验证数据展示
经过测试的应用
| Positive WB detected in | A549 cells, HeLa cells, Calu-1 cells |
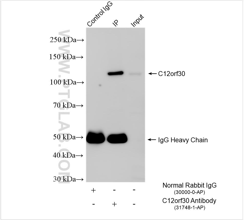
| Positive IP detected in | mouse ovary tissue, HeLa cells |
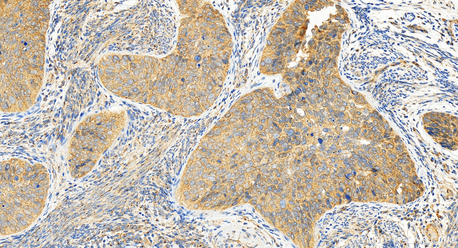
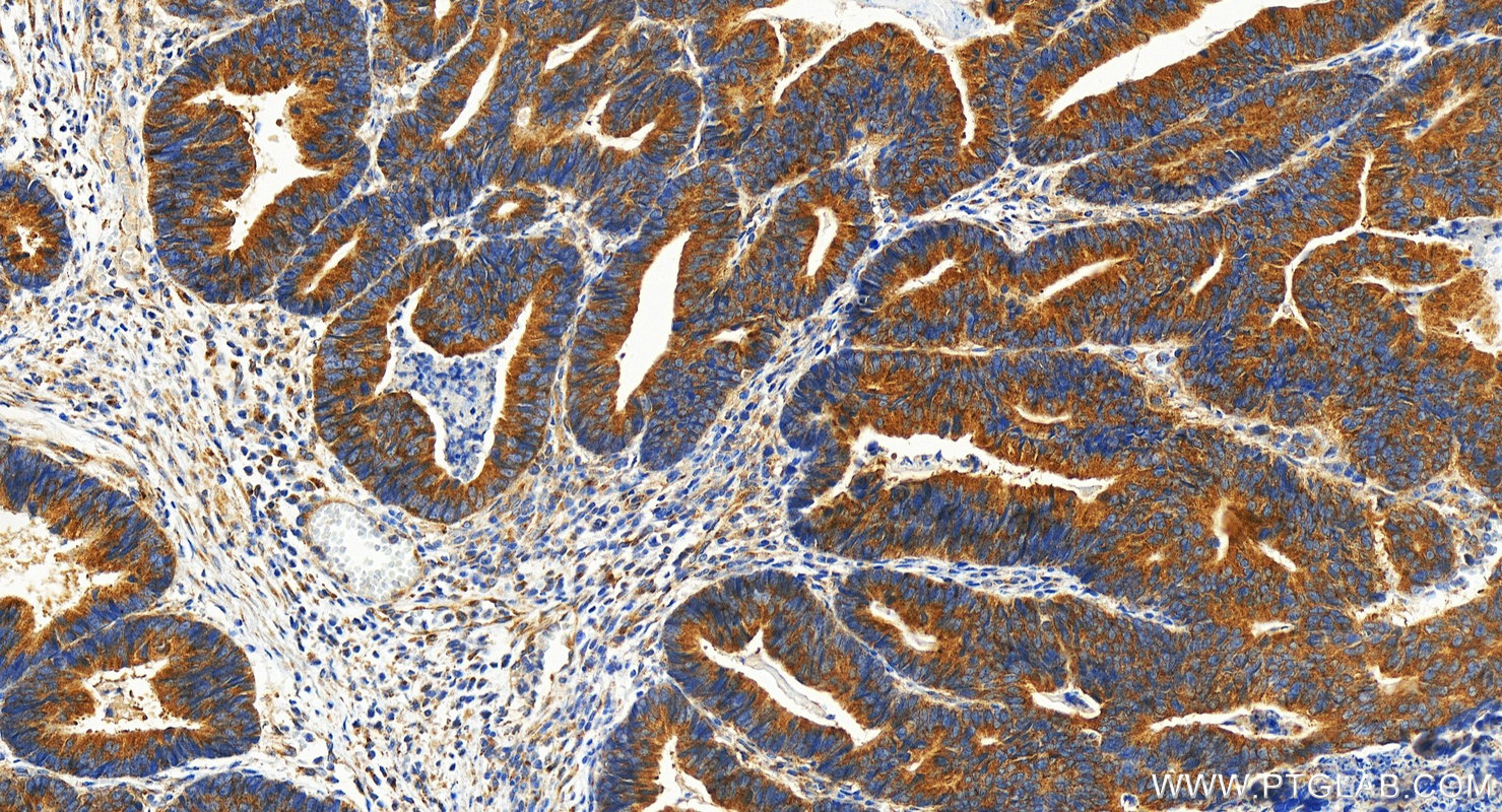
| Positive IHC detected in | human colon cancer tissue, human cervical cancer tissue Note: suggested antigen retrieval with TE buffer pH 9.0; (*) Alternatively, antigen retrieval may be performed with citrate buffer pH 6.0 |
| Positive IF/ICC detected in | A431 cells |
推荐稀释比
| 应用 | 推荐稀释比 |
|---|---|
| Western Blot (WB) | WB : 1:5000-1:50000 |
| Immunoprecipitation (IP) | IP : 0.5-4.0 ug for 1.0-3.0 mg of total protein lysate |
| Immunohistochemistry (IHC) | IHC : 1:1000-1:4000 |
| Immunofluorescence (IF)/ICC | IF/ICC : 1:50-1:500 |
| It is recommended that this reagent should be titrated in each testing system to obtain optimal results. | |
| Sample-dependent, Check data in validation data gallery. | |
产品信息
31748-1-AP targets C12orf30 in WB, IHC, IF/ICC, IP, ELISA applications and shows reactivity with human, mouse samples.
| 经测试应用 | WB, IHC, IF/ICC, IP, ELISA Application Description |
| 经测试反应性 | human, mouse |
| 免疫原 |
CatNo: Ag36383 Product name: Recombinant human C12orf30 protein Source: e coli.-derived, PGEX-4T Tag: GST Domain: 703-972 aa of BC113585 Sequence: LNHPVEPKNSEKTAENGVSSRIDILRLLLQQLEATLETGKRFIEKDIQYPFLGPVPTRMGGFFNSGCSQCQISSFYLVNDIYELDTSGLEDTMEIQERIENSFKSLLDQLKDVFSKCKGDLLEVKDGNLKTHPTLLENLVFFVETISVILWVSSYCESVLRPYKLNLQKKKKKKKETSIIMPPVFTSFQDYVTGLQTLISNVVDHIKGLETHLIALKLEELILEDTSLSPEERKFSKTVQGKVQSSYLHSLLEMGELLKKRLETTKKLKI 种属同源性预测 |
| 宿主/亚型 | Rabbit / IgG |
| 抗体类别 | Polyclonal |
| 产品类型 | Antibody |
| 全称 | chromosome 12 open reading frame 30 |
| 别名 | MDM20, NAA25, N-alpha-acetyltransferase 25, NatB auxiliary subunit, NAP1, N-terminal acetyltransferase B complex subunit MDM20 |
| 观测分子量 | 113 kDa,140 kDa |
| GenBank蛋白编号 | BC113585 |
| 基因名称 | C12orf30 |
| Gene ID (NCBI) | 80018 |
| RRID | AB_3742472 |
| 偶联类型 | Unconjugated |
| 形式 | Liquid |
| 纯化方式 | Antigen affinity Purification |
| UNIPROT ID | Q14CX7 |
| 储存缓冲液 | PBS with 0.02% sodium azide and 50% glycerol, pH 7.3. |
| 储存条件 | Store at -20°C. Stable for one year after shipment. Aliquoting is unnecessary for -20oC storage. |
背景介绍
The C12orf30 gene encodes an auxiliary subunit of the N-terminal acetyltransferase B (NatB) complex, which is responsible for the acetylation of methionine residues at the N-terminus of proteins. The C12orf30 protein plays a role in the distribution and morphology of organelles, and is involved in cell migration and the dynamic changes of the cytoskeleton. In addition, polymorphisms in the C12orf30 gene are associated with susceptibility to various autoimmune diseases, such as rheumatoid arthritis, juvenile idiopathic arthritis, and type 1 diabetes. The C12orf30 protein also participates in regulating the function of immune cells, influencing their signal transduction. The theoretical size of C12orf30 protein is 113 kDa, and it is possible that post-translational modifications may have shifted the protein band up to about 140 kD.
实验方案
| Product Specific Protocols | |
|---|---|
| IF protocol for C12orf30 antibody 31748-1-AP | Download protocol |
| IHC protocol for C12orf30 antibody 31748-1-AP | Download protocol |
| IP protocol for C12orf30 antibody 31748-1-AP | Download protocol |
| WB protocol for C12orf30 antibody 31748-1-AP | Download protocol |
| Standard Protocols | |
|---|---|
| Click here to view our Standard Protocols |






