验证数据展示
经过测试的应用
| Positive WB detected in | MCF-7 cells, HEK-293 cells, A431 cells, T-47D cells | 
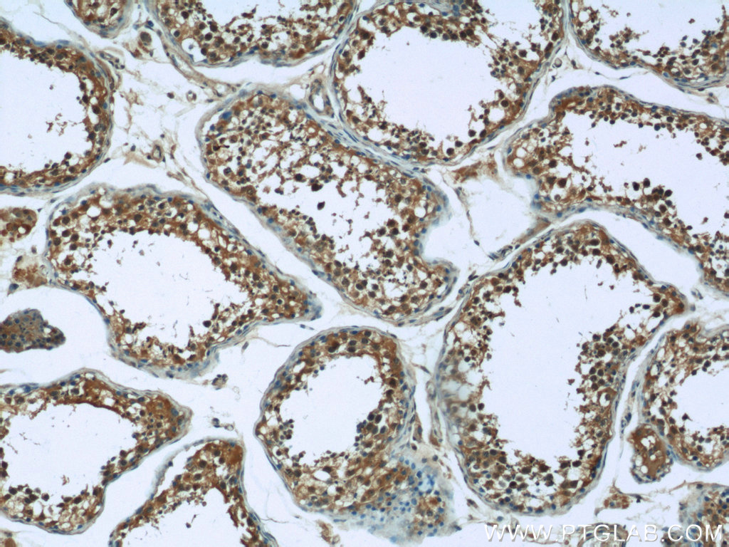
| Positive IHC detected in | human breast cancer tissue, human testis tissue Note: suggested antigen retrieval with TE buffer pH 9.0; (*) Alternatively, antigen retrieval may be performed with citrate buffer pH 6.0  | 
| Positive IF/ICC detected in | T-47D cells | 
推荐稀释比
| 应用 | 推荐稀释比 | 
|---|---|
| Western Blot (WB) | WB : 1:500-1:2000 | 
| Immunohistochemistry (IHC) | IHC : 1:50-1:500 | 
| Immunofluorescence (IF)/ICC | IF/ICC : 1:50-1:500 | 
| It is recommended that this reagent should be titrated in each testing system to obtain optimal results. | |
| Sample-dependent, Check data in validation data gallery. | |
产品信息
25124-1-AP targets C6orf211/ARMT1 in WB, IHC, IF/ICC, ELISA applications and shows reactivity with human samples.
| 经测试应用 | WB, IHC, IF/ICC, ELISA Application Description | 
| 经测试反应性 | human | 
| 免疫原 | 
                                             CatNo: Ag19090 Product name: Recombinant human C6orf211 protein Source: e coli.-derived, PGEX-4T Tag: GST Domain: 91-439 aa of BC011348 Sequence: YLEYQQSLLNESDGKSRWFYSPWLLVECYIDRRIHEAIIQSPPIDYFDVFKESKEQNFYGSQESIIALCTHLQQLIRTIEDLYENQLKDEFFKLLQISLWGNKCDLSLSGGESSSQNTNVLNSLEDLKPFILLNDMEHLWSLLSNCKKTREKASATRVYIVLDNSGFELVTDLILADFLLSSELATEVHFYGKTIPWFVSDTTIHDFNWLIEQVKHSNHKWMSKCGADWEEYIKMGKWVYHNHIFWTLPHEYCAMPQVAPDLYAELQKAHLILFKGDLNYRKLTGDRKWEFSVPFHQALNGFHPAPLCTIRTLKAEIQVGLQPGQGEQLLASEPSWWTTGKYGIFQYDG 种属同源性预测 | 
                                    
| 宿主/亚型 | Rabbit / IgG | 
| 抗体类别 | Polyclonal | 
| 产品类型 | Antibody | 
| 全称 | chromosome 6 open reading frame 211 | 
| 别名 | C6orf211, ARMT1, Sugar phosphate phosphatase ARMT1, EC:3.1.3.-, EC:2.1.1.- | 
| 计算分子量 | 441 aa, 51 kDa | 
| 观测分子量 | 50-51 kDa | 
| GenBank蛋白编号 | BC011348 | 
| 基因名称 | C6orf211/ARMT1 | 
| Gene ID (NCBI) | 79624 | 
| RRID | AB_2879911 | 
| 偶联类型 | Unconjugated | 
| 形式 | Liquid | 
| 纯化方式 | Antigen affinity purification | 
| UNIPROT ID | Q9H993 | 
| 储存缓冲液 | PBS with 0.02% sodium azide and 50% glycerol, pH 7.3. | 
| 储存条件 | Store at -20°C. Stable for one year after shipment. Aliquoting is unnecessary for -20oC storage. | 
实验方案
| Product Specific Protocols | |
|---|---|
| IF protocol for C6orf211/ARMT1 antibody 25124-1-AP | Download protocol | 
| IHC protocol for C6orf211/ARMT1 antibody 25124-1-AP | Download protocol | 
| WB protocol for C6orf211/ARMT1 antibody 25124-1-AP | Download protocol | 
| Standard Protocols | |
|---|---|
| Click here to view our Standard Protocols | 











