验证数据展示
经过测试的应用
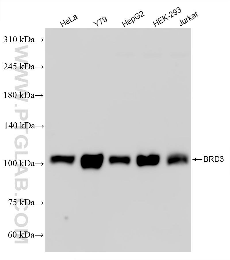
| Positive WB detected in | HeLa cells, NIH/3T3 cells, Y79 cells, HepG2 cells, HEK-293 cells, Jurkat cells |
| Positive IF/ICC detected in | HeLa cells |
推荐稀释比
| 应用 | 推荐稀释比 |
|---|---|
| Western Blot (WB) | WB : 1:500-1:2000 |
| Immunofluorescence (IF)/ICC | IF/ICC : 1:250-1:1000 |
| It is recommended that this reagent should be titrated in each testing system to obtain optimal results. | |
| Sample-dependent, Check data in validation data gallery. | |
产品信息
87030-3-RR targets BRD3 in WB, IF/ICC, ELISA applications and shows reactivity with human, mouse samples.
| 经测试应用 | WB, IF/ICC, ELISA Application Description |
| 经测试反应性 | human, mouse |
| 免疫原 |
CatNo: Ag2433 Product name: Recombinant human BRD3 protein Source: e coli.-derived, PGEX-4T Tag: GST Domain: 1-400 aa of BC032124 Sequence: MSTATTVAPAGIPATPGPVNPPPPEVSNPSKPGRKTNQLQYMQNVVVKTLWKHQFAWPFYQPVDAIKLNLPDYHKIIKNPMDMGTIKKRLENNYYWSASECMQDFNTMFTNCYIYNKPTDDIVLMAQALEKIFLQKVAQMPQEEVELLPPAPKGKGRKPAAGAQSAGTQQVAAVSSVSPATPFQSVPPTVSQTPVIAATPVPTITANVTSVPVPPAAAPPPPATPIVPVVPPTPPVVKKKGVKRKADTTTPTTSAITASRSESPPPLSDPKQAKVVARRESGGRPIKPPKKDLEDGEVPQHAGKKGKLSEHLRYCDSILREMLSKKHAAYAWPFYKPVDAEALELHDYHDIIKHPMDLSTVKRKMDGREYPDAQGFAADVRLMFSNCYKYNPPDHEVVAM 种属同源性预测 |
| 宿主/亚型 | Rabbit / IgG |
| 抗体类别 | Recombinant |
| 产品类型 | Antibody |
| 全称 | bromodomain containing 3 |
| 别名 | Bromodomain-containing protein 3, KIAA0043, ORFX, RING3 like protein, RING3L |
| 计算分子量 | 556 aa, 61 kDa |
| 观测分子量 | 95-105 kDa |
| GenBank蛋白编号 | BC032124 |
| 基因名称 | BRD3 |
| Gene ID (NCBI) | 8019 |
| RRID | AB_3745285 |
| 偶联类型 | Unconjugated |
| 形式 | Liquid |
| 纯化方式 | Protein A purification |
| UNIPROT ID | Q15059 |
| 储存缓冲液 | PBS with 0.02% sodium azide and 50% glycerol, pH 7.3. |
| 储存条件 | Store at -20°C. Stable for one year after shipment. Aliquoting is unnecessary for -20oC storage. |
背景介绍
BRD3 was belongs to the BET family that a small group of unique, highly conserved bromodomain-containing genes with four members in mouse and human. There are BRD2, BRD3, BRD4 and BRDT. And BET family proteins all localize in the nucleus, and contain two tandems N-terminal BRDs, an extra-terminal (ET) domain and a more divergent C-terminal recruitment domain (PMID:25849938). BRD2, BRD3, and BRD4 play key roles in transcription of genes required for both inflammation and cancer. Northern hybridization revealed that BRD3 is most abundant in testis, ovary, placenta, uterus, and brain(PMID:15261828; PMID:27451123).
实验方案
| Product Specific Protocols | |
|---|---|
| IF protocol for BRD3 antibody 87030-3-RR | Download protocol |
| WB protocol for BRD3 antibody 87030-3-RR | Download protocol |
| Standard Protocols | |
|---|---|
| Click here to view our Standard Protocols |



