验证数据展示
经过测试的应用
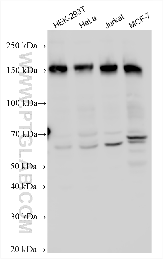
| Positive WB detected in | HEK-293T cells, Jurkat cells, HeLa cells, MCF-7 cells |
| Positive IF/ICC detected in | MCF-7 cells |
推荐稀释比
| 应用 | 推荐稀释比 |
|---|---|
| Western Blot (WB) | WB : 1:500-1:1000 |
| Immunofluorescence (IF)/ICC | IF/ICC : 1:300-1:1200 |
| It is recommended that this reagent should be titrated in each testing system to obtain optimal results. | |
| Sample-dependent, Check data in validation data gallery. | |
发表文章中的应用
| KD/KO | See 1 publications below |
| WB | See 2 publications below |
| IHC | See 2 publications below |
产品信息
26212-1-AP targets C11orf30 in WB, IHC, IF/ICC, ELISA applications and shows reactivity with human samples.
| 经测试应用 | WB, IF/ICC, ELISA Application Description |
| 文献引用应用 | WB, IHC |
| 经测试反应性 | human |
| 文献引用反应性 | human |
| 免疫原 |
CatNo: Ag23974 Product name: Recombinant human C11orf30 protein Source: e coli.-derived, PGEX-4T Tag: GST Domain: 21-171 aa of BC029375 Sequence: KKALATSMLTGEAGSLPSTHMVVAGMANSTPQQQKCRESCSSPSTVGSSLTTRKIDPPAVPATGQFMRIQNVGQKKAEESPAEIIIQAIPQYAIPCHSSSNVVVEPSGLLELNNFTSQQLDDEETAMEQDIDSSTEDGTEPSPSQSSAERS 种属同源性预测 |
| 宿主/亚型 | Rabbit / IgG |
| 抗体类别 | Polyclonal |
| 产品类型 | Antibody |
| 全称 | chromosome 11 open reading frame 30 |
| 别名 | BRCA2-interacting transcriptional repressor EMSY, EMSY, GL002, Protein EMSY |
| 观测分子量 | 140-150 kDa |
| GenBank蛋白编号 | BC029375 |
| 基因名称 | C11orf30 |
| Gene ID (NCBI) | 56946 |
| RRID | AB_2880429 |
| 偶联类型 | Unconjugated |
| 形式 | Liquid |
| 纯化方式 | Antigen affinity purification |
| UNIPROT ID | Q7Z589 |
| 储存缓冲液 | PBS with 0.02% sodium azide and 50% glycerol, pH 7.3. |
| 储存条件 | Store at -20°C. Stable for one year after shipment. Aliquoting is unnecessary for -20oC storage. |
实验方案
| Product Specific Protocols | |
|---|---|
| IF protocol for C11orf30 antibody 26212-1-AP | Download protocol |
| WB protocol for C11orf30 antibody 26212-1-AP | Download protocol |
| Standard Protocols | |
|---|---|
| Click here to view our Standard Protocols |


