验证数据展示
经过测试的应用
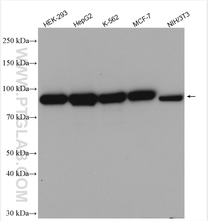
| Positive WB detected in | HEK-293 cells, HepG2 cells, HeLa cells, K-562 cells, MCF-7 cells, NIH/3T3 cells, U2OS cells, RAW 264.7 cells |
| Positive IHC detected in | human breast cancer tissue, human cervical cancer tissue, human colon tissue Note: suggested antigen retrieval with TE buffer pH 9.0; (*) Alternatively, antigen retrieval may be performed with citrate buffer pH 6.0 |
| Positive IF/ICC detected in | U2OS cells, HepG2 cells, SKOV-3 cells |
| Positive FC (Intra) detected in | HeLa cells |
推荐稀释比
| 应用 | 推荐稀释比 |
|---|---|
| Western Blot (WB) | WB : 1:5000-1:50000 |
| Immunohistochemistry (IHC) | IHC : 1:50-1:500 |
| Immunofluorescence (IF)/ICC | IF/ICC : 1:200-1:800 |
| Flow Cytometry (FC) (INTRA) | FC (INTRA) : 0.20 ug per 10^6 cells in a 100 µl suspension |
| It is recommended that this reagent should be titrated in each testing system to obtain optimal results. | |
| Sample-dependent, Check data in validation data gallery. | |
产品信息
10427-2-AP targets Calnexin in WB, IHC, IF/ICC, FC (Intra), IP, CoIP, ELISA applications and shows reactivity with human, mouse, rat samples.
| 经测试应用 | WB, IHC, IF/ICC, FC (Intra), ELISA Application Description |
| 文献引用应用 | WB, IHC, IF, IP, CoIP, ELISA |
| 经测试反应性 | human, mouse, rat |
| 文献引用反应性 | human, mouse, rat, pig, monkey, chicken, bovine, hamster, goat |
| 免疫原 |
CatNo: Ag0697 Product name: Recombinant human Calnexin protein Source: e coli.-derived, PGEX-4T Tag: GST Domain: 1-273 aa of BC003552 Sequence: MEGKWLLCMLLVLGTAIVEAHDGHDDDVIDIEDDLDDVIEEVEDSKPDTTAPPSSPKVTYKAPVPTGEVYFADSFDRGTLSGWILSKAKKDDTDDEIAKYDGKWEVEEMKESKLPGDKGLVLMSRAKHHAISAKLNKPFLFDTKPLIVQYEVNFQNGIECGGAYVKLLSKTPELNLDQFHDKTPYTIMFGPDKCGEDYKLHFIFRHKNPKTGIYEEKHAKRPDADLKTYFTDKKTHLYTLILNPDNSFEILVDQSVVNSGNLLNDMTPPVNPS 种属同源性预测 |
| 宿主/亚型 | Rabbit / IgG |
| 抗体类别 | Polyclonal |
| 产品类型 | Antibody |
| 全称 | calnexin |
| 别名 | CANX, CNX, IP90, Major histocompatibility complex class I antigen-binding protein p88, P90 |
| 计算分子量 | 90 kDa |
| 观测分子量 | 90 kDa |
| GenBank蛋白编号 | BC003552 |
| 基因名称 | Calnexin |
| Gene ID (NCBI) | 821 |
| RRID | AB_2069033 |
| 偶联类型 | Unconjugated |
| 形式 | Liquid |
| 纯化方式 | Antigen affinity purification |
| UNIPROT ID | P27824 |
| 储存缓冲液 | PBS with 0.02% sodium azide and 50% glycerol, pH 7.3. |
| 储存条件 | Store at -20°C. Stable for one year after shipment. Aliquoting is unnecessary for -20oC storage. |
背景介绍
Calnexin is a molecular chaperone that resides in the endoplasmic reticulum (ER) and participates in the folding and assembly of newly synthesized proteins. Calnexin is highly abundant in ER and is frequently used as an ER marker.
实验方案
| Product Specific Protocols | |
|---|---|
| FC protocol for Calnexin antibody 10427-2-AP | Download protocol |
| IF protocol for Calnexin antibody 10427-2-AP | Download protocol |
| IHC protocol for Calnexin antibody 10427-2-AP | Download protocol |
| WB protocol for Calnexin antibody 10427-2-AP | Download protocol |
| Standard Protocols | |
|---|---|
| Click here to view our Standard Protocols |
发表文章
| Species | Application | Title |
|---|---|---|
Cell Res Mitochondria-localized cGAS suppresses ferroptosis to promote cancer progression | ||
Cell Res Disruption of ER ion homeostasis maintained by an ER anion channel CLCC1 contributes to ALS-like pathologies | ||
Mol Cancer Exosomal circ_0006896 promotes AML progression via interaction with HDAC1 and restriction of antitumor immunity | ||
Cell Discov A RIPK3-independent role of MLKL in suppressing parthanatos promotes immune evasion in hepatocellular carcinoma | ||
Immunity The nucleotide receptor STING translocates to the phagosomes to negatively regulate anti-fungal immunity |



















