验证数据展示
经过测试的应用
| Positive WB detected in | PC-3 cells, HepG2 cells |
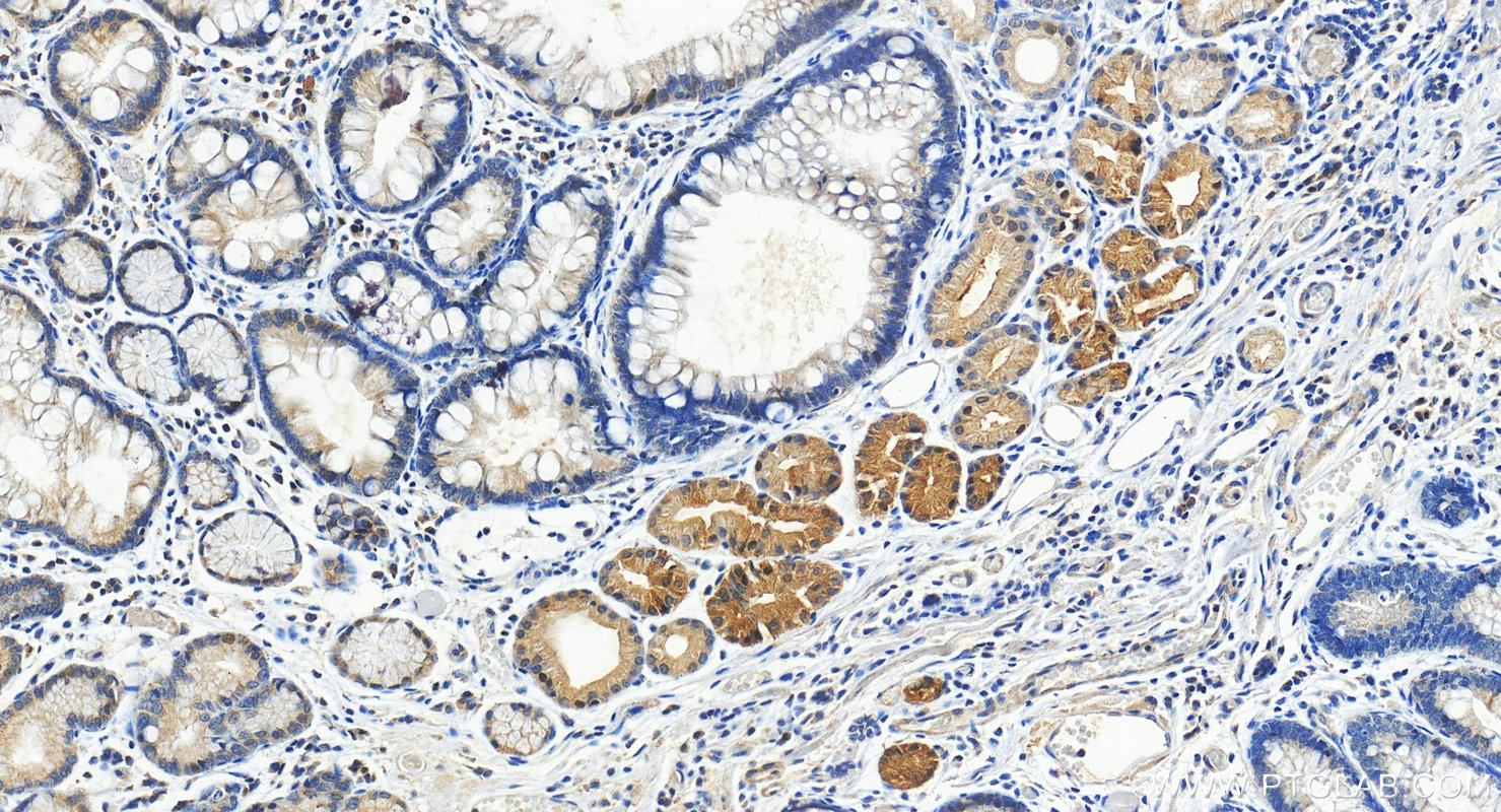
| Positive IHC detected in | human stomach cancer tissue Note: suggested antigen retrieval with TE buffer pH 9.0; (*) Alternatively, antigen retrieval may be performed with citrate buffer pH 6.0 |
推荐稀释比
| 应用 | 推荐稀释比 |
|---|---|
| Western Blot (WB) | WB : 1:500-1:1000 |
| Immunohistochemistry (IHC) | IHC : 1:500-1:2000 |
| It is recommended that this reagent should be titrated in each testing system to obtain optimal results. | |
| Sample-dependent, Check data in validation data gallery. | |
产品信息
27028-1-AP targets ERCC6L2 in WB, IHC, ELISA applications and shows reactivity with human samples.
| 经测试应用 | WB, IHC, ELISA Application Description |
| 经测试反应性 | human |
| 免疫原 |
CatNo: Ag19348 Product name: Recombinant human C9orf102 protein Source: e coli.-derived, PGEX-4T Tag: GST Domain: 358-712 aa of BC140702 Sequence: KRELATGRKAMQRLAKKMSGWFLRRTKTLIKDQLPKKEDRMVYCSLTDFQKAVYQTVLETEDVTLILQSSEPCTCRSGQKRRNCCYKTNSHGETVKTLYLSYLTVLQKVANHVALLQAASTSKQQETLIKRICDQVFSRFPDFVQKSKDAAFETLSDPKYSGKMKVLQQLLNHCRKNRDKVLLFSFSTKLLDVLQQYCMASGLDYRRLDGSTKSEERLKIVKEFNSTQDVNICLVSTMAGGLGLNFVGANVVVLFDPTWNPANDLQAIDRAYRIGQCRDVKVLRLISLGTVEEIMYLRQIYKQQLHCVVVGSENAKRYFEAVQGSKEHQGELFGIHNLFKFRSQGSCLTKDILEV 种属同源性预测 |
| 宿主/亚型 | Rabbit / IgG |
| 抗体类别 | Polyclonal |
| 产品类型 | Antibody |
| 全称 | chromosome 9 open reading frame 102 |
| 别名 | DNA excision repair protein ERCC-6-like 2, DNA repair and recombination protein RAD26-like, EC:3.6.4.-, RAD26L, SR278 |
| 计算分子量 | 712 aa, 81 kDa |
| 观测分子量 | 70-80 kDa |
| GenBank蛋白编号 | BC140702 |
| 基因名称 | ERCC6L2 |
| Gene ID (NCBI) | 375748 |
| RRID | AB_2880729 |
| 偶联类型 | Unconjugated |
| 形式 | Liquid |
| 纯化方式 | Protein A purification |
| UNIPROT ID | Q5T890 |
| 储存缓冲液 | PBS with 0.02% sodium azide and 50% glycerol, pH 7.3. |
| 储存条件 | Store at -20°C. Stable for one year after shipment. Aliquoting is unnecessary for -20oC storage. |
背景介绍
ERCC6L2 , also known as RAD26L or C9orf102 belongs to the SNF2/RAD54 helicase family and is expressed in bone marrow. C9orf102 may be involved in early DNA damage response. C9orf102 is phosphorylated by NEK6. C9orf102 exists some isoforms with the molecular weight 177, 80, 60, 40 kDa.
实验方案
| Product Specific Protocols | |
|---|---|
| WB protocol for ERCC6L2 antibody 27028-1-AP | Download protocol |
| IHC protocol for ERCC6L2 antibody 27028-1-AP | Download protocol |
| Standard Protocols | |
|---|---|
| Click here to view our Standard Protocols |


