验证数据展示
经过测试的应用
| Positive WB detected in | HeLa cells |
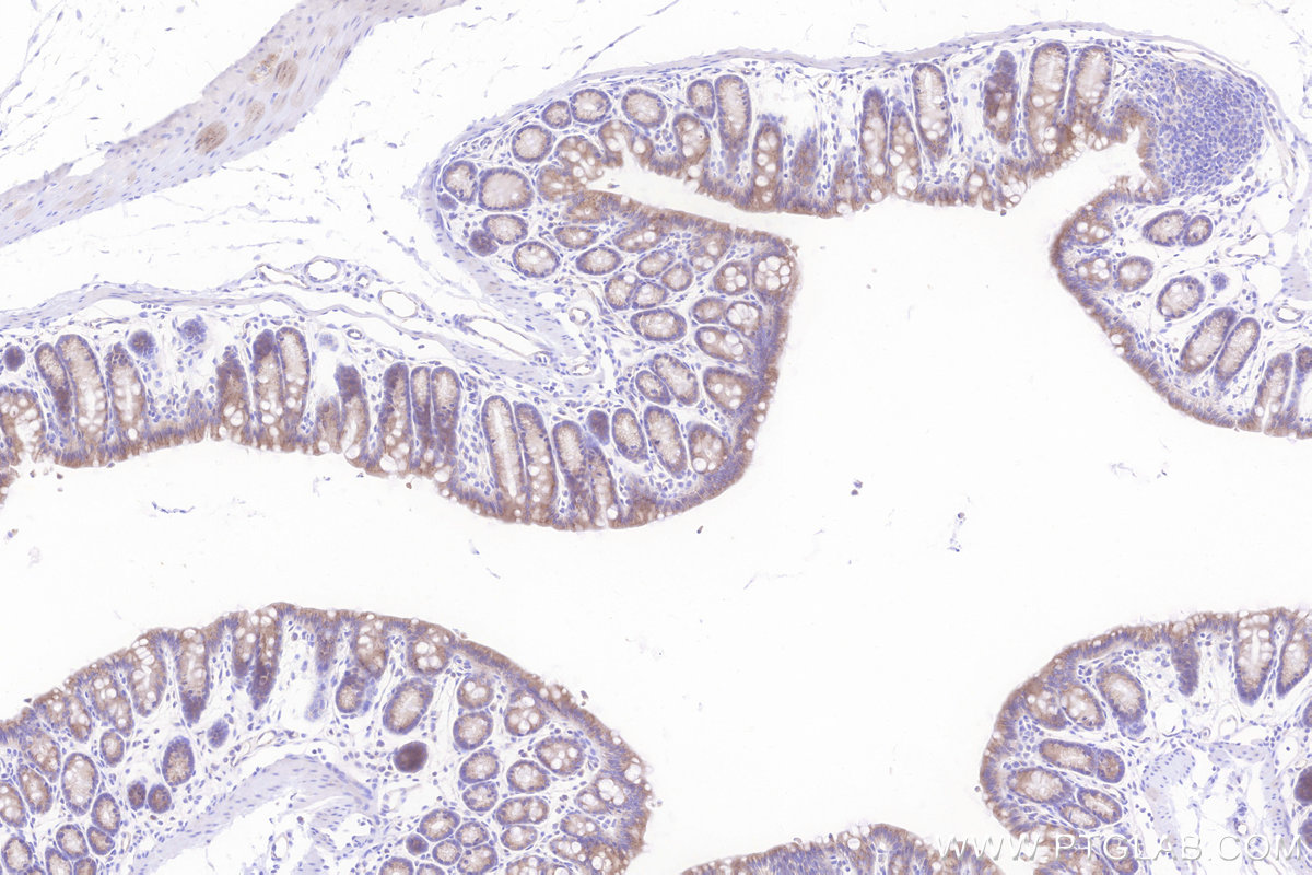
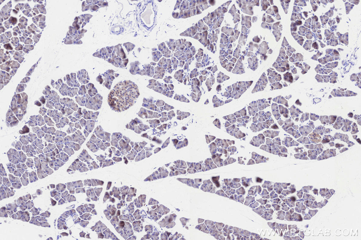
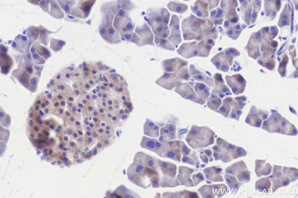
| Positive IHC detected in | mouse colon tissue, mouse pancreas tissue, rat pancreas tissue Note: suggested antigen retrieval with TE buffer pH 9.0; (*) Alternatively, antigen retrieval may be performed with citrate buffer pH 6.0 |
推荐稀释比
| 应用 | 推荐稀释比 |
|---|---|
| Western Blot (WB) | WB : 1:5000-1:50000 |
| Immunohistochemistry (IHC) | IHC : 1:250-1:1000 |
| It is recommended that this reagent should be titrated in each testing system to obtain optimal results. | |
| Sample-dependent, Check data in validation data gallery. | |
产品信息
84708-1-RR targets C12orf29 in WB, IHC, ELISA applications and shows reactivity with human, mouse, rat samples.
| 经测试应用 | WB, IHC, ELISA Application Description |
| 经测试反应性 | human, mouse, rat |
| 免疫原 |
CatNo: Ag35681 Product name: Recombinant human C12orf29 protein Source: e coli.-derived, PGEX-4T Tag: GST Domain: 1-150 aa of NM_001009894.2 Sequence: MKRLGSVQRKMPCVFVTEVKEEPSSKREHQPFKVLATETVSHKALDADIYSAIPTEKVDGTCCYVTTYKDQPYLWARLDRKPNKQAEKRFKNFLHSKENPKEFFWNVEEDFKPAPECWIPAKETEQINGNPVPDENGHIPGWVPVEKNNK 种属同源性预测 |
| 宿主/亚型 | Rabbit / IgG |
| 抗体类别 | Recombinant |
| 产品类型 | Antibody |
| 全称 | chromosome 12 open reading frame 29 |
| 别名 | 242163C3, RNA Ligase, RNA Ligase 1, Rnl |
| 计算分子量 | 37kDa,325aa |
| 观测分子量 | 37 kDa |
| GenBank蛋白编号 | NM_001009894.2 |
| 基因名称 | C12orf29 |
| Gene ID (NCBI) | 91298 |
| RRID | AB_3743670 |
| 偶联类型 | Unconjugated |
| 形式 | Liquid |
| 纯化方式 | Protein A purification |
| UNIPROT ID | Q8N999 |
| 储存缓冲液 | PBS with 0.02% sodium azide and 50% glycerol, pH 7.3. |
| 储存条件 | Store at -20°C. Stable for one year after shipment. Aliquoting is unnecessary for -20oC storage. |
背景介绍
C12orf29, also known as RLIG1, is a 37 kDa human protein consisting of 325 amino acids. It catalyzes ATP-dependent RNA ligation via a three-step mechanism involving tandem auto- and RNA AMPylation (PMID: 36792600).
实验方案
| Product Specific Protocols | |
|---|---|
| IHC protocol for C12orf29 antibody 84708-1-RR | Download protocol |
| WB protocol for C12orf29 antibody 84708-1-RR | Download protocol |
| Standard Protocols | |
|---|---|
| Click here to view our Standard Protocols |






