验证数据展示
经过测试的应用
| Positive WB detected in | HepG2 cells |
| Positive IP detected in | COLO 320 cells |
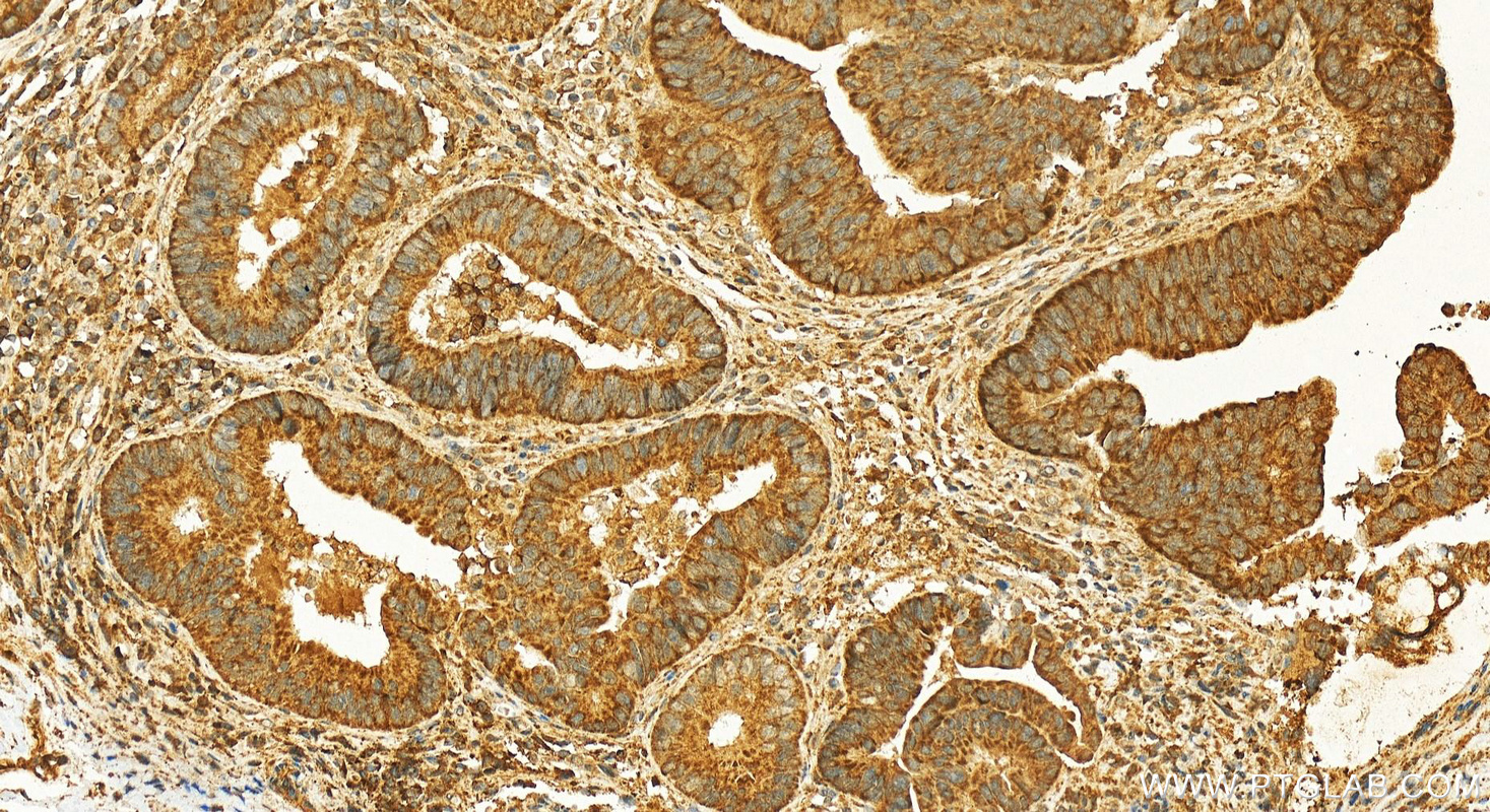
| Positive IHC detected in | human colon cancer tissue Note: suggested antigen retrieval with TE buffer pH 9.0; (*) Alternatively, antigen retrieval may be performed with citrate buffer pH 6.0 |
| Positive IF/ICC detected in | HepG2 cells |
推荐稀释比
| 应用 | 推荐稀释比 |
|---|---|
| Western Blot (WB) | WB : 1:200-1:1000 |
| Immunoprecipitation (IP) | IP : 0.5-4.0 ug for 1.0-3.0 mg of total protein lysate |
| Immunohistochemistry (IHC) | IHC : 1:200-1:800 |
| Immunofluorescence (IF)/ICC | IF/ICC : 1:20-1:200 |
| It is recommended that this reagent should be titrated in each testing system to obtain optimal results. | |
| Sample-dependent, Check data in validation data gallery. | |
产品信息
25576-1-AP targets C2orf79/PTRHD1 in WB, IHC, IF/ICC, IP, ELISA applications and shows reactivity with human samples.
| 经测试应用 | WB, IHC, IF/ICC, IP, ELISA Application Description |
| 经测试反应性 | human |
| 免疫原 |
CatNo: Ag22255 Product name: Recombinant human C2orf79 protein Source: e coli.-derived, PGEX-4T Tag: GST Domain: 1-140 aa of BC073803 Sequence: MHRGVGPAFRVVRKMAASGAEPQVLVQYLVLRKDLSQAPFSWPAGALVAQACHAATAALHTHRDHPHTAAYLQELGRMRKVVLEAPDETTLKELAETLQQKNIDHMLWLEQPENIATCIALRPYPKEEVGQYLKKFRLFK 种属同源性预测 |
| 宿主/亚型 | Rabbit / IgG |
| 抗体类别 | Polyclonal |
| 产品类型 | Antibody |
| 全称 | chromosome 2 open reading frame 79 |
| 别名 | C2orf79, PTRHD1, EC:3.1.1.29, Peptidyl-tRNA hydrolase domain-containing protein 1, Putative peptidyl-tRNA hydrolase PTRHD1 |
| 计算分子量 | 140 aa, 16 kDa |
| 观测分子量 | 13-16 kDa |
| GenBank蛋白编号 | BC073803 |
| 基因名称 | PTRHD1 |
| Gene ID (NCBI) | 391356 |
| RRID | AB_2880136 |
| 偶联类型 | Unconjugated |
| 形式 | Liquid |
| 纯化方式 | Antigen affinity purification |
| UNIPROT ID | Q6GMV3 |
| 储存缓冲液 | PBS with 0.02% sodium azide and 50% glycerol, pH 7.3. |
| 储存条件 | Store at -20°C. Stable for one year after shipment. Aliquoting is unnecessary for -20oC storage. |
实验方案
| Product Specific Protocols | |
|---|---|
| IF protocol for C2orf79/PTRHD1 antibody 25576-1-AP | Download protocol |
| IHC protocol for C2orf79/PTRHD1 antibody 25576-1-AP | Download protocol |
| IP protocol for C2orf79/PTRHD1 antibody 25576-1-AP | Download protocol |
| WB protocol for C2orf79/PTRHD1 antibody 25576-1-AP | Download protocol |
| Standard Protocols | |
|---|---|
| Click here to view our Standard Protocols |





