | |
|---|---|
| Click here to view our Standard Protocols |
发表文章
| Species | Application | Title |
|---|---|---|
J Cell Biol Heterodimeric capping protein is required for stereocilia length and width regulation. | ||
J Exp Clin Cancer Res CAPZA1 modulates EMT by regulating actin cytoskeleton remodelling in hepatocellular carcinoma.
| ||
Invest Ophthalmol Vis Sci Differential expression of fourteen proteins between uveal melanoma from patients who subsequently developed distant metastases versus those who did Not. | ||
Melanoma Res Differential expression patterns of capping protein, protein phosphatase 1, and casein kinase 1 may serve as diagnostic markers for malignant melanoma. |





