验证数据展示
产品信息
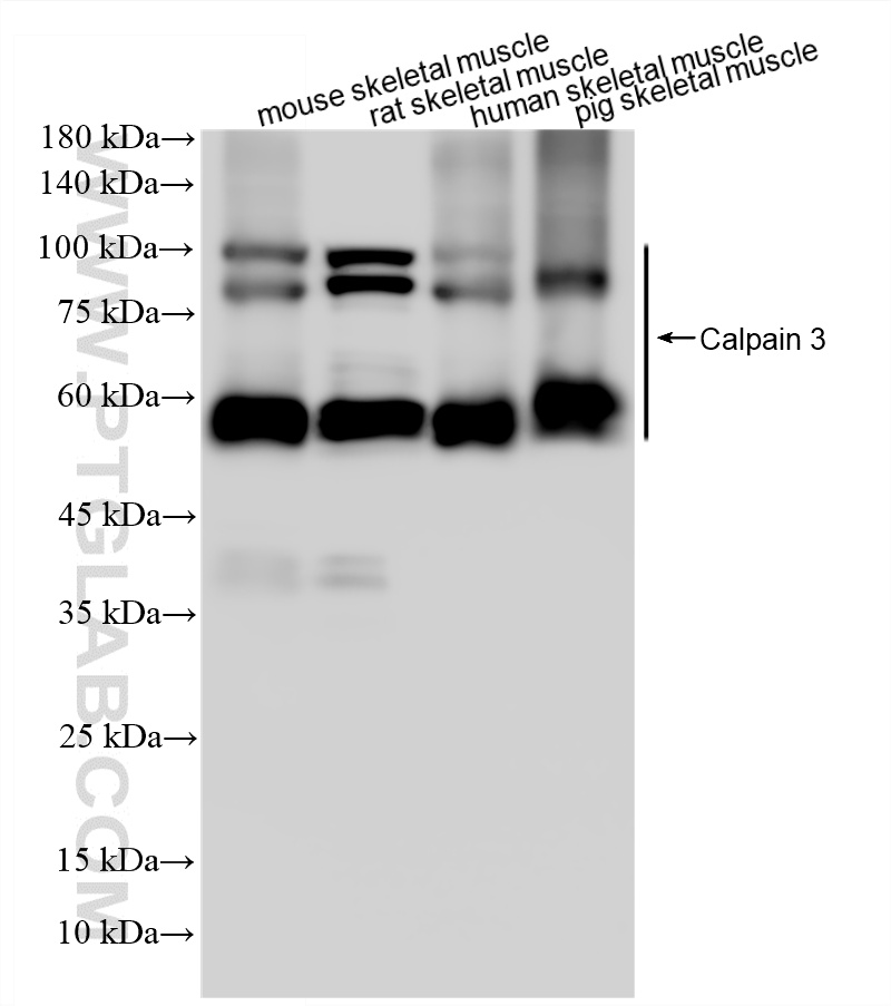
87158-1-PBS targets CAPN3 in WB, Indirect ELISA applications and shows reactivity with human, mouse, rat, pig samples.
| 经测试应用 | WB, Indirect ELISA Application Description |
| 经测试反应性 | human, mouse, rat, pig |
| 免疫原 |
CatNo: Ag0671 Product name: Recombinant human CAPN3 protein Source: e coli.-derived, PGEX-4T Tag: GST Domain: 1-156 aa of BC003521 Sequence: MEICADELKKVLNTVVNKHKDLKTHGFTLESCRSMIALMDTDGSGKLNLQEFHHLWNKIKAWQKIFKHYDTDQSGTINSYEMRNAVNDAGFHLNNQLYDIITMRYADKHMNIDFDSFICCFVRLEGMFRAFHAFDKDGDGIIKLNVLEWLQLTMYA 种属同源性预测 |
| 宿主/亚型 | Rabbit / IgG |
| 抗体类别 | Recombinant |
| 产品类型 | Antibody |
| 全称 | calpain 3, (p94) |
| 别名 | Calcium-activated neutral proteinase 3, Calpain 3, calpain 3, (p94), Calpain L3, Calpain p94 |
| 计算分子量 | 94 kDa |
| 观测分子量 | 90-105 kDa, 55-60 kDa, 30-35 kDa |
| GenBank蛋白编号 | BC003521 |
| 基因名称 | CAPN3 |
| Gene ID (NCBI) | 825 |
| RRID | AB_3745379 |
| 偶联类型 | Unconjugated |
| 形式 | Liquid |
| 纯化方式 | Protein A purification |
| UNIPROT ID | P20807 |
| 储存缓冲液 | PBS only, pH 7.3. |
| 储存条件 | Store at -80°C. The product is shipped with ice packs. Upon receipt, store it immediately at -80°C |
背景介绍
Calpain 3 (CAPN3), a major intracellular protease, is a muscle-specific member of the calpain large subunit family that specifically binds to titin. CAPN3 plays a role in the dysferlin protein complex and that disruption of CAPN3 function may affect muscle membrane repair and remodeling. CAPN3 has some isoforms with MW of 94, 84, 93, 36, 18 kDa. CAPN3 autolysis generates a small N-terminal fragment of 34 kDa and a large C-terminal fragment whose size ranges from 55 to 60 kDa during self-processing (PMID: 9794799, 14645524).

