验证数据展示
经过测试的应用
| Positive WB detected in | human plasma |
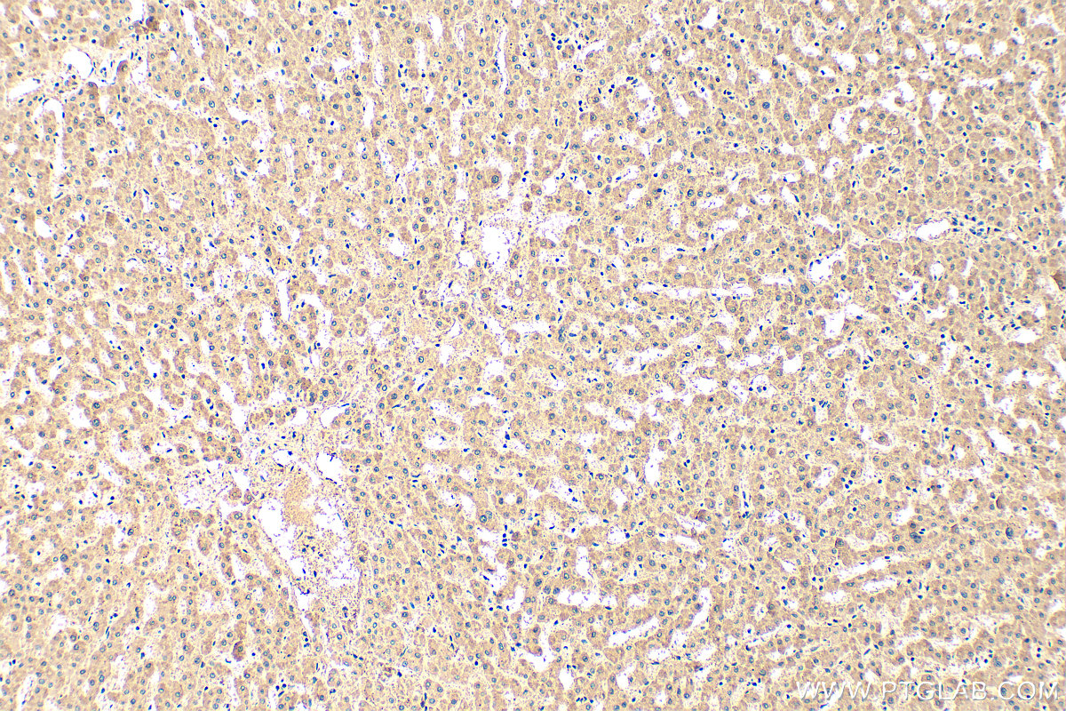
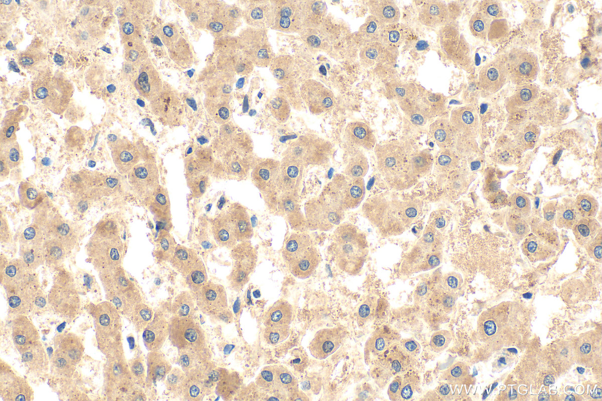
| Positive IHC detected in | human liver tissue Note: suggested antigen retrieval with TE buffer pH 9.0; (*) Alternatively, antigen retrieval may be performed with citrate buffer pH 6.0 |
推荐稀释比
| 应用 | 推荐稀释比 |
|---|---|
| Western Blot (WB) | WB : 1:1000-1:8000 |
| Immunohistochemistry (IHC) | IHC : 1:200-1:800 |
| It is recommended that this reagent should be titrated in each testing system to obtain optimal results. | |
| Sample-dependent, Check data in validation data gallery. | |
产品信息
25184-1-AP targets C8B in WB, IHC, ELISA applications and shows reactivity with human samples.
| 经测试应用 | WB, IHC, ELISA Application Description |
| 经测试反应性 | human |
| 免疫原 |
CatNo: Ag18388 Product name: Recombinant human C8B protein Source: e coli.-derived, PET28a Tag: 6*His Domain: 242-591 aa of BC130575 Sequence: RNVTEKMASKSGFSFGFKIPGIFELGISSQSDRGKHYIRRTKRFSHTKSVFLHARSDLEVAHYKLKPRSLMLHYEFLQRVKRLPLEYSYGEYRDLFRDFGTHYITEAVLGGIYEYTLVMNKEAMERGDYTLNNVHACAKNDFKIGGAIEEVYVSLGVSVGKCRGILNEIKDRNKRDTMVEDLVVLVRGGASEHITTLAYQELPTADLMQEWGDAVQYNPAIIKVKVEPLYELVTATDFAYSSTVRQNMKQALEEFQKEVSSCHCAPCQGNGVPVLKGSRCDCICPVGSQGLACEVSYRKNTPIDGKWNCWSNWSSCSGRRKTRQRQCNNPPPQNGGSPCSGPASETLDCS 种属同源性预测 |
| 宿主/亚型 | Rabbit / IgG |
| 抗体类别 | Polyclonal |
| 产品类型 | Antibody |
| 全称 | complement component 8, beta polypeptide |
| 别名 | CO8B, Complement component 8 subunit beta, complement component 8, beta polypeptide, Complement component C8 beta chain |
| 计算分子量 | 591 aa, 67 kDa |
| 观测分子量 | 64 kDa |
| GenBank蛋白编号 | BC130575 |
| 基因名称 | C8B |
| Gene ID (NCBI) | 732 |
| RRID | AB_3085774 |
| 偶联类型 | Unconjugated |
| 形式 | Liquid |
| 纯化方式 | Antigen affinity purification |
| UNIPROT ID | P07358 |
| 储存缓冲液 | PBS with 0.02% sodium azide and 50% glycerol, pH 7.3. |
| 储存条件 | Store at -20°C. Stable for one year after shipment. Aliquoting is unnecessary for -20oC storage. |
背景介绍
The beta chain of complement component 8 (C8B) is one of three different subunits (alpha, beta, and gamma) of the complement component 8 (C8), which is a component of the MAC (membrane attack complex). The deficiency of C8B leads to the type II of C8 deficiency, leading to the malfunction of MAC.
实验方案
| Product Specific Protocols | |
|---|---|
| IHC protocol for C8B antibody 25184-1-AP | Download protocol |
| WB protocol for C8B antibody 25184-1-AP | Download protocol |
| Standard Protocols | |
|---|---|
| Click here to view our Standard Protocols |


