验证数据展示
经过测试的应用
| Positive WB detected in | HepG2 cells, mouse liver tissue, mouse spleen tissue, Raji cells | 
| Positive IP detected in | HepG2 cells | 
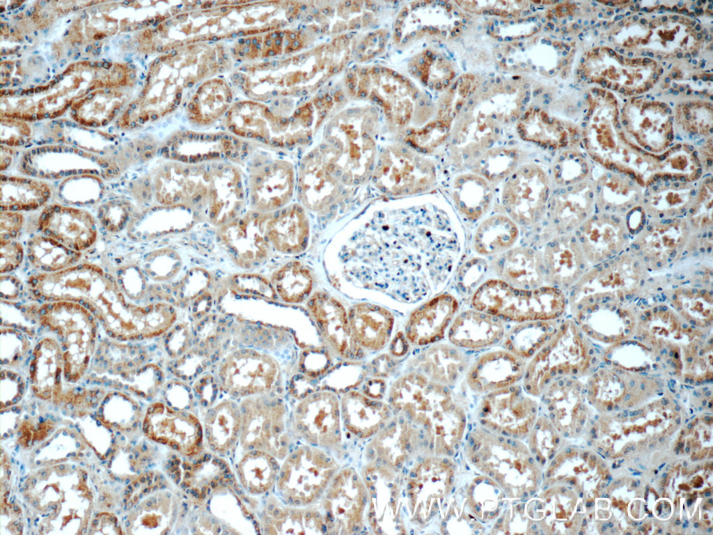
| Positive IHC detected in | human testis tissue,  human kidney tissue Note: suggested antigen retrieval with TE buffer pH 9.0; (*) Alternatively, antigen retrieval may be performed with citrate buffer pH 6.0 | 
| Positive IF/ICC detected in | HEK-293 cells | 
推荐稀释比
| 应用 | 推荐稀释比 | 
|---|---|
| Western Blot (WB) | WB : 1:500-1:1000 | 
| Immunoprecipitation (IP) | IP : 0.5-4.0 ug for 1.0-3.0 mg of total protein lysate | 
| Immunohistochemistry (IHC) | IHC : 1:20-1:200 | 
| Immunofluorescence (IF)/ICC | IF/ICC : 1:200-1:800 | 
| It is recommended that this reagent should be titrated in each testing system to obtain optimal results. | |
| Sample-dependent, Check data in validation data gallery. | |
产品信息
23337-1-AP targets C16orf84 in WB, IHC, IF/ICC, IP, ELISA applications and shows reactivity with human, mouse samples.
| 经测试应用 | WB, IHC, IF/ICC, IP, ELISA Application Description | 
| 经测试反应性 | human, mouse | 
| 免疫原 | CatNo: Ag18428 Product name: Recombinant human C16orf84 protein Source: e coli.-derived, PET28a Tag: 6*His Domain: 165-515 aa of BC125269 Sequence: QELVGSEGAYKAAVDSFLQQQHVLGAGGGPGPTQGEEQPPQPPLDPQNLARPPAPAQTEALSQLFCSVRTLTAKEELLQTLRTHLILHMARAHGYSKVMTGDSCTRLAIKLMTNLALGRGAFLAWDTGFSDERHGDVVVVRPMRDHTLKEVAFYNRLFSVPSVFTPAVDTKAPEKASIHRLMEAFILRLQTQFPSTVSTVYRTSEKLVKGPRDGPAAGDSGPRCLLCMCALDVDAADSATAFGAQTSSRLSQMQSPIPLTETRTPPGPCCSPGVGWAQRCGQGACRREDPQACIEEQLCYSCRVNMKDLPSLDPLPPYILAEAQLRTQRAWGLQEIRDCLIEDSDDEAGQS种属同源性预测 | 
| 宿主/亚型 | Rabbit / IgG | 
| 抗体类别 | Polyclonal | 
| 产品类型 | Antibody | 
| 全称 | chromosome 16 open reading frame 84 | 
| 别名 | UPF0432, NCS2, Cytosolic thiouridylase subunit 2, Cytoplasmic tRNA 2-thiolation protein 2, CTU2 | 
| 计算分子量 | 515 aa, 56 kDa | 
| 观测分子量 | 65-68 kDa | 
| GenBank蛋白编号 | BC125269 | 
| 基因名称 | C16orf84 | 
| Gene ID (NCBI) | 348180 | 
| RRID | AB_2879257 | 
| 偶联类型 | Unconjugated | 
| 形式 | Liquid | 
| 纯化方式 | Antigen affinity purification | 
| UNIPROT ID | Q2VPK5 | 
| 储存缓冲液 | PBS with 0.02% sodium azide and 50% glycerol, pH 7.3. | 
| 储存条件 | Store at -20°C. Stable for one year after shipment. Aliquoting is unnecessary for -20oC storage. | 
背景介绍
Cytoplasmic tRNA 2-thiolation protein 2 (CUT2), also named as C16orf84 or NCS2, is a 515 amino acid protein, which belongs to the CUT2 family. C16orf84 localizes in the cytoplasm and Plays a central role in 2-thiolation of mcm5S2U at tRNA wobble positions of tRNA(Lys), tRNA(Glu) and tRNA(Gln). C16orf84 may act by forming a heterodimer with CTU1/ATPBD3 that ligates sulfur from thio-carboxylated URM1 onto the uridine of tRNAs at wobble position.
实验方案
| Product Specific Protocols | |
|---|---|
| IF protocol for C16orf84 antibody 23337-1-AP | Download protocol | 
| IHC protocol for C16orf84 antibody 23337-1-AP | Download protocol | 
| IP protocol for C16orf84 antibody 23337-1-AP | Download protocol | 
| WB protocol for C16orf84 antibody 23337-1-AP | Download protocol | 
| Standard Protocols | |
|---|---|
| Click here to view our Standard Protocols | 










