验证数据展示
经过测试的应用
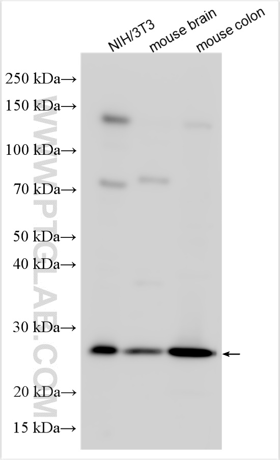
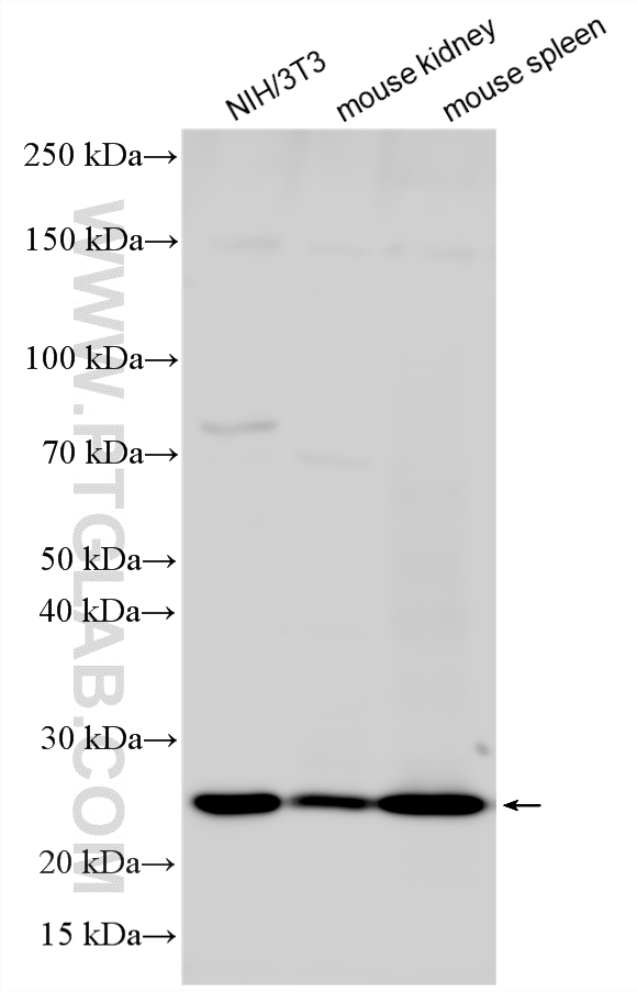
| Positive WB detected in | NIH/3T3 cells, C2C12 cells, mouse brain tissue, mouse heart tissue, mouse testis tissue, mouse kidney tissue, mouse spleen tissue, rat spleen tissue, rat spleen tissue., rat kidney tissue, rat testis tissue, mouse colon tissue |
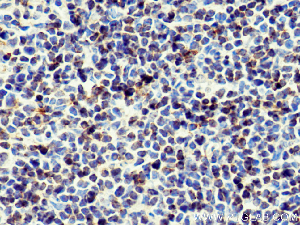
| Positive IHC detected in | mouse spleen tissue, mouse brain tissue Note: suggested antigen retrieval with TE buffer pH 9.0; (*) Alternatively, antigen retrieval may be performed with citrate buffer pH 6.0 |
| Positive FC (Intra) detected in | NIH/3T3 cells |
推荐稀释比
| 应用 | 推荐稀释比 |
|---|---|
| Western Blot (WB) | WB : 1:500-1:3000 |
| Immunohistochemistry (IHC) | IHC : 1:200-1:800 |
| Flow Cytometry (FC) (INTRA) | FC (INTRA) : 0.25 ug per 10^6 cells in a 100 µl suspension |
| It is recommended that this reagent should be titrated in each testing system to obtain optimal results. | |
| Sample-dependent, Check data in validation data gallery. | |
产品信息
26593-1-AP targets Bcl2 in WB, IHC, IF, FC (Intra), CoIP, ELISA applications and shows reactivity with mouse, rat samples.
| 经测试应用 | WB, IHC, FC (Intra), ELISA Application Description |
| 文献引用应用 | WB, IHC, IF, CoIP |
| 经测试反应性 | mouse, rat |
| 文献引用反应性 | mouse, rat, pig, rabbit, canine, chicken, bovine, hamster, duck |
| 免疫原 |
CatNo: Ag24260 Product name: Recombinant mouse Bcl2 protein Source: e coli.-derived, PGEX-4T Tag: GST Domain: 1-236 aa of NM-009741 Sequence: MAQAGRTGYDNREIVMKYIHYKLSQRGYEWDAGDADAAPLGAAPTPGIFSFQPESNPMPAVHRDMAARTSPLRPLVATAGPALSPVPPVVHLTLRRAGDDFSRRYRRDFAEMSSQLHLTPFTARGRFATVVEELFRDGVNWGRIVAFFEFGGVMCVESVNREMSPLVDNIALWMTEYLNRHLHTWIQDNGGWDAFVELYGPSMRPLFDFSWLSLKTLLSLALVGACITLGAYLGHK 种属同源性预测 |
| 宿主/亚型 | Rabbit / IgG |
| 抗体类别 | Polyclonal |
| 产品类型 | Antibody |
| 全称 | B-cell leukemia/lymphoma 2 |
| 别名 | Bcl-2, B cell leukemia/lymphoma 2, Bcl 2 |
| 计算分子量 | 26 kDa |
| 观测分子量 | 26 kDa |
| GenBank蛋白编号 | NM-009741 |
| 基因名称 | Bcl2 |
| Gene ID (NCBI) | 12043 |
| RRID | AB_2818996 |
| 偶联类型 | Unconjugated |
| 形式 | Liquid |
| 纯化方式 | Antigen affinity purification |
| UNIPROT ID | P10417 |
| 储存缓冲液 | PBS with 0.02% sodium azide and 50% glycerol, pH 7.3. |
| 储存条件 | Store at -20°C. Stable for one year after shipment. Aliquoting is unnecessary for -20oC storage. |
背景介绍
1. What is Bcl-2?
Bcl-2 (B-cell lymphoma 2) is an outer mitochondrial membrane protein that via heterodimerization with BAX proteins controls apoptosis. Abnormalities of Bcl-2 activity can lead to cancer, autoimmune diseases, and schizophrenia.
2. FAQs for Bcl-2
How to measure Bcl-2 and Bax apoptotic markers by western blotting
Generally, Bcl-2 protein is considered to have anti-apoptotic activity, while Bax has apoptotic activity. Comparing the ratio between Bcl-2 and Bax protein levels in different samples or cells subjected to treatments can reflect the apoptotic state of the cells. Expression of Bax can vary between cell lines and it is important to compare it to Bcl-2 levels.
What band size should I expect in western blotting for Bcl-2?
The molecular weight of Bcl-2 is 26 kDa.
实验方案
| Product Specific Protocols | |
|---|---|
| FC protocol for Bcl2 antibody 26593-1-AP | Download protocol |
| IF protocol for Bcl2 antibody 26593-1-AP | Download protocol |
| IHC protocol for Bcl2 antibody 26593-1-AP | Download protocol |
| WB protocol for Bcl2 antibody 26593-1-AP | Download protocol |
| Standard Protocols | |
|---|---|
| Click here to view our Standard Protocols |
发表文章
| Species | Application | Title |
|---|---|---|
ACS Nano Melatonin-Derived Carbon Dots with Free Radical Scavenging Property for Effective Periodontitis Treatment via the Nrf2/HO-1 Pathway | ||
ACS Nano Dual Strategies Based on Golgi Apparatus/Endoplasmic Reticulum Targeting and Anchoring for High-Efficiency siRNA Delivery and Tumor RNAi Therapy
| ||
Acta Pharm Sin B Honokiol alleviated neurodegeneration by reducing oxidative stress and improving mitochondrial function in mutant SOD1 cellular and mouse models of amyotrophic lateral sclerosis | ||
Cell Rep Med Microneedle delivery of CAR-M-like engineered macrophages alleviates intervertebral disc degeneration through enhanced efferocytosis capacity | ||
Redox Biol Protective role of vitamin D receptor against mitochondrial calcium overload from PM2.5-Induced injury in renal tubular cells | ||
Redox Biol FUT2-dependent fucosylation of HYOU1 protects intestinal stem cells against inflammatory injury by regulating unfolded protein response |
















