验证数据展示
经过测试的应用
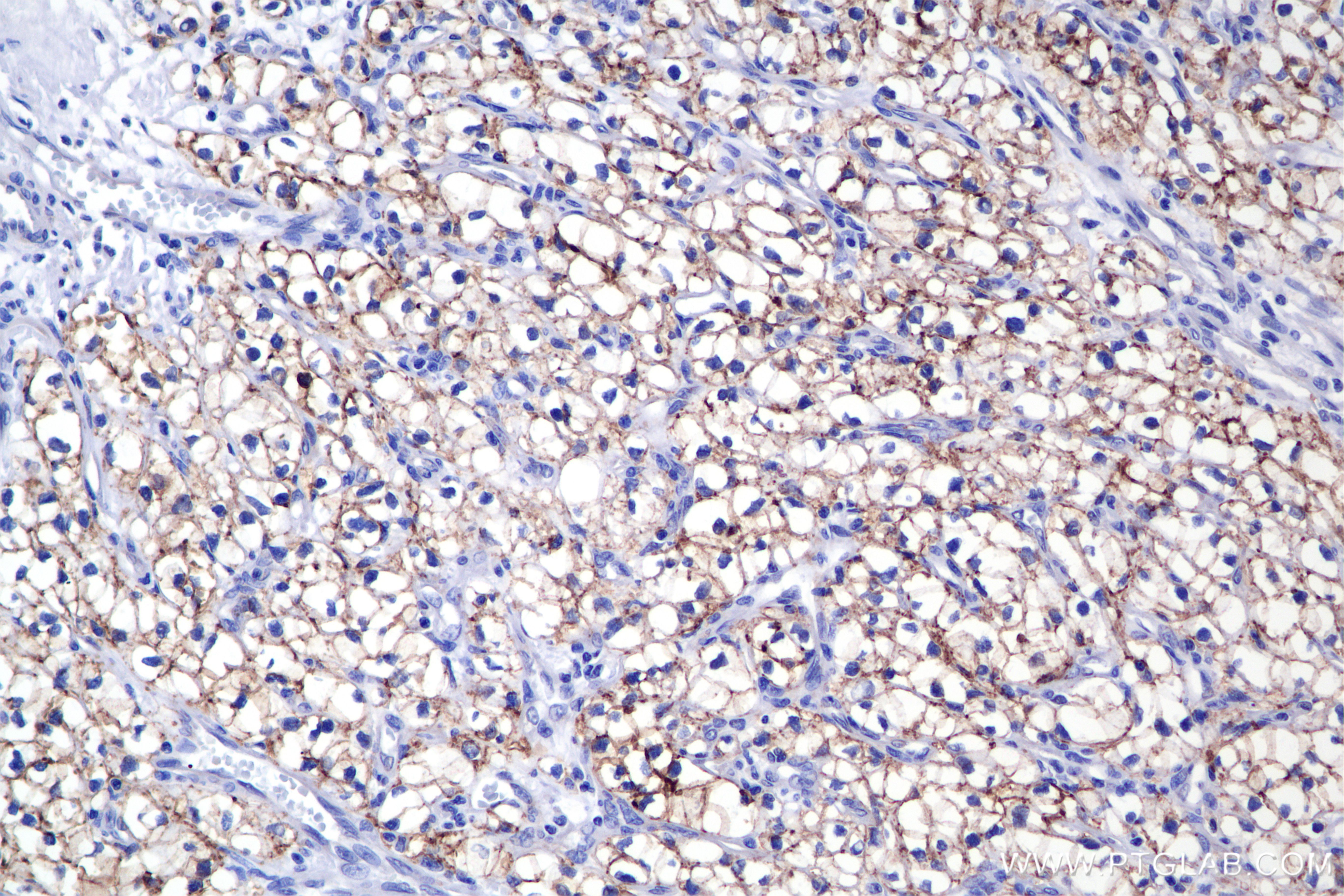
| Positive IHC detected in | mouse stomach tissue, Human Kidney(renal cell) Cancer Note: suggested antigen retrieval with TE buffer pH 9.0; (*) Alternatively, antigen retrieval may be performed with citrate buffer pH 6.0 |
推荐稀释比
| 应用 | 推荐稀释比 |
|---|---|
| Immunohistochemistry (IHC) | IHC : 1:1000-1:4000 |
| It is recommended that this reagent should be titrated in each testing system to obtain optimal results. | |
| Sample-dependent, Check data in validation data gallery. | |
产品信息
84233-1-RR targets Carbonic Anhydrase IX/CA9 in IHC, ELISA applications and shows reactivity with human, mouse samples.
| 经测试应用 | IHC, ELISA Application Description |
| 经测试反应性 | human, mouse |
| 免疫原 |
CatNo: Ag36941 Product name: Recombinant human CA9 protein Source: e coli.-derived, PGEX-4T Tag: GST Domain: 32-408 aa of BC014950 Sequence: LMPVHPQRLPRMQEDSPLGGGSSGEDDPLGEEDLPSEEDSPREEDPPGEEDLPGEEDLPGEEDLPEVKPKSEEEGSLKLEDLPTVEAPGDPQEPQNNAHRDKEGDDQSHWRYGGDPPWPRVSPACAGRFQSPVDIRPQLAAFCPALRPLELLGFQLPPLPELRLRNNGHSVQLTLPPGLEMALGPGREYRALQLHLHWGAAGRPGSEHTVEGHRFPAEIHVVHLSTAFARVDEALGRPGGLAVLAAFLEEGPEENSAYEQLLSRLEEIAEEGSETQVPGLDISALLPSDFSRYFQYEGSLTTPPCAQGVIWTVFNQTVMLSAKQLHTLSDTLWGPGDSRLQLNFRATQPLNGRVIEASFPAGVDSSPRAAEPVQLNS 种属同源性预测 |
| 宿主/亚型 | Rabbit / IgG |
| 抗体类别 | Recombinant |
| 产品类型 | Antibody |
| 全称 | carbonic anhydrase IX |
| 别名 | CA9, CAIX, carbonic anhydrase IX, 241573A4, CA 9 |
| 计算分子量 | 459 aa, 50 kDa |
| GenBank蛋白编号 | BC014950 |
| 基因名称 | CA9 |
| Gene ID (NCBI) | 768 |
| RRID | AB_3671786 |
| 偶联类型 | Unconjugated |
| 形式 | Liquid |
| 纯化方式 | Protein A purification |
| UNIPROT ID | Q16790 |
| 储存缓冲液 | PBS with 0.02% sodium azide and 50% glycerol, pH 7.3. |
| 储存条件 | Store at -20°C. Stable for one year after shipment. Aliquoting is unnecessary for -20oC storage. |
背景介绍
CA9 (Carbonic anhydrase 9) may be involved in the control of cell proliferation and transformation and appears to be a novel specific biomarker for a cervical neoplasia (PMID:18703501). It is a tumor-associated antigen that has been shown to have diagnostic utility in identifying cervical dysplasia and carcinoma.The protein is presentboth on the plasma membrane and in the nucleus of cells and has the molecular. (PMID: 31819036).
实验方案
| Product Specific Protocols | |
|---|---|
| IHC protocol for Carbonic Anhydrase IX/CA9 antibody 84233-1-RR | Download protocol |
| Standard Protocols | |
|---|---|
| Click here to view our Standard Protocols |



