验证数据展示
经过测试的应用
| Positive WB detected in | mouse skeletal muscle tissue |
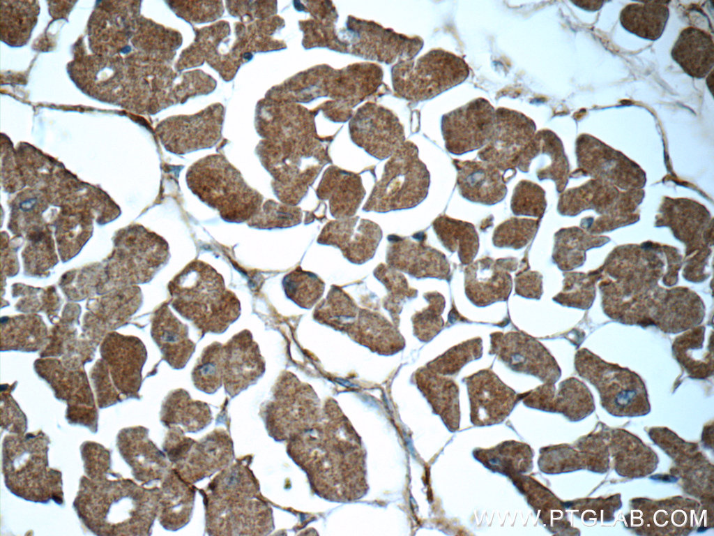
| Positive IHC detected in | human heart tissue, human skeletal muscle tissue Note: suggested antigen retrieval with TE buffer pH 9.0; (*) Alternatively, antigen retrieval may be performed with citrate buffer pH 6.0 |
推荐稀释比
| 应用 | 推荐稀释比 |
|---|---|
| Western Blot (WB) | WB : 1:500-1:1000 |
| Immunohistochemistry (IHC) | IHC : 1:20-1:200 |
| It is recommended that this reagent should be titrated in each testing system to obtain optimal results. | |
| Sample-dependent, Check data in validation data gallery. | |
产品信息
25630-1-AP targets C9orf61 in WB, IHC, CoIP, ELISA applications and shows reactivity with human, mouse samples.
| 经测试应用 | WB, IHC, ELISA Application Description |
| 文献引用应用 | WB, IHC, CoIP |
| 经测试反应性 | human, mouse |
| 文献引用反应性 | human |
| 免疫原 |
CatNo: Ag22242 Product name: Recombinant human C9orf61 protein Source: e coli.-derived, PET30a Tag: 6*His Domain: 288-450 aa of BC113685 Sequence: PVLSCEAATQTERRLDLAAVTLRRGLRSRASRCRPRSLIDYKSYMDTKLLVARFLEQSSCTMTPDIHELVENIKSVLKSDEEHMEEAITSASFLEQIMAPLQPSTSRAHKLPSRRQPGLLHLQSCGDLHTFTPAGRPRAERRPRRVEAERPHSLIGVIRETVL 种属同源性预测 |
| 宿主/亚型 | Rabbit / IgG |
| 抗体类别 | Polyclonal |
| 产品类型 | Antibody |
| 全称 | chromosome 9 open reading frame 61 |
| 别名 | Endosomal transmembrane binding with epsin, Endosomal transmembrane epsin interactor 1, ENTREP1, FAM189A2, Protein FAM189A2 |
| 计算分子量 | 450 aa, 50 kDa |
| 观测分子量 | 45-50 kDa |
| GenBank蛋白编号 | BC113685 |
| 基因名称 | C9orf61 |
| Gene ID (NCBI) | 9413 |
| RRID | AB_2880170 |
| 偶联类型 | Unconjugated |
| 形式 | Liquid |
| 纯化方式 | Antigen affinity purification |
| UNIPROT ID | Q15884 |
| 储存缓冲液 | PBS with 0.02% sodium azide and 50% glycerol, pH 7.3. |
| 储存条件 | Store at -20°C. Stable for one year after shipment. Aliquoting is unnecessary for -20oC storage. |
背景介绍
C9orf61, also named as FAM189A2 and X123, is promoinently expressed in muscle. It has three isoforms with MW 45-50 kDa, 32-35 kDa and 27 kDa.
实验方案
| Product Specific Protocols | |
|---|---|
| IHC protocol for C9orf61 antibody 25630-1-AP | Download protocol |
| WB protocol for C9orf61 antibody 25630-1-AP | Download protocol |
| Standard Protocols | |
|---|---|
| Click here to view our Standard Protocols |
发表文章
| Species | Application | Title |
|---|---|---|
Tissue Cell FAM189A2 plays a tumour suppressor role in lung adenocarcinoma by influencing cell apoptosis, CXCR4 expression and tight junction proteins | ||
J Transl Med FAM189A2 activates Hippo signaling pathway by abrogating WWP2-mediated LATS1 ubiquitination, to inhibit the glycolysis and proliferation processes of lung adenocarcinoma.
|




