验证数据展示
经过测试的应用
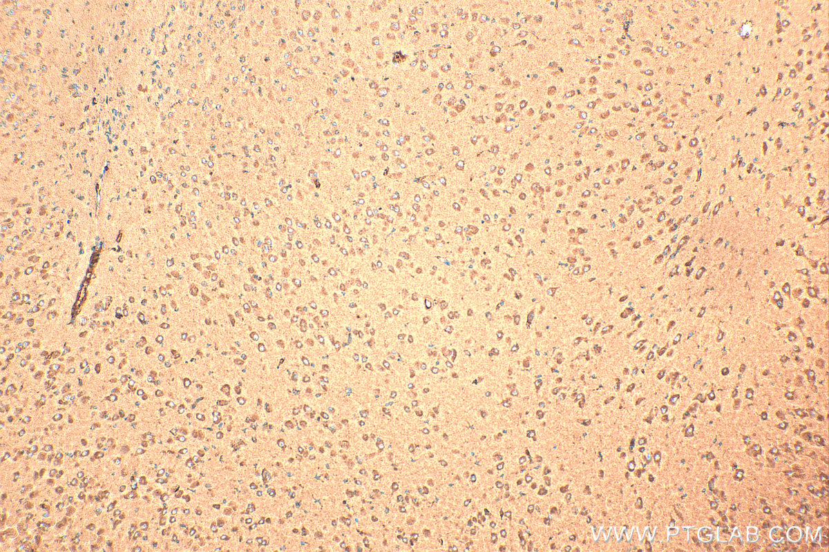
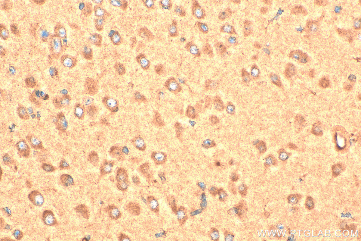
| Positive IHC detected in | mouse brain tissue Note: suggested antigen retrieval with TE buffer pH 9.0; (*) Alternatively, antigen retrieval may be performed with citrate buffer pH 6.0 |
推荐稀释比
| 应用 | 推荐稀释比 |
|---|---|
| Immunohistochemistry (IHC) | IHC : 1:50-1:500 |
| It is recommended that this reagent should be titrated in each testing system to obtain optimal results. | |
| Sample-dependent, Check data in validation data gallery. | |
产品信息
23890-1-AP targets CALCB in IHC, ELISA applications and shows reactivity with human, mouse samples.
| 经测试应用 | IHC, ELISA Application Description |
| 经测试反应性 | human, mouse |
| 免疫原 |
CatNo: Ag20926 Product name: Recombinant human CALCB protein Source: e coli.-derived, PET30a Tag: 6*His Domain: 1-127 aa of BC008428 Sequence: MGFRKFSPFLALSILVLYQAGSLQAAPFRSALESSPDPATLSKEDARLLLAALVQDYVQMKASELKQEQETQGSSSAAQKRACNTATCVTHRLAGLLSRSGGMVKSNFVPTNVGSKAFGRRRRDLQA 种属同源性预测 |
| 宿主/亚型 | Rabbit / IgG |
| 抗体类别 | Polyclonal |
| 产品类型 | Antibody |
| 全称 | calcitonin-related polypeptide beta |
| 别名 | Beta type CGRP, CALC2, CGRP II, CGRP2 |
| 计算分子量 | 127 aa, 14 kDa |
| GenBank蛋白编号 | BC008428 |
| 基因名称 | CALCB |
| Gene ID (NCBI) | 797 |
| 偶联类型 | Unconjugated |
| 形式 | Liquid |
| 纯化方式 | Antigen Affinity purified |
| UNIPROT ID | P10092 |
| 储存缓冲液 | PBS with 0.02% sodium azide and 50% glycerol, pH 7.3. |
| 储存条件 | Store at -20°C. Stable for one year after shipment. Aliquoting is unnecessary for -20oC storage. |
实验方案
| Product Specific Protocols | |
|---|---|
| IHC protocol for CALCB antibody 23890-1-AP | Download protocol |
| Standard Protocols | |
|---|---|
| Click here to view our Standard Protocols |

