验证数据展示
经过测试的应用
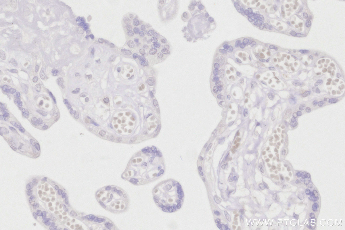
| Positive IHC detected in | human placenta tissue, human skin tissue Note: suggested antigen retrieval with TE buffer pH 9.0; (*) Alternatively, antigen retrieval may be performed with citrate buffer pH 6.0 |
推荐稀释比
| 应用 | 推荐稀释比 |
|---|---|
| Immunohistochemistry (IHC) | IHC : 1:50-1:500 |
| It is recommended that this reagent should be titrated in each testing system to obtain optimal results. | |
| Sample-dependent, Check data in validation data gallery. | |
产品信息
15076-1-AP targets C7orf49 in IHC, ELISA applications and shows reactivity with human samples.
| 经测试应用 | IHC, ELISA Application Description |
| 经测试反应性 | human |
| 免疫原 |
CatNo: Ag7148 Product name: Recombinant human C7orf49 protein Source: e coli.-derived, PGEX-4T Tag: GST Domain: 1-129 aa of BC000168 Sequence: MKAPKRMRMAAVPVAAARLPATRTVYCMNEAEIVDVALGILIESRKQEKACEQPALAGADNPEHSPPCSVSPHTSSGSSSEEEDSGKQALAPGLSPSQRPGGSSSACSRSPEEEEEEDVLKYVREIFFS 种属同源性预测 |
| 宿主/亚型 | Rabbit / IgG |
| 抗体类别 | Polyclonal |
| 产品类型 | Antibody |
| 全称 | chromosome 7 open reading frame 49 |
| 别名 | Cell cycle regulator of NHEJ, Cell cycle regulator of non-homologous end joining, CYREN, MRI |
| 计算分子量 | 17 kDa |
| GenBank蛋白编号 | BC000168 |
| 基因名称 | C7orf49 |
| Gene ID (NCBI) | 78996 |
| RRID | AB_2878107 |
| 偶联类型 | Unconjugated |
| 形式 | Liquid |
| 纯化方式 | Antigen affinity purification |
| UNIPROT ID | Q9BWK5 |
| 储存缓冲液 | PBS with 0.02% sodium azide and 50% glycerol, pH 7.3. |
| 储存条件 | Store at -20°C. Stable for one year after shipment. Aliquoting is unnecessary for -20oC storage. |
背景介绍
C7orf49, also named as MRI, may act as a regulator of proteasome.
实验方案
| Product Specific Protocols | |
|---|---|
| IHC protocol for C7orf49 antibody 15076-1-AP | Download protocol |
| Standard Protocols | |
|---|---|
| Click here to view our Standard Protocols |



