验证数据展示
经过测试的应用
| Positive WB detected in | A549 cells, HeLa cells, Cobalt Chloride treated HeLa cells |
| Positive IP detected in | HeLa cells |
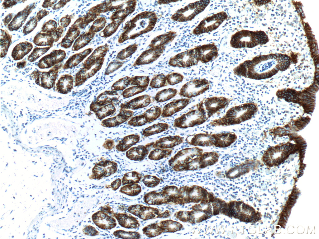
| Positive IHC detected in | human stomach cancer tissue Note: suggested antigen retrieval with TE buffer pH 9.0; (*) Alternatively, antigen retrieval may be performed with citrate buffer pH 6.0 |
| Positive IF/ICC detected in | HEK-293 cells |
推荐稀释比
| 应用 | 推荐稀释比 |
|---|---|
| Western Blot (WB) | WB : 1:1000-1:6000 |
| Immunoprecipitation (IP) | IP : 0.5-4.0 ug for 1.0-3.0 mg of total protein lysate |
| Immunohistochemistry (IHC) | IHC : 1:50-1:500 |
| Immunofluorescence (IF)/ICC | IF/ICC : 1:200-1:800 |
| It is recommended that this reagent should be titrated in each testing system to obtain optimal results. | |
| Sample-dependent, Check data in validation data gallery. | |
产品信息
11071-1-AP targets Carbonic Anhydrase IX/CA9 in WB, IHC, IF/ICC, IP, ELISA applications and shows reactivity with human samples.
| 经测试应用 | WB, IHC, IF/ICC, IP, ELISA Application Description |
| 文献引用应用 | WB, IHC, IF |
| 经测试反应性 | human |
| 文献引用反应性 | human, mouse |
| 免疫原 |
CatNo: Ag1540 Product name: Recombinant human CA9 protein Source: e coli.-derived, PKG Tag: GST Domain: 32-408 aa of BC014950 Sequence: LMPVHPQRLPRMQEDSPLGGGSSGEDDPLGEEDLPSEEDSPREEDPPGEEDLPGEEDLPGEEDLPEVKPKSEEEGSLKLEDLPTVEAPGDPQEPQNNAHRDKEGDDQSHWRYGGDPPWPRVSPACAGRFQSPVDIRPQLAAFCPALRPLELLGFQLPPLPELRLRNNGHSVQLTLPPGLEMALGPGREYRALQLHLHWGAAGRPGSEHTVEGHRFPAEIHVVHLSTAFARVDEALGRPGGLAVLAAFLEEGPEENSAYEQLLSRLEEIAEEGSETQVPGLDISALLPSDFSRYFQYEGSLTTPPCAQGVIWTVFNQTVMLSAKQLHTLSDTLWGPGDSRLQLNFRATQPLNGRVIEASFPAGVDSSPRAAEPVQLNS 种属同源性预测 |
| 宿主/亚型 | Rabbit / IgG |
| 抗体类别 | Polyclonal |
| 产品类型 | Antibody |
| 全称 | carbonic anhydrase IX |
| 别名 | CA9, CAIX, carbonic anhydrase IX, CA 9, CA IX |
| 计算分子量 | 459 aa, 50 kDa |
| 观测分子量 | 50 kDa, 60-70 kDa |
| GenBank蛋白编号 | BC014950 |
| 基因名称 | CA9 |
| Gene ID (NCBI) | 768 |
| RRID | AB_2066528 |
| 偶联类型 | Unconjugated |
| 形式 | Liquid |
| 纯化方式 | Antigen affinity purification |
| UNIPROT ID | Q16790 |
| 储存缓冲液 | PBS with 0.02% sodium azide and 50% glycerol, pH 7.3. |
| 储存条件 | Store at -20°C. Stable for one year after shipment. Aliquoting is unnecessary for -20oC storage. |
背景介绍
CA9 (Carbonic anhydrase 9) may be involved in the control of cell proliferation and transformation and appears to be a novel specific biomarker for a cervical neoplasia (PMID:18703501). It is a tumor-associated antigen that has been shown to have diagnostic utility in identifying cervical dysplasia and carcinoma. The protein is present in the cytoplasmic membrane and the nucleus, with a molecular weight of 50 kDa. The molecular weight of the glycosylated form is approximately 60-70 kDa. (PMID: 31142270, PMID: 31819036)
实验方案
| Product Specific Protocols | |
|---|---|
| IF protocol for Carbonic Anhydrase IX/CA9 antibody 11071-1-AP | Download protocol |
| IHC protocol for Carbonic Anhydrase IX/CA9 antibody 11071-1-AP | Download protocol |
| IP protocol for Carbonic Anhydrase IX/CA9 antibody 11071-1-AP | Download protocol |
| WB protocol for Carbonic Anhydrase IX/CA9 antibody 11071-1-AP | Download protocol |
| Standard Protocols | |
|---|---|
| Click here to view our Standard Protocols |
发表文章
| Species | Application | Title |
|---|---|---|
J Extracell Vesicles 124I-labelled BMSC-Derived Extracellular Vesicles Deliver CRISPR/Cas9 Ribonucleoproteins With a GFP-Reporter System to Inhibit Osteosarcoma Proliferation and Metastasis | ||
J Immunother Cancer Hypoxia upregulates the expression of PD-L1 via NPM1 in breast cancer | ||
Proc Natl Acad Sci U S A CRLX101 nanoparticles localize in human tumors and not in adjacent, nonneoplastic tissue after intravenous dosing. | ||
Cell Commun Signal KCNJ2/HIF1α positive-feedback loop promotes the metastasis of osteosarcoma | ||
Biomed Pharmacother Para-toluenesulfonamide, a novel potent carbonic anhydrase inhibitor, improves hypoxia-induced metastatic breast cancer cell viability and prevents resistance to αPD-1 therapy in triple-negative breast cancer | ||
Oxid Med Cell Longev Carbonic Anhydrase IX Controls Vulnerability to Ferroptosis in Gefitinib-Resistant Lung Cancer |






