验证数据展示
产品信息
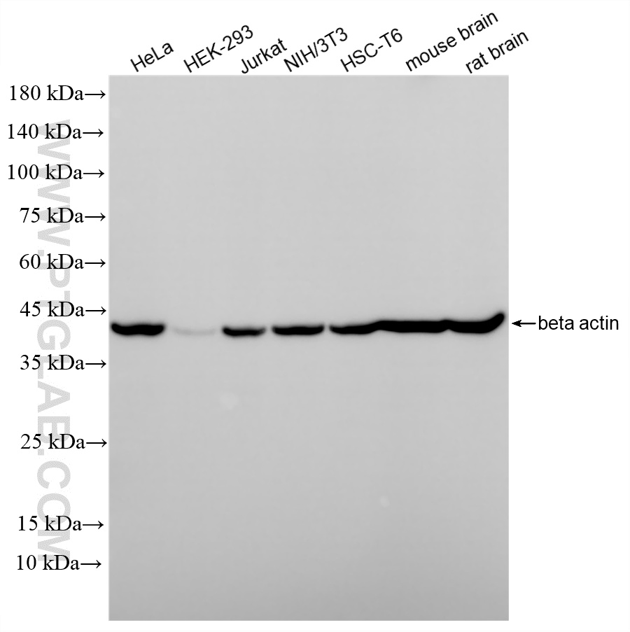
81119-1-PBS targets Beta Actin in WB, IF/ICC, Indirect ELISA applications and shows reactivity with human, mouse, rat samples.
| 经测试应用 | WB, IF/ICC, Indirect ELISA Application Description |
| 经测试反应性 | human, mouse, rat |
| 免疫原 |
CatNo: Ag14521 Product name: Recombinant human beta actin protein Source: e coli.-derived, PGEX-4T Tag: GST Domain: 1-50 aa of BC002409 Sequence: MDDDIAALVVDNGSGMCKAGFAGDDAPRAVFPSIVGRPRHQGVMVGMGQK 种属同源性预测 |
| 宿主/亚型 | Rabbit / IgG |
| 抗体类别 | Recombinant |
| 产品类型 | Antibody |
| 全称 | actin, beta |
| 别名 | ACTB, Actin, bate actin, β actin, Actin cytoplasmic 1 |
| 计算分子量 | 375 aa, 42 kDa |
| 观测分子量 | 42 kDa |
| GenBank蛋白编号 | BC002409 |
| 基因名称 | Beta Actin |
| Gene ID (NCBI) | 60 |
| RRID | AB_3743366 |
| 偶联类型 | Unconjugated |
| 形式 | Liquid |
| 纯化方式 | Protein A purification |
| UNIPROT ID | P60709 |
| 储存缓冲液 | PBS only, pH 7.3. |
| 储存条件 | Store at -80°C. The product is shipped with ice packs. Upon receipt, store it immediately at -80°C |
背景介绍
Beta Actin, a 42-kDa protein encoded by the ACTB gene, is a highly conserved, ubiquitous protein that forms microfilaments, making it a major component of the cell's cytoskeleton and contractile apparatus. It plays essential roles in cell structure, growth, motility, and intracellular transport, and it's also involved in gene expression regulation by associating with chromatin remodeling complexes. Due to its stable and constitutive expression across different tissues and under most experimental conditions, beta-actin is extensively utilized as an internal loading control in molecular biology techniques, including Western blotting, quantitative PCR (qPCR), and immunohistochemistry, for normalizing gene and protein expression data. Based on epitope identification, this antibody specifically recognizes ACTB and does not exhibit cross-reactivity with ACTA1/ACTA2.

