验证数据展示
经过测试的应用
| Positive WB detected in | HEK-293 cells, mouse kidney tissue, rat kidney tissue |
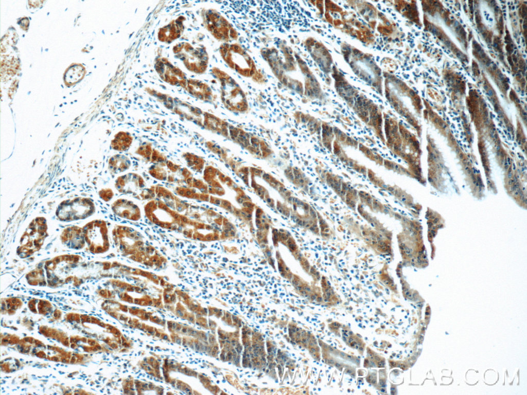
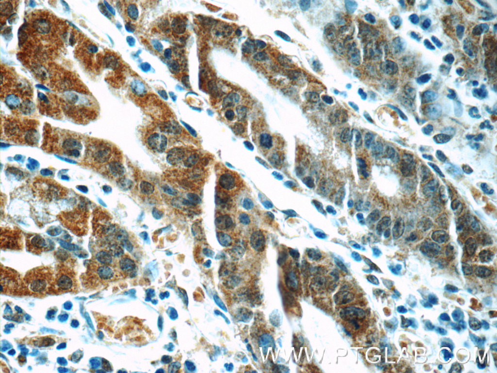
| Positive IHC detected in | human liver cancer tissue, human kidney tissue, human stomach tissue Note: suggested antigen retrieval with TE buffer pH 9.0; (*) Alternatively, antigen retrieval may be performed with citrate buffer pH 6.0 |
| Positive IF/ICC detected in | HeLa cells |
推荐稀释比
| 应用 | 推荐稀释比 |
|---|---|
| Western Blot (WB) | WB : 1:1000-1:8000 |
| Immunohistochemistry (IHC) | IHC : 1:250-1:1000 |
| Immunofluorescence (IF)/ICC | IF/ICC : 1:50-1:500 |
| It is recommended that this reagent should be titrated in each testing system to obtain optimal results. | |
| Sample-dependent, Check data in validation data gallery. | |
发表文章中的应用
| IF | See 1 publications below |
产品信息
13670-1-AP targets CA7 in WB, IHC, IF/ICC, ELISA applications and shows reactivity with human, mouse, rat samples.
| 经测试应用 | WB, IHC, IF/ICC, ELISA Application Description |
| 文献引用应用 | IF |
| 经测试反应性 | human, mouse, rat |
| 文献引用反应性 | human, mouse, rat, pig |
| 免疫原 |
CatNo: Ag4649 Product name: Recombinant human CA7 protein Source: e coli.-derived, PGEX-4T Tag: GST Domain: 1-264 aa of BC033865 Sequence: MTGHHGWGYGQDDGPSHWHKLYPIAQGDRQSPINIISSQAVYSPSLQPLELSYEACMSLSITNNGHSVQVDFNDSDDRTVVTGGPLEGPYRLKQFHFHWGKKHDVGSEHTVDGKSFPSELHLVHWNAKKYSTFGEAASAPDGLAVVGVFLETGDEHPSMNRLTDALYMVRFKGTKAQFSCFNPKCLLPASRHYWTYPGSLTTPPLSESVTWIVLREPICISERQMGKFRSLLFTSEDDERIHMVNNFRPPQPLKGRVVKASFRA 种属同源性预测 |
| 宿主/亚型 | Rabbit / IgG |
| 抗体类别 | Polyclonal |
| 产品类型 | Antibody |
| 全称 | carbonic anhydrase VII |
| 别名 | CA-VII, CAVII, carbonic anhydrase VII, Carbonic anhydrase 7, Carbonate dehydratase VII |
| 计算分子量 | 264 aa, 30 kDa |
| 观测分子量 | 30 kDa |
| GenBank蛋白编号 | BC033865 |
| 基因名称 | CA7 |
| Gene ID (NCBI) | 766 |
| RRID | AB_2243629 |
| 偶联类型 | Unconjugated |
| 形式 | Liquid |
| 纯化方式 | Antigen affinity purification |
| UNIPROT ID | P43166 |
| 储存缓冲液 | PBS with 0.02% sodium azide and 50% glycerol, pH 7.3. |
| 储存条件 | Store at -20°C. Stable for one year after shipment. Aliquoting is unnecessary for -20oC storage. |
实验方案
| Product Specific Protocols | |
|---|---|
| IF protocol for CA7 antibody 13670-1-AP | Download protocol |
| IHC protocol for CA7 antibody 13670-1-AP | Download protocol |
| WB protocol for CA7 antibody 13670-1-AP | Download protocol |
| Standard Protocols | |
|---|---|
| Click here to view our Standard Protocols |








