验证数据展示
经过测试的应用
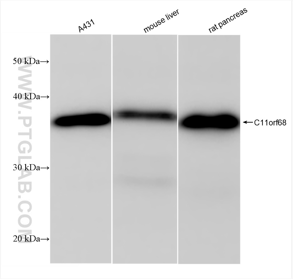
| Positive WB detected in | A431 cells, mouse liver tissue, rat pancreas tissue |
推荐稀释比
| 应用 | 推荐稀释比 |
|---|---|
| Western Blot (WB) | WB : 1:2000-1:12000 |
| It is recommended that this reagent should be titrated in each testing system to obtain optimal results. | |
| Sample-dependent, Check data in validation data gallery. | |
产品信息
84725-4-RR targets C11orf68 in WB, ELISA applications and shows reactivity with human, mouse, rat samples.
| 经测试应用 | WB, ELISA Application Description |
| 经测试反应性 | human, mouse, rat |
| 免疫原 |
CatNo: Ag36023 Product name: Recombinant human C11orf68 protein Source: e coli.-derived, PGEX-4T Tag: GST Domain: 1-251 aa of BC010512 Sequence: MEPGEELEEEGSPGGREDGFTAEHLAAEAMAADMDPWLVFDARTTPATELDAWLAKYPPSQVTRYGDPGSPNSEPVGWIAVYGQGYSPNSGDVQGLQAAWEALQTSGRPITPGTLRQLAITHHVLSGKWLMHLAPGFKLDHAWAGIARAVVEGRLQVAKVSPRAKEGGRQVICVYTDDFTDRLGVLEADSAIRAAGIKCLLTYKPDVYTYLGIYRANRWHLCPTLYESRFQLGGSARGSRVLDRANNVELT 种属同源性预测 |
| 宿主/亚型 | Rabbit / IgG |
| 抗体类别 | Recombinant |
| 产品类型 | Antibody |
| 全称 | chromosome 11 open reading frame 68 |
| 别名 | 242221F8, BLES03, P5326, Protein p5326, UPF0696 protein C11orf68 |
| 观测分子量 | 35 kDa |
| GenBank蛋白编号 | BC010512 |
| 基因名称 | C11orf68 |
| Gene ID (NCBI) | 83638 |
| RRID | AB_3743685 |
| 偶联类型 | Unconjugated |
| 形式 | Liquid |
| 纯化方式 | Protein A purfication |
| UNIPROT ID | Q9H3H3 |
| 储存缓冲液 | PBS with 0.02% sodium azide and 50% glycerol, pH 7.3. |
| 储存条件 | Store at -20°C. Stable for one year after shipment. Aliquoting is unnecessary for -20oC storage. |
背景介绍
BLES03 (basophilic leukemia-expressed protein 03) is a human protein of unknown function. Recent studies have shown that BLES03 is a novel eukaryotic phosphothreonine cleavage enzyme involved in the biosynthesis of dehydrogenated amino acids.The crystal structure of BLES03 has been resolved by single-wavelength anomalous scattering (SAD) with a resolution of 2.5 Å.
实验方案
| Product Specific Protocols | |
|---|---|
| WB protocol for C11orf68 antibody 84725-4-RR | Download protocol |
| Standard Protocols | |
|---|---|
| Click here to view our Standard Protocols |


