验证数据展示
经过测试的应用
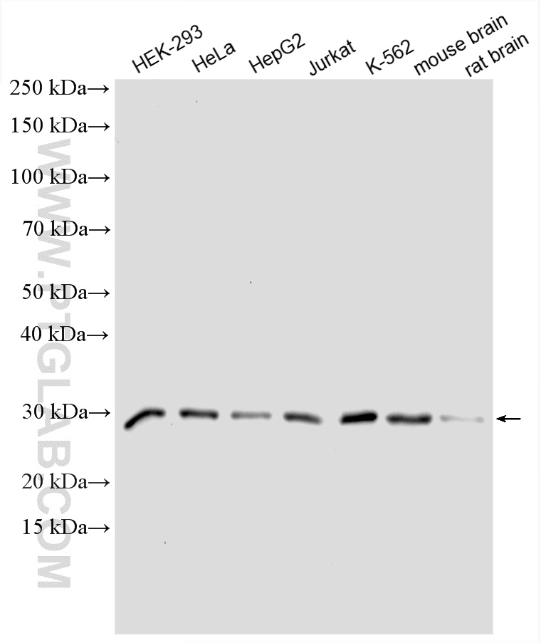
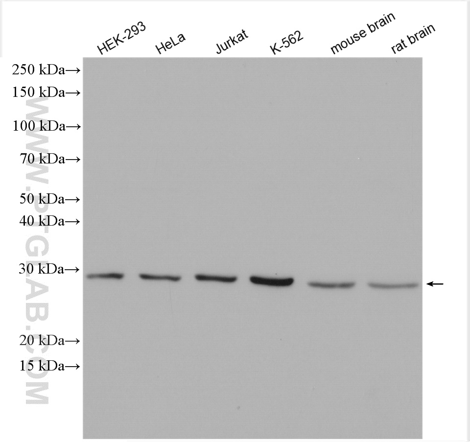
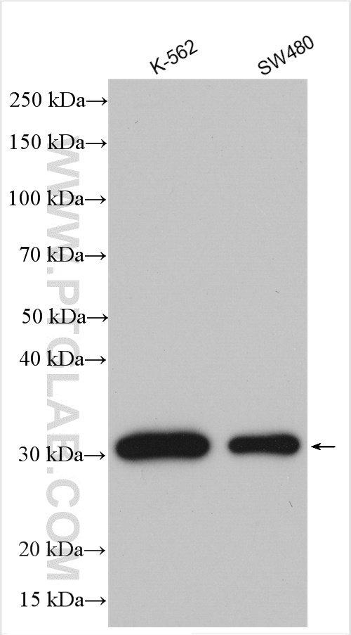
| Positive WB detected in | HEK-293 cells, K-562 cells, HeLa cells, Jurkat cells, mouse brain tissue, rat brain tissue, SW480 cells, HepG2 cells |
| Positive IHC detected in | mouse testis tissue Note: suggested antigen retrieval with TE buffer pH 9.0; (*) Alternatively, antigen retrieval may be performed with citrate buffer pH 6.0 |
| Positive IF-P detected in | mouse colon tissue |
推荐稀释比
| 应用 | 推荐稀释比 |
|---|---|
| Western Blot (WB) | WB : 1:500-1:2000 |
| Immunohistochemistry (IHC) | IHC : 1:1000-1:4000 |
| Immunofluorescence (IF)-P | IF-P : 1:500-1:2000 |
| It is recommended that this reagent should be titrated in each testing system to obtain optimal results. | |
| Sample-dependent, Check data in validation data gallery. | |
产品信息
24479-1-AP targets GID8 in WB, IHC, IF-P, ELISA applications and shows reactivity with human, mouse, rat samples.
| 经测试应用 | WB, IHC, IF-P, ELISA Application Description |
| 文献引用应用 | WB, IHC, IF |
| 经测试反应性 | human, mouse, rat |
| 文献引用反应性 | human, mouse |
| 免疫原 |
CatNo: Ag19751 Product name: Recombinant human C20orf11 protein Source: e coli.-derived, PET28a Tag: 6*His Domain: 1-228 aa of BC032120 Sequence: MSYAEKPDEITKDEWMEKLNNLHVQRADMNRLIMNYLVTEGFKEAAEKFRMESGIEPSLDLETLDERIKIREMILKGQIQEAIALINSLHPELLDTNRYLYFHLQQQHLIELIRQRETEAALEFAQTQLAEQGEESRECLTEMERTLALLAFDSPEESPFGDLLHTMQRQKVWSEVNQAVLDYENRESTPKLAKLLKLLLWAQNELDQKKVKYPKMTDLSKGVIEEPK 种属同源性预测 |
| 宿主/亚型 | Rabbit / IgG |
| 抗体类别 | Polyclonal |
| 产品类型 | Antibody |
| 全称 | chromosome 20 open reading frame 11 |
| 别名 | C20orf11, Glucose-induced degradation protein 8 homolog, Protein C20orf11, Twa1, Two hybrid-associated protein 1 with RanBPM |
| 计算分子量 | 228 aa, 27 kDa |
| 观测分子量 | 30 kDa |
| GenBank蛋白编号 | BC032120 |
| 基因名称 | GID8 |
| Gene ID (NCBI) | 54994 |
| RRID | AB_2879562 |
| 偶联类型 | Unconjugated |
| 形式 | Liquid |
| 纯化方式 | Antigen affinity purification |
| UNIPROT ID | Q9NWU2 |
| 储存缓冲液 | PBS with 0.02% sodium azide and 50% glycerol, pH 7.3. |
| 储存条件 | Store at -20°C. Stable for one year after shipment. Aliquoting is unnecessary for -20oC storage. |
背景介绍
The GID8 protein is a component of the Glucose-Induced Degradation-deficient (GID) complex, which plays a key role in ubiquitin-mediated protein degradation, a pathway used to regulate protein turnover in eukaryotic cells. Initially discovered in yeast, GID8 acts as a scaffold protein that is essential for the assembly of the multi-subunit GID complex and for substrate recognition. This complex plays a significant role in metabolic regulation, such as degrading fructose-1,6-bisphosphatase (FBPase) during the shift from gluconeogenesis to glycolysis. In humans, GID8 is part of the CTLH complex, which is associated with various cellular processes including cell cycle regulation, apoptosis, and cancer progression.
实验方案
| Product Specific Protocols | |
|---|---|
| IF protocol for GID8 antibody 24479-1-AP | Download protocol |
| IHC protocol for GID8 antibody 24479-1-AP | Download protocol |
| WB protocol for GID8 antibody 24479-1-AP | Download protocol |
| Standard Protocols | |
|---|---|
| Click here to view our Standard Protocols |
发表文章
| Species | Application | Title |
|---|---|---|
PLoS Genet Role of Bicaudal C1 in renal gluconeogenesis and its novel interaction with the CTLH complex. | ||
Sci Rep Tagging enhances histochemical and biochemical detection of Ran Binding Protein 9 in vivo and reveals its interaction with Nucleolin. | ||
bioRxiv Genome-wide screen of Mycobacterium tuberculosis- infected macrophages identified the GID/CTLH complex as a determinant of intracellular bacterial growth | ||
Cancer Lett YTHDF1 regulates GID8-mediated glutamine metabolism to promote colorectal cancer progression in a m6A-dependent manner | ||
Mol Cell mTORC1-CTLH E3 ligase regulates the degradation of HMG-CoA synthase 1 through the Pro/N-degron pathway | ||
Nat Commun Genome-wide screen of Mycobacterium tuberculosis-infected macrophages revealed GID/CTLH complex-mediated modulation of bacterial growth |





