验证数据展示
经过测试的应用
| Positive WB detected in | Jurkat cells, A549 cells, HEK-293 cells, HepG2 cells, mouse liver tissue, Y79 cells |
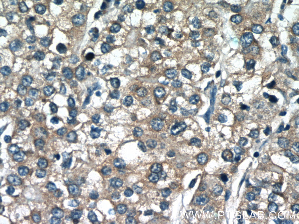
| Positive IHC detected in | human kidney tissue, human liver cancer tissue Note: suggested antigen retrieval with TE buffer pH 9.0; (*) Alternatively, antigen retrieval may be performed with citrate buffer pH 6.0 |
推荐稀释比
| 应用 | 推荐稀释比 |
|---|---|
| Western Blot (WB) | WB : 1:500-1:2000 |
| Immunohistochemistry (IHC) | IHC : 1:20-1:200 |
| It is recommended that this reagent should be titrated in each testing system to obtain optimal results. | |
| Sample-dependent, Check data in validation data gallery. | |
产品信息
23178-1-AP targets MGME1 in WB, IHC, IF, IP, ELISA applications and shows reactivity with human, mouse samples.
| 经测试应用 | WB, IHC, ELISA Application Description |
| 文献引用应用 | WB, IF, IP |
| 经测试反应性 | human, mouse |
| 文献引用反应性 | human, mouse |
| 免疫原 |
CatNo: Ag19644 Product name: Recombinant human MGME1 protein Source: e coli.-derived, PGEX-4T Tag: GST Domain: 1-344 aa of BC016869 Sequence: MKMKLFQTICRQLRSSKFSVESAALVAFSTSSYSCGRKKKVNPYEEVDQEKYSNLVQSVLSSRGVAQTPGSVEEDALLCGPVSKHKLPNQGEDRRVPQNWFPIFNPERSDKPNASDPSVPLKIPLQRNVIPSVTRVLQQTMTKQQVFLLERWKQRMILELGEDGFKEYTSNVFLQGKRFHEALESILSPQETLKERDENLLKSGYIESVQHILKDVSGVRALESAVQHETLNYIGLLDCVAEYQGKLCVIDWKTSEKPKPFIQSTFDNPLQVVAYMGAMNHDTNYSFQVQCGLIVVAYKDGSPAHPHFMDAELCSQYWTKWLLRLEEYTEKKKNQNIQKPEYSE 种属同源性预测 |
| 宿主/亚型 | Rabbit / IgG |
| 抗体类别 | Polyclonal |
| 产品类型 | Antibody |
| 全称 | chromosome 20 open reading frame 72 |
| 别名 | C20orf72, DDK1, MGME1 |
| 计算分子量 | 344 aa, 39 kDa |
| 观测分子量 | 36-39 kDa |
| GenBank蛋白编号 | BC016869 |
| 基因名称 | MGME1 |
| Gene ID (NCBI) | 92667 |
| RRID | AB_2879223 |
| 偶联类型 | Unconjugated |
| 形式 | Liquid |
| 纯化方式 | Antigen affinity purification |
| UNIPROT ID | Q9BQP7 |
| 储存缓冲液 | PBS with 0.02% sodium azide and 50% glycerol, pH 7.3. |
| 储存条件 | Store at -20°C. Stable for one year after shipment. Aliquoting is unnecessary for -20oC storage. |
背景介绍
MGME1, also named as C20orf72, is a single-stranded DNA (ssDNA) exonuclease involved in mitochondrial genome maintenance. It has preference for 5'-3' exonuclease activity. MGME1 cleaves single-stranded DNA (ssDNA) and several DNA or DNA-RNA chimeric oligonucleotides that showed free nucleic acid ends. It probably involved in mitochondrial DNA (mtDNA) repair, possibly via the processing of displaced DNA containing Okazaki fragments during RNA-primed DNA synthesis on the lagging strand or via processing of DNA flaps during long-patch base excision repair. This antibody detects the 35-40 kDa protein.
实验方案
| Product Specific Protocols | |
|---|---|
| IHC protocol for MGME1 antibody 23178-1-AP | Download protocol |
| WB protocol for MGME1 antibody 23178-1-AP | Download protocol |
| Standard Protocols | |
|---|---|
| Click here to view our Standard Protocols |
发表文章
| Species | Application | Title |
|---|---|---|
Immunity Oxidized DNA fragments exit mitochondria via mPTP- and VDAC-dependent channels to activate NLRP3 inflammasome and interferon signaling.
| ||
Mol Cell Mitochondrial DNA breaks activate an integrated stress response to reestablish homeostasis
| ||
mBio Heat Shock Protein 60 Is Involved in Viral Replication Complex Formation and Facilitates Foot and Mouth Virus Replication by Stabilizing Viral Nonstructural Proteins 3A and 2C | ||
Biochem Biophys Res Commun Unspliced XBP1 enhences metabolic reprogramming in colorectal cancer cells by interfering with the mitochondrial localization of MGME1 |









