验证数据展示
经过测试的应用
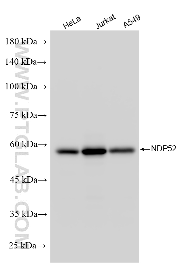
| Positive WB detected in | HeLa cells, human placenta tissue, Jurkat cells, mouse skeletal muscle tissue, rat skeletal muscle tissue, A549 cells |
| Positive IP detected in | HeLa cells |
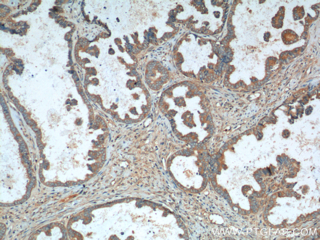
| Positive IHC detected in | human ovary cancer tissue, human ovary tumor tissue, human skeletal muscle tissue Note: suggested antigen retrieval with TE buffer pH 9.0; (*) Alternatively, antigen retrieval may be performed with citrate buffer pH 6.0 |
| Positive IF/ICC detected in | HeLa cells |
推荐稀释比
| 应用 | 推荐稀释比 |
|---|---|
| Western Blot (WB) | WB : 1:5000-1:50000 |
| Immunoprecipitation (IP) | IP : 0.5-4.0 ug for 1.0-3.0 mg of total protein lysate |
| Immunohistochemistry (IHC) | IHC : 1:200-1:800 |
| Immunofluorescence (IF)/ICC | IF/ICC : 1:200-1:800 |
| It is recommended that this reagent should be titrated in each testing system to obtain optimal results. | |
| Sample-dependent, Check data in validation data gallery. | |
产品信息
12229-1-AP targets NDP52 in WB, IHC, IF/ICC, IP, CoIP, ELISA applications and shows reactivity with human, mouse, rat samples.
| 经测试应用 | WB, IHC, IF/ICC, IP, ELISA Application Description |
| 文献引用应用 | WB, IHC, IF, IP, CoIP |
| 经测试反应性 | human, mouse, rat |
| 文献引用反应性 | human, mouse, rat, pig, monkey |
| 免疫原 |
CatNo: Ag2866 Product name: Recombinant human CALCOCO2 protein Source: e coli.-derived, PGEX-4T Tag: GST Domain: 1-283 aa of BC015893 Sequence: MEETIKDPPTSAVLLDHCHFSQVIFNSVEKFYIPGGDVTCHYTFTQHFIPRRKDWIGIFRVGWKTTREYYTFMWVTLPIDLNNKSAKQQEVQFKAYYLPKDDEYYQFCYVDEDGVVRGASIPFQFRPENEEDILVVTTQGEVEEIEQHNKELCKENQELKDSCISLQKQNSDMQAELQKKQEELETLQSINKKLELKVKEQKDYWETELLQLKEQNQKMSSENEKMGIRVDQLQAQLSTQEKEMEKLVQGDQDKTEQLEQLKKENDHLFLSLTEQRKDQKKLE 种属同源性预测 |
| 宿主/亚型 | Rabbit / IgG |
| 抗体类别 | Polyclonal |
| 产品类型 | Antibody |
| 全称 | calcium binding and coiled-coil domain 2 |
| 别名 | CALCOCO2, Calcium-binding and coiled-coil domain-containing protein 2, Nuclear domain 10 protein 52, Nuclear dot protein 52 |
| 计算分子量 | 446 aa, 52 kDa |
| 观测分子量 | 52 kDa |
| GenBank蛋白编号 | BC015893 |
| 基因名称 | NDP52 |
| Gene ID (NCBI) | 10241 |
| RRID | AB_11182600 |
| 偶联类型 | Unconjugated |
| 形式 | Liquid |
| 纯化方式 | Antigen affinity purification |
| UNIPROT ID | Q13137 |
| 储存缓冲液 | PBS with 0.02% sodium azide and 50% glycerol, pH 7.3. |
| 储存条件 | Store at -20°C. Stable for one year after shipment. Aliquoting is unnecessary for -20oC storage. |
背景介绍
NDP52, also named as CALCOCO2, is an autophagy receptor. It plays a role in ruffle formation and actin cytoskeleton organization. Mouse/Rat NDP52 has some isoforms with MW 28-40 kDa and 67 kDa. Human NDP52 has some isoforms with MW 43-47 kDa and 52-55 kDa,
实验方案
| Product Specific Protocols | |
|---|---|
| IF protocol for NDP52 antibody 12229-1-AP | Download protocol |
| IHC protocol for NDP52 antibody 12229-1-AP | Download protocol |
| IP protocol for NDP52 antibody 12229-1-AP | Download protocol |
| WB protocol for NDP52 antibody 12229-1-AP | Download protocol |
| Standard Protocols | |
|---|---|
| Click here to view our Standard Protocols |
发表文章
| Species | Application | Title |
|---|---|---|
Autophagy TOLLIP-mediated autophagic degradation pathway links the VCP-TMEM63A-DERL1 signaling axis to triple-negative breast cancer progression | ||
Autophagy ATG4B antagonizes antiviral immunity by GABARAP-directed autophagic degradation of TBK1 | ||
Nat Commun TDP-43 and PINK1 mediate CHCHD10S59L mutation-induced defects in Drosophila and in vitro. | ||
Nat Commun Microglia clear neuron-released α-synuclein via selective autophagy and prevent neurodegeneration. |


















