验证数据展示
产品信息
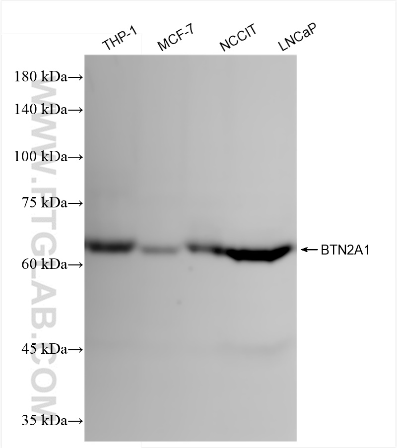
84550-1-PBS targets BTN2A1 in WB, Indirect ELISA applications and shows reactivity with human samples.
| 经测试应用 | WB, Indirect ELISA Application Description |
| 经测试反应性 | human |
| 免疫原 |
Fusion Protein 种属同源性预测 |
| 宿主/亚型 | Rabbit / IgG |
| 抗体类别 | Recombinant |
| 产品类型 | Antibody |
| 全称 | butyrophilin, subfamily 2, member A1 |
| 别名 | BTF1, BT2.1, 241540F10 |
| 计算分子量 | 60 kDa |
| 观测分子量 | 65 kDa |
| GenBank蛋白编号 | BC016661 |
| 基因名称 | BTN2A1 |
| Gene ID (NCBI) | 11120 |
| RRID | AB_3672057 |
| 偶联类型 | Unconjugated |
| 形式 | Liquid |
| 纯化方式 | Protein A purfication |
| UNIPROT ID | Q7KYR7 |
| 储存缓冲液 | PBS only, pH 7.3. |
| 储存条件 | Store at -80°C. The product is shipped with ice packs. Upon receipt, store it immediately at -80°C |
背景介绍
BTN2A1, also named as BT2.1, BTF1 is a 527 amino acid protein, which belongs to the immunoglobulin superfamily. BTN2A1 is highly expressed in brain, bone marrow, small intestine, muscle, spleen and pancreas and moderate expression was seen in lung, liver and kidney. The calcualted molecular weight of BTN2A1 is 59 kDa, but glycosylation of BTN2A1 is about 65-69 kDa. (PMID: 17785817)


