验证数据展示
经过测试的应用
| Positive WB detected in | L02 cells, mouse heart tissue, mouse liver tissue |
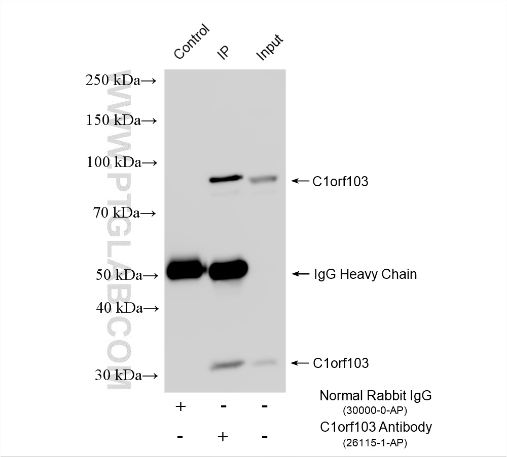
| Positive IP detected in | HepG2 cells |
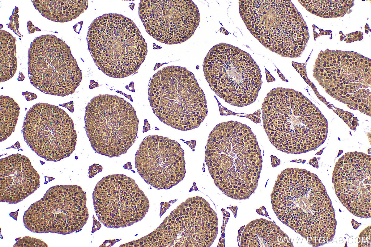
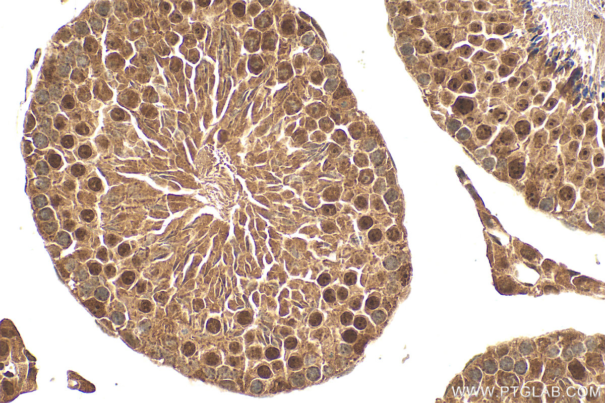
| Positive IHC detected in | mouse testis tissue Note: suggested antigen retrieval with TE buffer pH 9.0; (*) Alternatively, antigen retrieval may be performed with citrate buffer pH 6.0 |
推荐稀释比
| 应用 | 推荐稀释比 |
|---|---|
| Western Blot (WB) | WB : 1:500-1:2000 |
| Immunoprecipitation (IP) | IP : 0.5-4.0 ug for 1.0-3.0 mg of total protein lysate |
| Immunohistochemistry (IHC) | IHC : 1:50-1:500 |
| It is recommended that this reagent should be titrated in each testing system to obtain optimal results. | |
| Sample-dependent, Check data in validation data gallery. | |
发表文章中的应用
| KD/KO | See 2 publications below |
| WB | See 3 publications below |
产品信息
26115-1-AP targets C1orf103 in WB, IHC, IP, ELISA applications and shows reactivity with human, mouse samples.
| 经测试应用 | WB, IHC, IP, ELISA Application Description |
| 文献引用应用 | WB |
| 经测试反应性 | human, mouse |
| 文献引用反应性 | human |
| 免疫原 |
CatNo: Ag23494 Product name: Recombinant human C1orf103 protein Source: e coli.-derived, PET28a Tag: 6*His Domain: 215-436 aa of BC008115 Sequence: RNDKKDSQGRSNKALHLKSDAEFKKIFGLTKDLRVCLTRIPDHLTSGEGFDSFSSLVKSGTYKETEFMVKEGERKQQNFDKKRKAKTNKKMDHIKKRKTENAYNAIINGEANVTGSQLLSSILPTSDVSQHNILTSHSKTRQEKRTEMEYYTHEKQEKGTLNSNAAYEQSHFFNKNYTEDIFPVTPPELEETIRDEKIRRLKQVLREKEAALEEMRKKMHQK 种属同源性预测 |
| 宿主/亚型 | Rabbit / IgG |
| 抗体类别 | Polyclonal |
| 产品类型 | Antibody |
| 全称 | chromosome 1 open reading frame 103 |
| 别名 | HBiX1, HP1-binding protein enriched in inactive X chromosome protein 1, Ligand-dependent nuclear receptor-interacting factor 1, LRIF1, Receptor interacting factor 1 |
| 观测分子量 | 85 kDa, 27 kDa |
| GenBank蛋白编号 | BC008115 |
| 基因名称 | C1orf103 |
| Gene ID (NCBI) | 55791 |
| RRID | AB_2880387 |
| 偶联类型 | Unconjugated |
| 形式 | Liquid |
| 纯化方式 | Antigen affinity purification |
| UNIPROT ID | Q5T3J3 |
| 储存缓冲液 | PBS with 0.02% sodium azide and 50% glycerol, pH 7.3. |
| 储存条件 | Store at -20°C. Stable for one year after shipment. Aliquoting is unnecessary for -20oC storage. |
实验方案
| Product Specific Protocols | |
|---|---|
| IHC protocol for C1orf103 antibody 26115-1-AP | Download protocol |
| IP protocol for C1orf103 antibody 26115-1-AP | Download protocol |
| WB protocol for C1orf103 antibody 26115-1-AP | Download protocol |
| Standard Protocols | |
|---|---|
| Click here to view our Standard Protocols |
发表文章
| Species | Application | Title |
|---|---|---|
Neurology Homozygous nonsense variant in LRIF1 associated with facioscapulohumeral muscular dystrophy | ||
Commun Biol SMCHD1 and LRIF1 converge at the FSHD-associated D4Z4 repeat and LRIF1 promoter yet display different modes of action
| ||
PLoS Pathog Genome-wide CRISPR screenings identified SMCHD1 as a host-restricting factor for AAV transduction
|





