验证数据展示
经过测试的应用
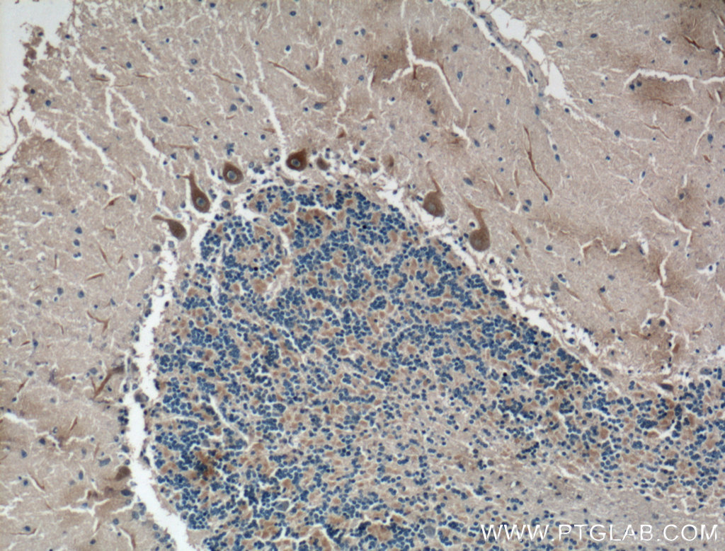
| Positive IHC detected in | human cerebellum tissue, human heart tissue Note: suggested antigen retrieval with TE buffer pH 9.0; (*) Alternatively, antigen retrieval may be performed with citrate buffer pH 6.0 |
| Positive IF-P detected in | mouse cerebellum tissue, mouse brain tissue, rat brain tissue |
推荐稀释比
| 应用 | 推荐稀释比 |
|---|---|
| Immunohistochemistry (IHC) | IHC : 1:50-1:500 |
| Immunofluorescence (IF)-P | IF-P : 1:50-1:500 |
| It is recommended that this reagent should be titrated in each testing system to obtain optimal results. | |
| Sample-dependent, Check data in validation data gallery. | |
发表文章中的应用
| IHC | See 1 publications below |
| IF | See 4 publications below |
产品信息
17821-1-AP targets CACNA1G in IHC, IF-P, ELISA applications and shows reactivity with human, mouse, rat samples.
| 经测试应用 | IHC, IF-P, ELISA Application Description |
| 文献引用应用 | IHC, IF |
| 经测试反应性 | human, mouse, rat |
| 文献引用反应性 | human, mouse |
| 免疫原 |
CatNo: Ag12188 Product name: Recombinant human CACNA1G protein Source: e coli.-derived, PGEX-4T Tag: GST Domain: 396-742 aa of BC110995 Sequence: TQFSETKQRESQLMREQRVRFLSNASTLASFSEPGSCYEELLKYLVYILRKAARRLAQVSRAAGVRVGLLSSPAPLGGQETQPSSSCSRSHRRLSVHHLVHHHHHHHHHYHLGNGTLRAPRASPEIQDRDANGSRRLMLPPPSTPALSGAPPGGAESVHSFYHADCHLEPVRCQAPPPRSPSEASGRTVGSGKVYPTVHTSPPPETLKEKALVEVAASSGPPTLTSLNIPPGPYSSMHKLLETQSTGACQSSCKISSPCLKADSGACGPDSCPYCARAGAGEVELADREMPDSDSEAVYEFTQDAQHSDLRDPHSRRQRSLGPDAEPSSVLAFWRLICDTFRKIVDS 种属同源性预测 |
| 宿主/亚型 | Rabbit / IgG |
| 抗体类别 | Polyclonal |
| 产品类型 | Antibody |
| 全称 | calcium channel, voltage-dependent, T type, alpha 1G subunit |
| 别名 | Ca(V)T.1, Cav3.1, Cav3.1c, KIAA1123, NBR13 |
| 计算分子量 | 2261aa,250 kDa; 2377aa,263 kDa |
| GenBank蛋白编号 | BC110995 |
| 基因名称 | CACNA1G |
| Gene ID (NCBI) | 8913 |
| RRID | AB_2878446 |
| 偶联类型 | Unconjugated |
| 形式 | Liquid |
| 纯化方式 | Antigen affinity purification |
| UNIPROT ID | O43497 |
| 储存缓冲液 | PBS with 0.02% sodium azide and 50% glycerol, pH 7.3. |
| 储存条件 | Store at -20°C. Stable for one year after shipment. Aliquoting is unnecessary for -20oC storage. |
实验方案
| Product Specific Protocols | |
|---|---|
| IF protocol for CACNA1G antibody 17821-1-AP | Download protocol |
| IHC protocol for CACNA1G antibody 17821-1-AP | Download protocol |
| Standard Protocols | |
|---|---|
| Click here to view our Standard Protocols |
发表文章
| Species | Application | Title |
|---|---|---|
J Perinat Med Cardiac ion channels associated with unexplained stillbirth - An immunohistochemical study. | ||
Oxid Med Cell Longev NRF-2/HO-1 Pathway-Mediated SHOX2 Activation Is a Key Switch for Heart Rate Acceleration by Yixin-Fumai Granules | ||
Aging (Albany NY) D-galactose causes sinoatrial node dysfunction: from phenotype to mechanism | ||
iScience IGF2BP2-Shox2 axis regulates hippocampal-neuronal senescence to alleviate microgravity-induced recognition disturbance | ||
bioRxiv Connectome-seq: High-throughput Mapping of Neuronal Connectivity at Single-Synapse Resolution via Barcode Sequencing. | ||
Nat Methods Connectome-seq: high-throughput mapping of neuronal connectivity at single-synapse resolution via barcode sequencing. |







