验证数据展示
经过测试的应用
| Positive WB detected in | HEK-293T cells, MCF-7 cells, C6 cells | 
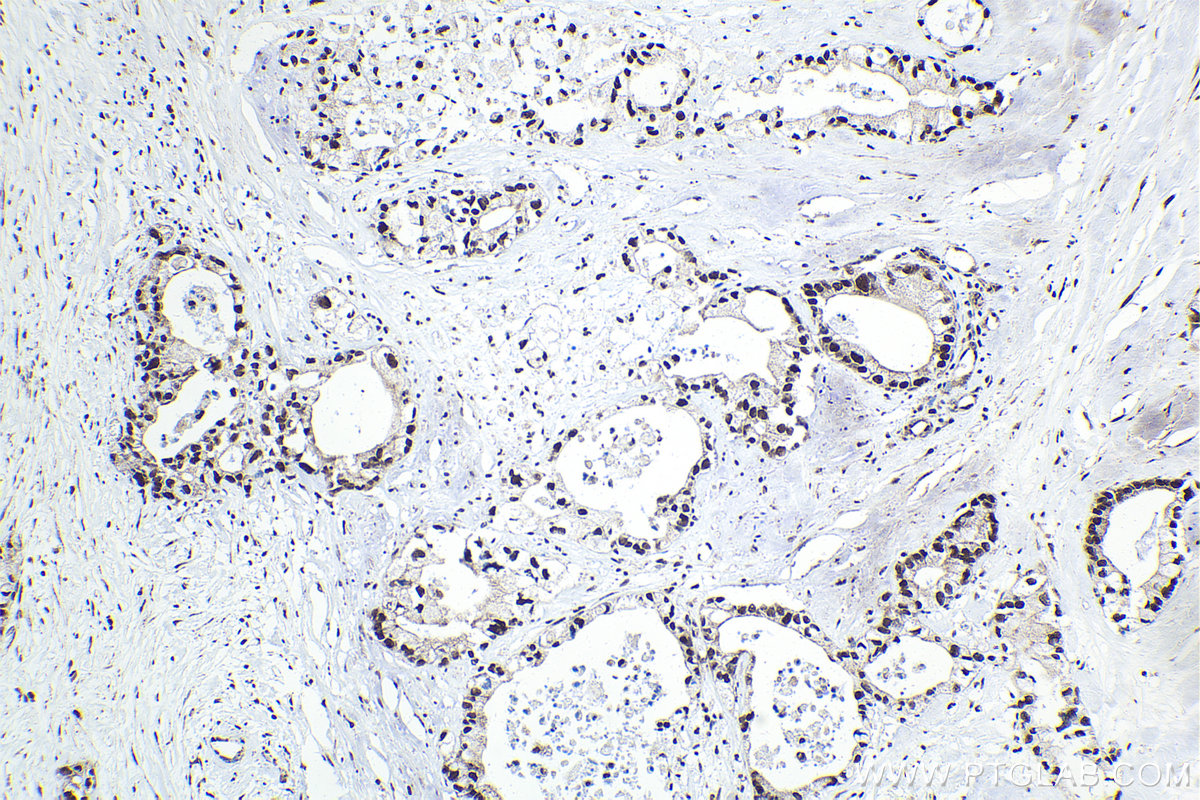
| Positive IHC detected in | human pancreas cancer tissue Note: suggested antigen retrieval with TE buffer pH 9.0; (*) Alternatively, antigen retrieval may be performed with citrate buffer pH 6.0  | 
推荐稀释比
| 应用 | 推荐稀释比 | 
|---|---|
| Western Blot (WB) | WB : 1:1000-1:4000 | 
| Immunohistochemistry (IHC) | IHC : 1:1000-1:4000 | 
| It is recommended that this reagent should be titrated in each testing system to obtain optimal results. | |
| Sample-dependent, Check data in validation data gallery. | |
发表文章中的应用
| WB | See 4 publications below | 
产品信息
27073-1-AP targets BUB3 in WB, IHC, ELISA applications and shows reactivity with human, rat samples.
| 经测试应用 | WB, IHC, ELISA Application Description | 
| 文献引用应用 | WB | 
| 经测试反应性 | human, rat | 
| 文献引用反应性 | human | 
| 免疫原 | 
                                             CatNo: Ag25608 Product name: Recombinant human BUB3 protein Source: e coli.-derived, PGEX-4T Tag: GST Domain: 205-328 aa of BC005138 Sequence: VEYLDPSPEVQKKKYAFKCHRLKENNIEQIYPVNAISFHNIHNTFATGGSDGFVNIWDPFNKKRLCQFHRYPTSIASLAFSNDGTTLAIASSYMYEMDDTEHPEDGIFIRQVTDAETKPKSPCT 种属同源性预测 | 
                                    
| 宿主/亚型 | Rabbit / IgG | 
| 抗体类别 | Polyclonal | 
| 产品类型 | Antibody | 
| 全称 | budding uninhibited by benzimidazoles 3 homolog (yeast) | 
| 别名 | BUB3, BUB3L, hBUB3 | 
| 计算分子量 | 37 kDa | 
| 观测分子量 | 37-40 kDa | 
| GenBank蛋白编号 | BC005138 | 
| 基因名称 | BUB3 | 
| Gene ID (NCBI) | 9184 | 
| RRID | AB_2880743 | 
| 偶联类型 | Unconjugated | 
| 形式 | Liquid | 
| 纯化方式 | Antigen affinity purification | 
| UNIPROT ID | O43684 | 
| 储存缓冲液 | PBS with 0.02% sodium azide and 50% glycerol, pH 7.3. | 
| 储存条件 | Store at -20°C. Stable for one year after shipment. Aliquoting is unnecessary for -20oC storage. | 
实验方案
| Product Specific Protocols | |
|---|---|
| IHC protocol for BUB3 antibody 27073-1-AP | Download protocol | 
| WB protocol for BUB3 antibody 27073-1-AP | Download protocol | 
| Standard Protocols | |
|---|---|
| Click here to view our Standard Protocols | 
发表文章
| Species | Application | Title | 
|---|---|---|
Nat Commun DNA replication initiation factor RECQ4 possesses a role in antagonizing DNA replication initiation | ||
J Oncol CDCA3 Predicts Poor Prognosis and Affects CD8+ T Cell Infiltration in Renal Cell Carcinoma | ||
J Biomed Sci BUB1B monoallelic germline variants contribute to prostate cancer predisposition by triggering chromosomal instability | 


