验证数据展示
经过测试的应用
| Positive WB detected in | A431 cells, HepG2 cells, Raji cells, U-937 cells, Jurkat cells |
| Positive IP detected in | A431 cells |
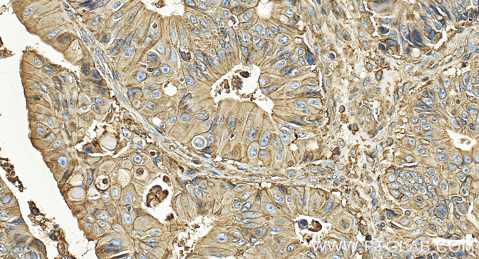
| Positive IHC detected in | human tonsillitis tissue, human colon cancer tissue Note: suggested antigen retrieval with TE buffer pH 9.0; (*) Alternatively, antigen retrieval may be performed with citrate buffer pH 6.0 |
推荐稀释比
| 应用 | 推荐稀释比 |
|---|---|
| Western Blot (WB) | WB : 1:5000-1:50000 |
| Immunoprecipitation (IP) | IP : 0.5-4.0 ug for 1.0-3.0 mg of total protein lysate |
| Immunohistochemistry (IHC) | IHC : 1:400-1:1600 |
| It is recommended that this reagent should be titrated in each testing system to obtain optimal results. | |
| Sample-dependent, Check data in validation data gallery. | |
产品信息
83683-6-RR targets Beta-2-Microglobulin in WB, IHC, IP, ELISA applications and shows reactivity with human samples.
| 经测试应用 | WB, IHC, IP, ELISA Application Description |
| 经测试反应性 | human |
| 免疫原 |
CatNo: Ag4433 Product name: Recombinant human B2M protein Source: e coli.-derived, PGEX-4T Tag: GST Domain: 22-119 aa of BC032589 Sequence: QRTPKIQVYSRHPAENGKSNFLNCYVSGFHPSDIEVDLLKNGERIEKVEHSDLSFSKDWSFYLLYYTEFTPTEKDEYACRVNHVTLSQPKIVKWDRDM 种属同源性预测 |
| 宿主/亚型 | Rabbit / IgG |
| 抗体类别 | Recombinant |
| 产品类型 | Antibody |
| 全称 | beta-2-microglobulin |
| 别名 | B2M, 240660A12, beta 2 microglobulin, beta 2-Microglobulin, Beta-2-microglobulin form pI 5.3 |
| 计算分子量 | 119 aa, 14 kDa |
| 观测分子量 | 12 kDa |
| GenBank蛋白编号 | BC032589 |
| 基因名称 | B2M |
| Gene ID (NCBI) | 567 |
| ENSEMBL Gene ID | ENSG00000166710 |
| RRID | AB_3671284 |
| 偶联类型 | Unconjugated |
| 形式 | Liquid |
| 纯化方式 | Protein A purfication |
| UNIPROT ID | P61769 |
| 储存缓冲液 | PBS with 0.02% sodium azide and 50% glycerol, pH 7.3. |
| 储存条件 | Store at -20°C. Stable for one year after shipment. Aliquoting is unnecessary for -20oC storage. |
背景介绍
Beta-2-microglobulin (B2M) is a component of MHC class I molecules, which are present on the surface of nearly all nucleated cells. It can be found in body fluids under physiologic conditions due to shedding from cell surfaces or intracellular release. B2M has various biological functions, including antigen presentation. Investigations reveal that increased synthesis and release of B2M are present in several malignant diseases.
实验方案
| Product Specific Protocols | |
|---|---|
| IHC protocol for Beta-2-Microglobulin antibody 83683-6-RR | Download protocol |
| IP protocol for Beta-2-Microglobulin antibody 83683-6-RR | Download protocol |
| WB protocol for Beta-2-Microglobulin antibody 83683-6-RR | Download protocol |
| Standard Protocols | |
|---|---|
| Click here to view our Standard Protocols |






