验证数据展示
产品信息
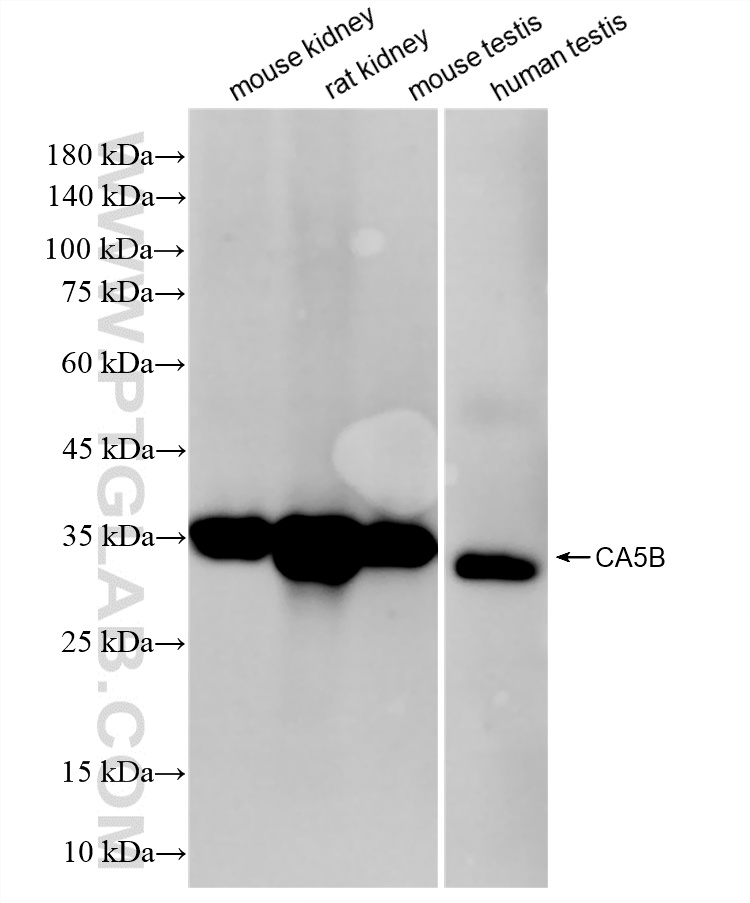
86996-1-PBS targets CA5B in WB, Indirect ELISA applications and shows reactivity with human, mouse, rat samples.
| 经测试应用 | WB, Indirect ELISA Application Description |
| 经测试反应性 | human, mouse, rat |
| 免疫原 |
CatNo: Ag4166 Product name: Recombinant human CA5B protein Source: e coli.-derived, PGEX-4T Tag: GST Domain: 1-317 aa of BC028142 Sequence: MVVMNSLRVILQASPGKLLWRKFQIPRFMPARPCSLYTCTYKTRNRALHPLWESVDLVPGGDRQSPINIRWRDSVYDPGLKPLTISYDPATCLHVWNNGYSFLVEFEDSTDKSVIKGGPLEHNYRLKQFHFHWGAIDAWGSEHTVDSKCFPAELHLVHWNAVRFENFEDAALEENGLAVIGVFLKLGKHHKELQKLVDTLPSIKHKDALVEFGSFDPSCLMPTCPDYWTYSGSLTTPPLSESVTWIIKKQPVEVDHDQLEQFRTLLFTSEGEKEKRMVDNFRPLQPLMNRTVRSSFRHDYVLNVQAKPKPATSQATP 种属同源性预测 |
| 宿主/亚型 | Rabbit / IgG |
| 抗体类别 | Recombinant |
| 产品类型 | Antibody |
| 全称 | carbonic anhydrase VB, mitochondrial |
| 别名 | CA VB, Carbonic Anhydrase 5B, Carbonic Anhydrase 5B/CA5B, CAVB, CA-VB |
| 计算分子量 | 317 aa, 36 kDa |
| 观测分子量 | 32-35 kDa |
| GenBank蛋白编号 | BC028142 |
| 基因名称 | CA5B |
| Gene ID (NCBI) | 11238 |
| RRID | AB_3745264 |
| 偶联类型 | Unconjugated |
| 形式 | Liquid |
| 纯化方式 | Protein A purification |
| UNIPROT ID | Q9Y2D0 |
| 储存缓冲液 | PBS only, pH 7.3. |
| 储存条件 | Store at -80°C. The product is shipped with ice packs. Upon receipt, store it immediately at -80°C |
背景介绍
CA5B(Carbonic anhydrase 5B, mitochondrial) is also named as CA-VB and belongs to the alpha-carbonic anhydrase family.CA5B encodes a 317-amino acid protein that has 64% sequence similarity with CA5 (114761), a mitochondrial CA, and contains a 33-amino-acid residue signal sequence. Western blot analysis revealed a 36-kD protein precursor and a 32-kD mature protein (PMID:10409679).
