验证数据展示
经过测试的应用
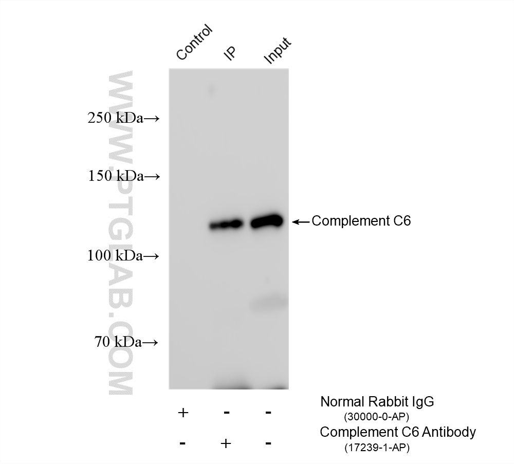
| Positive WB detected in | human blood |
| Positive IP detected in | human plasma |
| Positive IHC detected in | mouse liver tissue, human liver cancer tissue Note: suggested antigen retrieval with TE buffer pH 9.0; (*) Alternatively, antigen retrieval may be performed with citrate buffer pH 6.0 |
推荐稀释比
| 应用 | 推荐稀释比 |
|---|---|
| Western Blot (WB) | WB : 1:500-1:2000 |
| Immunoprecipitation (IP) | IP : 0.5-4.0 ug for 1.0-3.0 mg of total protein lysate |
| Immunohistochemistry (IHC) | IHC : 1:50-1:500 |
| It is recommended that this reagent should be titrated in each testing system to obtain optimal results. | |
| Sample-dependent, Check data in validation data gallery. | |
产品信息
17239-1-AP targets Complement C6 in WB, IHC, IF, IP, ELISA applications and shows reactivity with human, mouse samples.
| 经测试应用 | WB, IHC, IP, ELISA Application Description |
| 文献引用应用 | WB, IHC, IF |
| 经测试反应性 | human, mouse |
| 文献引用反应性 | human, rat |
| 免疫原 |
CatNo: Ag11083 Product name: Recombinant human C6 protein Source: e coli.-derived, PGEX-4T Tag: GST Domain: 586-934 aa of BC035723 Sequence: TRECNNPAPQRGGKRCEGEKRQEEDCTFSIMENNGQPCINDDEEMKEVDLPEIEADSGCPQPVPPENGFIRNEKQLYLVGEDVEISCLTGFETVGYQYFRCLPDGTWRQGDVECQRTECIKPVVQEVLTITPFQRLYRIGESIELTCPKGFVVAGPSRYTCQGNSWTPPISNSLTCEKDTLTKLKGHCQLGQKQSGSECICMSPEEDCSHHSEDLCVFDTDSNDYFTSPACKFLAEKCLNNQQLHFLHIGSCQDGRQLEWGLERTRLSSNSTKKESCGYDTCYDWEKCSASTSKCVCLLPPQCFKGGNQLYCVKMGSSTSEKTLNICEVGTIRCANRKMEILHPGKCLA 种属同源性预测 |
| 宿主/亚型 | Rabbit / IgG |
| 抗体类别 | Polyclonal |
| 产品类型 | Antibody |
| 全称 | complement component 6 |
| 别名 | C6, complement component 6, Complement component C6 |
| 计算分子量 | 934 aa, 105 kDa |
| 观测分子量 | 105-120 kDa |
| GenBank蛋白编号 | BC035723 |
| 基因名称 | C6 |
| Gene ID (NCBI) | 729 |
| RRID | AB_2878366 |
| 偶联类型 | Unconjugated |
| 形式 | Liquid |
| 纯化方式 | Antigen affinity purification |
| UNIPROT ID | P13671 |
| 储存缓冲液 | PBS with 0.02% sodium azide and 50% glycerol, pH 7.3. |
| 储存条件 | Store at -20°C. Stable for one year after shipment. Aliquoting is unnecessary for -20oC storage. |
背景介绍
The final consequence of complement activation is formation of the membrane attack complex (MAC), a multiprotein assembly that perforates cell membranes, forming transmembrane channels. C6 is 1 of 5 late-acting proteins of complement that participate in assembly and function of the MAC. The deduced C6 protein contains 934 amino acids, including a 21-amino acid N-terminal signal sequence and 2 N-glycosylation sites. Mutations in the C6 gene are associated with complement component-6 deficiency.
实验方案
| Product Specific Protocols | |
|---|---|
| IHC protocol for Complement C6 antibody 17239-1-AP | Download protocol |
| IP protocol for Complement C6 antibody 17239-1-AP | Download protocol |
| WB protocol for Complement C6 antibody 17239-1-AP | Download protocol |
| Standard Protocols | |
|---|---|
| Click here to view our Standard Protocols |
发表文章
| Species | Application | Title |
|---|---|---|
PLoS One Human mesenchymal stromal cells ameliorate complement induced inflammatory cascade and improve renal functions in a rat model of ischemia-reperfusion induced acute kidney injury. | ||
Oral Dis Analysis of Salivary Exosomal Proteins in Young Adults with Severe Periodontitis. | ||
Ann Diagn Pathol The histologic and molecular correlates of liver disease in fatal COVID-19 including with alcohol use disorder | ||
Ren Fail Effect of anti-C5 antibody on recuperation from ischemia/reperfusion-induced acute kidney injury. | ||
Cureus Effects of Small Extracellular Vesicles Derived From Mesenchymal Stromal Cells on Acute Kidney Injury: A Rat Ischemia-Reperfusion Model | ||
Ann Diagn Pathol The amplification of CNS damage in Alzheimer's disease due to SARS-CoV2 infection |





