验证数据展示
经过测试的应用
| Positive WB detected in | HeLa cells, HepG2 cells, Jurkat cells |
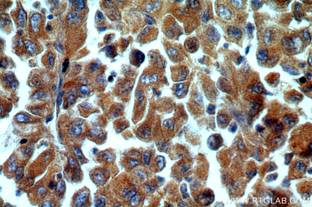
| Positive IHC detected in | human lung cancer tissue Note: suggested antigen retrieval with TE buffer pH 9.0; (*) Alternatively, antigen retrieval may be performed with citrate buffer pH 6.0 |
推荐稀释比
| 应用 | 推荐稀释比 |
|---|---|
| Western Blot (WB) | WB : 1:500-1:1000 |
| Immunohistochemistry (IHC) | IHC : 1:20-1:200 |
| It is recommended that this reagent should be titrated in each testing system to obtain optimal results. | |
| Sample-dependent, Check data in validation data gallery. | |
产品信息
20475-1-AP targets C9orf156 in WB, IHC, ELISA applications and shows reactivity with human samples.
| 经测试应用 | WB, IHC, ELISA Application Description |
| 经测试反应性 | human |
| 免疫原 |
CatNo: Ag14335 Product name: Recombinant human C9orf156 protein Source: e coli.-derived, T-HIS Tag: 6*His Domain: 92-441 aa of BC002863 Sequence: NGHLSCKAKVQPPRLNGAKTGVFSTRSPHRPNAIGLTLAKLEKVEGGAIYLSGIDMIHGTPVLDIKPYIAEYDSPQNVMEPLADFNLQNNQHTPNTVSQSDSKTDSCDQRQLSGCDEPQPHHSTKRKPKCPEDRTSEENYLTHSDTARIQQAFPMHREIAVDFGLESRRDQSSSVAEEQIGPYCPEKSFSEKGTDKKLERVEGAAVLQGSRAETQPMAPHCPAGRADGAPRSVVPAWVTEAPVATLEVRFTPHAEMDLGQLSSQDVGQASFKYFQSAEEAKRAIEAVLSADPRSVYRRKLCQDRLFYFTVDIAHVTCWFGDGFAEVLRIKPASEPVHMTGPVGSLVSLGS 种属同源性预测 |
| 宿主/亚型 | Rabbit / IgG |
| 抗体类别 | Polyclonal |
| 产品类型 | Antibody |
| 全称 | chromosome 9 open reading frame 156 |
| 别名 | C9orf156, HSPC219, NAP1, Nef associated protein 1, Thioesterase NAP1 |
| 计算分子量 | 441 aa, 49 kDa |
| 观测分子量 | 48-55 kDa |
| GenBank蛋白编号 | BC002863 |
| 基因名称 | C9orf156 |
| Gene ID (NCBI) | 51531 |
| RRID | AB_10665553 |
| 偶联类型 | Unconjugated |
| 形式 | Liquid |
| 纯化方式 | Antigen affinity purification |
| UNIPROT ID | Q9BU70 |
| 储存缓冲液 | PBS with 0.02% sodium azide and 50% glycerol, pH 7.3. |
| 储存条件 | Store at -20°C. Stable for one year after shipment. Aliquoting is unnecessary for -20oC storage. |
实验方案
| Product Specific Protocols | |
|---|---|
| WB protocol for C9orf156 antibody 20475-1-AP | Download protocol |
| IHC protocol for C9orf156 antibody 20475-1-AP | Download protocol |
| Standard Protocols | |
|---|---|
| Click here to view our Standard Protocols |




