验证数据展示
经过测试的应用
| Positive WB detected in | HEK-293T cells, mouse brain tissue, PC-3 cells |
| Positive IP detected in | PC-3 cells |
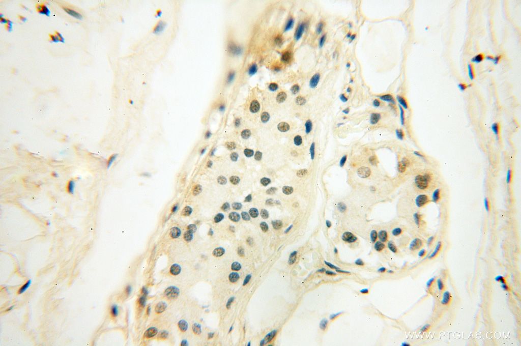
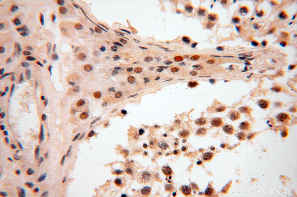
| Positive IHC detected in | human kidney tissue, human heart tissue, human skin tissue, human placenta tissue, human ovary tissue, human spleen tissue, mouse testis tissue, human testis tissue, human lung tissue Note: suggested antigen retrieval with TE buffer pH 9.0; (*) Alternatively, antigen retrieval may be performed with citrate buffer pH 6.0 |
推荐稀释比
| 应用 | 推荐稀释比 |
|---|---|
| Western Blot (WB) | WB : 1:1000-1:8000 |
| Immunoprecipitation (IP) | IP : 0.5-4.0 ug for 1.0-3.0 mg of total protein lysate |
| Immunohistochemistry (IHC) | IHC : 1:20-1:200 |
| It is recommended that this reagent should be titrated in each testing system to obtain optimal results. | |
| Sample-dependent, Check data in validation data gallery. | |
产品信息
17880-1-AP targets CAMSAP2 in WB, IHC, IF, IP, CoIP, ELISA applications and shows reactivity with human, mouse, rat samples.
| 经测试应用 | WB, IP, IHC, ELISA Application Description |
| 文献引用应用 | WB, IF, IP, CoIP |
| 经测试反应性 | human, mouse, rat |
| 文献引用反应性 | human, mouse, rat |
| 免疫原 |
CatNo: Ag11794 Product name: Recombinant human CAMSAP1L1 protein Source: e coli.-derived, PGEX-4T Tag: GST Domain: 551-904 aa of BC065508 Sequence: KADVPVEKYDGESDKEQFDDDQKVCCGFFFKDDQKAENDMAMKRAALLEKRLRREKETQLRKQQLEAEMEHKKEETRRKTEEERQKKEDERARREFIRQEYMRRKQLKLMEDMDTVIKPRPQVVKQKKQRPKSIHRDHIESPKTPIKGPPVSSLSLASLNTGDNESVHSGKRTPRSESVEGFLSPSRCGSRNGEKDWENASTTSSVASGTEYTGPKLYKEPSAKSNKHIIQNALAHCCLAGKVNEGQKKKILEEMEKSDANNFLILFRDSGCQFRSLYTYCPETEEINKLTGIGPKSITKKMIEGLYKYNSDRKQFSHIPAKTLSASVDAITIHSHLWQTKRPVTPKKLLPTKA 种属同源性预测 |
| 宿主/亚型 | Rabbit / IgG |
| 抗体类别 | Polyclonal |
| 产品类型 | Antibody |
| 全称 | calmodulin regulated spectrin-associated protein 1-like 1 |
| 别名 | CAMSAP1L1, CAMSAP2, KIAA1078 |
| 计算分子量 | 1478 aa, 167 kDa |
| 观测分子量 | 168 kDa |
| GenBank蛋白编号 | BC065508 |
| 基因名称 | CAMSAP2 |
| Gene ID (NCBI) | 23271 |
| RRID | AB_2068826 |
| 偶联类型 | Unconjugated |
| 形式 | Liquid |
| 纯化方式 | Antigen affinity purification |
| UNIPROT ID | Q08AD1 |
| 储存缓冲液 | PBS with 0.02% sodium azide and 50% glycerol, pH 7.3. |
| 储存条件 | Store at -20°C. Stable for one year after shipment. Aliquoting is unnecessary for -20oC storage. |
背景介绍
CAMSAP2, also known as CAMSAP1L1, is a microtubule minus-end binding protein, and is required for proper microtubule organization in neurons. CAMSAP2 stabilizes noncentrosomal microtubules and is important for neuronal polarity, axon specification, and dendritic branch formation.
实验方案
| Product Specific Protocols | |
|---|---|
| IHC protocol for CAMSAP2 antibody 17880-1-AP | Download protocol |
| IP protocol for CAMSAP2 antibody 17880-1-AP | Download protocol |
| WB protocol for CAMSAP2 antibody 17880-1-AP | Download protocol |
| Standard Protocols | |
|---|---|
| Click here to view our Standard Protocols |
发表文章
| Species | Application | Title |
|---|---|---|
Nat Cell Biol CAMSAPs and nucleation-promoting factors control microtubule release from γ-TuRC | ||
Nat Cell Biol Microtubule architecture connects AMOT stability to YAP/TAZ mechanotransduction and Hippo signalling | ||
Nat Struct Mol Biol A chemical genetics approach to examine the functions of AAA proteins. | ||
Nat Commun Transiently formed nucleus-to-cilium microtubule arrays mediate senescence initiation in a KIFC3-dependent manner | ||
Neuron Microtubule Minus-End Binding Protein CAMSAP2 Controls Axon Specification and Dendrite Development.
| ||
Neuron Katanin p80 regulates human cortical development by limiting centriole and cilia number. |




















