验证数据展示
经过测试的应用
| Positive WB detected in | mouse brain tissue, rat brain tissue |
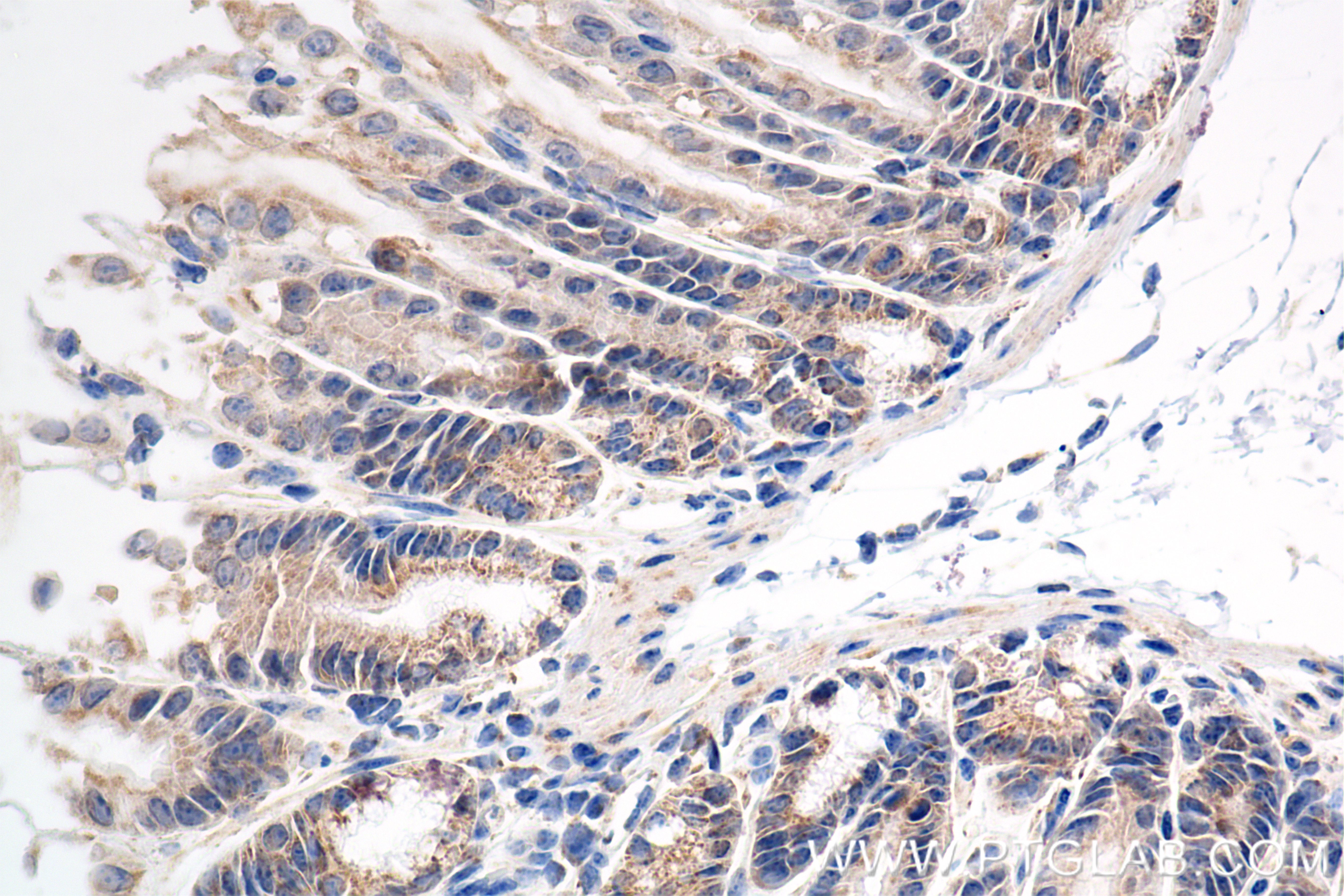
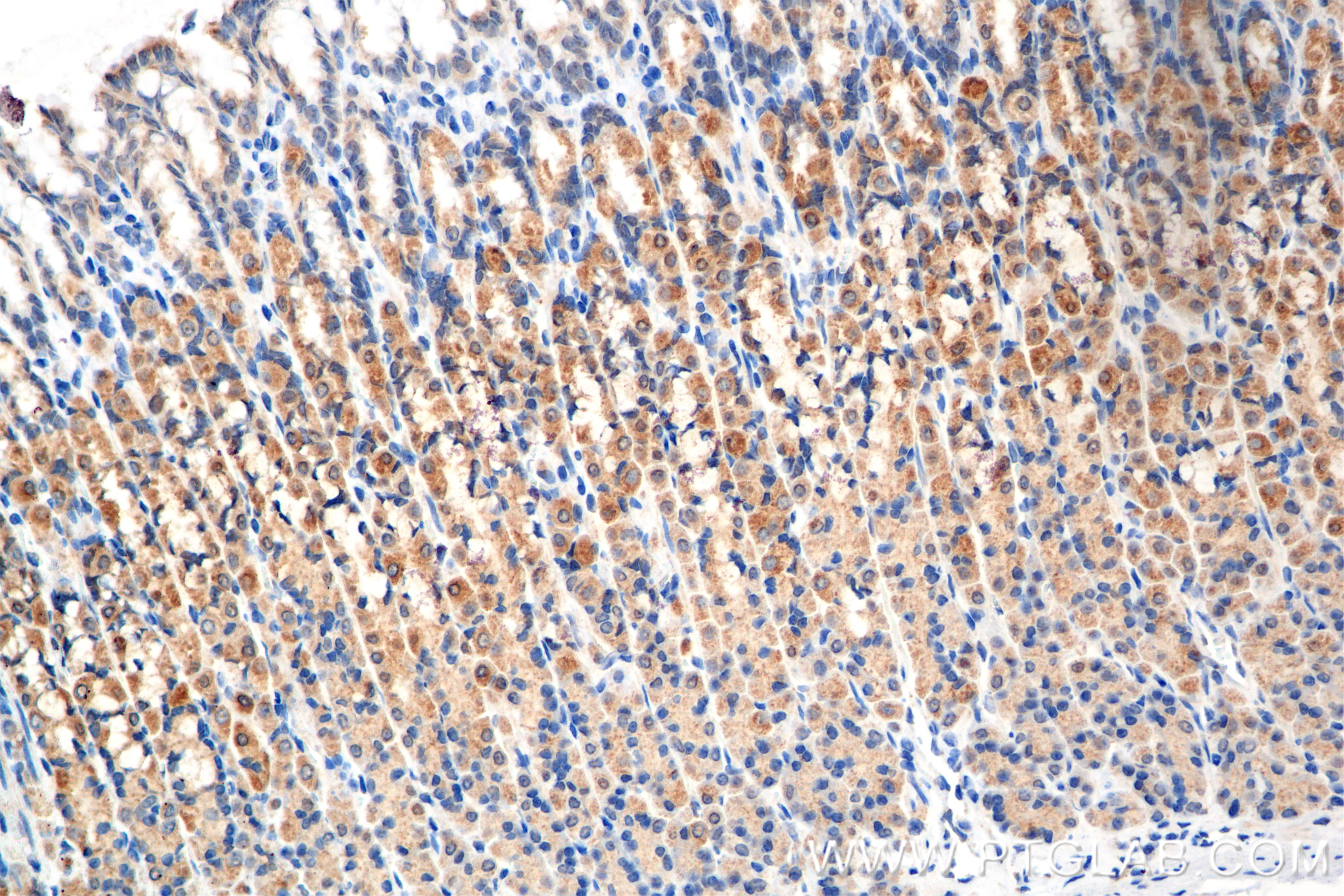
| Positive IHC detected in | rat stomach tissue, mouse stomach tissue Note: suggested antigen retrieval with TE buffer pH 9.0; (*) Alternatively, antigen retrieval may be performed with citrate buffer pH 6.0 |
推荐稀释比
| 应用 | 推荐稀释比 |
|---|---|
| Western Blot (WB) | WB : 1:5000-1:50000 |
| Immunohistochemistry (IHC) | IHC : 1:400-1:1600 |
| It is recommended that this reagent should be titrated in each testing system to obtain optimal results. | |
| Sample-dependent, Check data in validation data gallery. | |
产品信息
86462-1-RR targets BRSK1 in WB, IHC, ELISA applications and shows reactivity with human, mouse, rat samples.
| 经测试应用 | WB, IHC, ELISA Application Description |
| 经测试反应性 | human, mouse, rat |
| 免疫原 |
CatNo: Ag3357 Product name: Recombinant human BRSK1 protein Source: e coli.-derived, PGEX-4T Tag: GST Domain: 475-778 aa of BC016681 Sequence: TQTLPSRGPRGGGAGEQPPPPSARSTPLPGPPGSPRSSGGTPLHSPLHTPRASPTGTPGTTPPPSPGGGVGGAAWRSRLNSIRNSFLGSPRFHRRKMQVPTAEEMSSLTPESSPELAKRSWFGNFISLDKEEQIFLVLKDKPLSSIKADIVHAFLSIPSLSHSVLSQTSFRAEYKASGGPSVFQKPVRFQVDISSSEGPEPSPRRDGSGGGGIYSVTFTLISGPSRRFKRVVETIQAQLLSTHDQPSVQALADEKNGAQTRPAGAPPRSLQPPPGRPDPELSSSPRRAPPKDKKLLATNGTPLP 种属同源性预测 |
| 宿主/亚型 | Rabbit / IgG |
| 抗体类别 | Recombinant |
| 产品类型 | Antibody |
| 全称 | BR serine/threonine kinase 1 |
| 别名 | BR serine/threonine kinase 1, BR serine/threonine-protein kinase 1, Brain-selective kinase 1, Brain-specific serine/threonine-protein kinase 1, EC:2.7.11.1 |
| 计算分子量 | 87 kDa |
| 观测分子量 | 85-90 kDa |
| GenBank蛋白编号 | BC016681 |
| 基因名称 | BRSK1 |
| Gene ID (NCBI) | 84446 |
| RRID | AB_3744902 |
| 偶联类型 | Unconjugated |
| 形式 | Liquid |
| 纯化方式 | Protein A purification |
| UNIPROT ID | Q8TDC3 |
| 储存缓冲液 | PBS with 0.02% sodium azide and 50% glycerol, pH 7.3. |
| 储存条件 | Store at -20°C. Stable for one year after shipment. Aliquoting is unnecessary for -20oC storage. |
背景介绍
BRSK1(Brain-specific serine/threonine-protein kinase 1) is also named as KIAA1811, SAD1, SADB and belongs to the SNF1 subfamily. BRSKs are crucial for establishing neuronal polarity, and BRSK1 has also been shown to regulate neurotransmitter release presynaptically. BRSK1 is a serine-threonine kinases specifically expressed in the brain, and activated by LKB1-mediated phosphorylation of a threonine residue at their T-loop. (PMID:22020259). It has 3 isoforms produced by alternative splicing.
实验方案
| Product Specific Protocols | |
|---|---|
| IHC protocol for BRSK1 antibody 86462-1-RR | Download protocol |
| WB protocol for BRSK1 antibody 86462-1-RR | Download protocol |
| Standard Protocols | |
|---|---|
| Click here to view our Standard Protocols |




