验证数据展示
经过测试的应用
| Positive WB detected in | mouse skeletal muscle tissue, HepG2 cells, mouse brain tissue, MCF-7 cells, HeLa cells, NCCIT cells, rat skeletal muscle tissue |
| Positive IP detected in | Ramos cells |
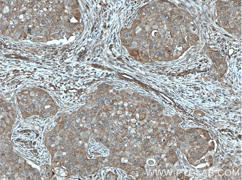
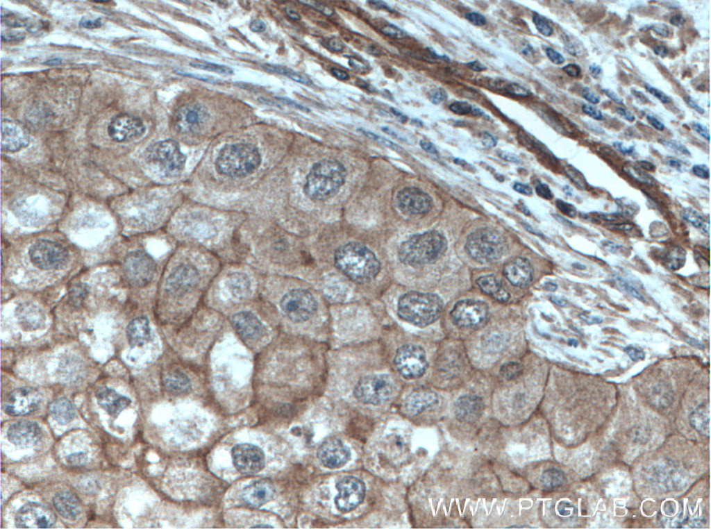
| Positive IHC detected in | human breast cancer tissue, mouse testis tissue Note: suggested antigen retrieval with TE buffer pH 9.0; (*) Alternatively, antigen retrieval may be performed with citrate buffer pH 6.0 |
| Positive FC (Intra) detected in | HeLa cells, MCF-7 cells |
推荐稀释比
| 应用 | 推荐稀释比 |
|---|---|
| Western Blot (WB) | WB : 1:500-1:2000 |
| Immunoprecipitation (IP) | IP : 0.5-4.0 ug for 1.0-3.0 mg of total protein lysate |
| Immunohistochemistry (IHC) | IHC : 1:50-1:500 |
| Flow Cytometry (FC) (INTRA) | FC (INTRA) : 0.40 ug per 10^6 cells in a 100 µl suspension |
| It is recommended that this reagent should be titrated in each testing system to obtain optimal results. | |
| Sample-dependent, Check data in validation data gallery. | |
产品信息
10541-1-AP targets Calmodulin in WB, IHC, FC (Intra), IP, CoIP, ELISA applications and shows reactivity with human, mouse, rat samples.
| 经测试应用 | WB, IHC, FC (Intra), IP, ELISA Application Description |
| 文献引用应用 | WB, IHC, IP, CoIP |
| 经测试反应性 | human, mouse, rat |
| 文献引用反应性 | human, mouse, rat, bovine |
| 免疫原 |
CatNo: Ag0827 Product name: Recombinant human CALM3 protein Source: e coli.-derived, PGEX-4T Tag: GST Domain: 1-147 aa of BC006182 Sequence: MADQLTEEQIAEFKEAFSLFDKDGDGTITTKELGTVMRSLGQNPTEAELQDMINEVDADGNGTIDFPEFLTMMARKMKDTDSEEEIREAFRVFDKDGNGYISAAELRHVMTNLGEKLTDESLSMPLISSFCPRLFHPCLPRPDAFIS 种属同源性预测 |
| 宿主/亚型 | Rabbit / IgG |
| 抗体类别 | Polyclonal |
| 产品类型 | Antibody |
| 全称 | calmodulin 3 (phosphorylase kinase, delta) |
| 别名 | CALM3, CALML2, Calmodulin 1/2/3, Calmodulin 3, CaM |
| 计算分子量 | 17 kDa |
| 观测分子量 | 17 kDa |
| GenBank蛋白编号 | BC006182 |
| 基因名称 | Calmodulin 3 |
| Gene ID (NCBI) | 808 |
| RRID | AB_2069442 |
| 偶联类型 | Unconjugated |
| 形式 | Liquid |
| 纯化方式 | Antigen affinity purification |
| UNIPROT ID | P62158 |
| 储存缓冲液 | PBS with 0.02% sodium azide and 50% glycerol, pH 7.3. |
| 储存条件 | Store at -20°C. Stable for one year after shipment. Aliquoting is unnecessary for -20oC storage. |
背景介绍
Calmodulin (CaM) is a Ca(2+)-binding protein that transduces Ca2+-mediated signals by binding to and regulating the activity of hundreds of enzymes and non-enzymatic proteins. It is highly conserved across species and involved in many biological processes, including vesicle release, cell proliferation, and apoptosis. This antibody can recognize CALM1, CALM2 and CALM3.
实验方案
| Product Specific Protocols | |
|---|---|
| FC protocol for Calmodulin antibody 10541-1-AP | Download protocol |
| IHC protocol for Calmodulin antibody 10541-1-AP | Download protocol |
| IP protocol for Calmodulin antibody 10541-1-AP | Download protocol |
| WB protocol for Calmodulin antibody 10541-1-AP | Download protocol |
| Standard Protocols | |
|---|---|
| Click here to view our Standard Protocols |
发表文章
| Species | Application | Title |
|---|---|---|
Nat Commun Stalled translation by mitochondrial stress upregulates a CNOT4-ZNF598 ribosomal quality control pathway important for tissue homeostasis | ||
Nat Commun Selectively targeting the AdipoR2-CaM-CaMKII-NOS3 axis by SCM-198 as a rapid-acting therapy for advanced acute liver failure | ||
Autophagy Periplocin suppresses the growth of colorectal cancer cells by triggering LGALS3 (galectin 3)-mediated lysophagy | ||
Cancer Cell Int CALM1 promotes progression and dampens chemosensitivity to EGFR inhibitor in esophageal squamous cell carcinoma. | ||
Neurochem Int Alpha-synuclein overexpression increases phospho-protein phosphatase 2A levels via formation of calmodulin/Src complex. | ||
Biochem Biophys Res Commun The NMDAR GluN1-1a C-terminus binds to CaM and regulates synaptic function. |












