验证数据展示
经过测试的应用
| Positive WB detected in | MCF-7 cells |
| Positive IP detected in | MCF-7 cells |
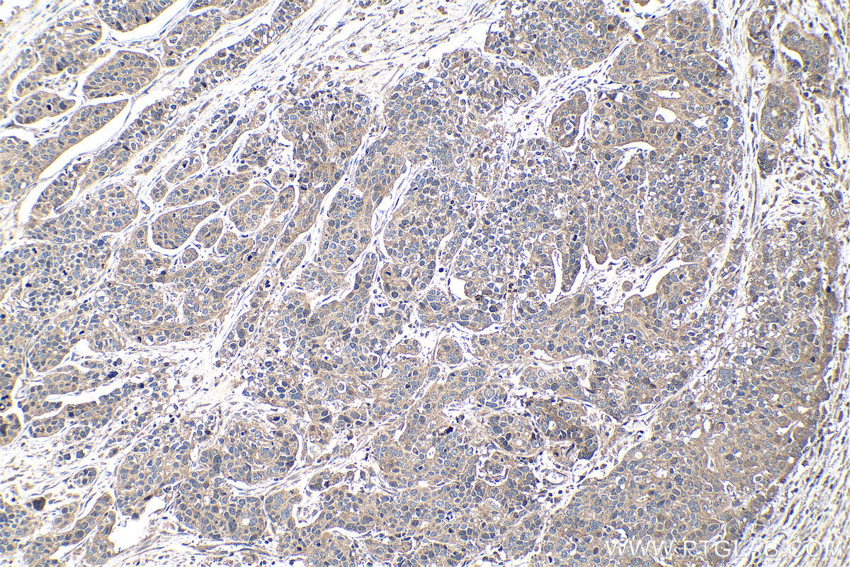
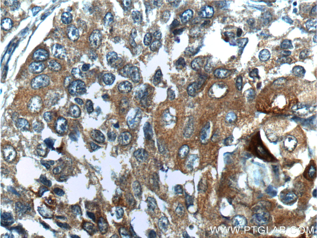
| Positive IHC detected in | human ovary tumor tissue, human colon cancer tissue, human lung cancer tissue, human tonsillitis tissue Note: suggested antigen retrieval with TE buffer pH 9.0; (*) Alternatively, antigen retrieval may be performed with citrate buffer pH 6.0 |
推荐稀释比
| 应用 | 推荐稀释比 |
|---|---|
| Western Blot (WB) | WB : 1:1000-1:4000 |
| Immunoprecipitation (IP) | IP : 0.5-4.0 ug for 1.0-3.0 mg of total protein lysate |
| Immunohistochemistry (IHC) | IHC : 1:500-1:2000 |
| It is recommended that this reagent should be titrated in each testing system to obtain optimal results. | |
| Sample-dependent, Check data in validation data gallery. | |
产品信息
22362-1-AP targets BRCA1 in WB, IHC, IF, IP, ChIP, ELISA applications and shows reactivity with human samples.
| 经测试应用 | WB, IHC, IP, ELISA Application Description |
| 文献引用应用 | WB, IHC, IF, IP, ChIP |
| 经测试反应性 | human |
| 文献引用反应性 | human |
| 免疫原 |
CatNo: Ag17946 Product name: Recombinant human BRCA1 protein Source: e coli.-derived, PGEX-4T Tag: GST Domain: 1514-1863 aa of BC115037 Sequence: SGSLQNRNYPSQEGLIKVVDVEEQQLEESGPHDLTETSYLPRQDLEGTPYLESGISLFSDDPESDPSEDRAPESARVGNIPSSTSALKVPQLKVAESAQGPAAAHTTDTAGYNAMEESVSREKPELTASTERVNKRMSIVVSGLTPEEFMLVYKFARKHHITLTNLITEETTHVVMKTDAEFVCERTLKYFLGIAGGKWVVSYFWVTQSIKERKMLNEHDFEVRGDVVNGRNHQGPKRARESQDRKIFRGLEICCYGPFTNMPTDQLEWMVQLCGASVVKELSSFTLGTGVHPIVVVQPDAWTEDNGFHAIGQMCEAPVVTREWVLDSVALYQCQELDTYLIPQIPHSHY 种属同源性预测 |
| 宿主/亚型 | Rabbit / IgG |
| 抗体类别 | Polyclonal |
| 产品类型 | Antibody |
| 全称 | breast cancer 1, early onset |
| 别名 | BRCC1, BROVCA1, EC:2.3.2.27, IRIS, PSCP |
| 计算分子量 | 1863 aa, 208 kDa |
| 观测分子量 | 300 kDa |
| GenBank蛋白编号 | BC115037 |
| 基因名称 | BRCA1 |
| Gene ID (NCBI) | 672 |
| RRID | AB_2879090 |
| 偶联类型 | Unconjugated |
| 形式 | Liquid |
| 纯化方式 | Antigen affinity purification |
| UNIPROT ID | P38398 |
| 储存缓冲液 | PBS with 0.02% sodium azide and 50% glycerol, pH 7.3. |
| 储存条件 | Store at -20°C. Stable for one year after shipment. Aliquoting is unnecessary for -20oC storage. |
背景介绍
BRCA1, also named as RNF53, plays a central role in DNA repair by facilitating cellular response to DNA repair. It is required for appropriate cell cycle arrests after ionizing irradiation in both the S-phase and the G2 phase of the cell cycle. The BRCA1-BARD1 heterodimer coordinates a diverse range of cellular pathways such as DNA damage repair, ubiquitination and transcriptional regulation to maintain genomic stability. BRCA1 acts by mediating ubiquitin E3 ligase activity that is required for its tumor suppressor function. It is involved in transcriptional regulation of P21 in response to DNA damage. BRCA1 is required for FANCD2 targeting to sites of DNA damage. It may function as a transcriptional regulator. BRCA1 inhibits lipid synthesis by binding to inactive phosphorylated ACACA and preventing its dephosphorylation. The antibody is specific to BRCA1. BRCA1 appears to produce multiple splice variants. BRCA1 is a nuclear protein with a molecular mass of 220 kDa. The present study describes the isolation and expression of two cDNAs of BRCA1, including a splice variant designated BRCA1D672-4095. BRCA1D672-4095 is generated by exclusion of exon 11 by in-frame splicing and produces a 97 kDa protein. In contrast to BRCA1, BRCA1D672-4095 localizes to the cytoplasm.
实验方案
| Product Specific Protocols | |
|---|---|
| IHC protocol for BRCA1 antibody 22362-1-AP | Download protocol |
| IP protocol for BRCA1 antibody 22362-1-AP | Download protocol |
| WB protocol for BRCA1 antibody 22362-1-AP | Download protocol |
| Standard Protocols | |
|---|---|
| Click here to view our Standard Protocols |
发表文章
| Species | Application | Title |
|---|---|---|
Mol Cell A di-acetyl-decorated chromatin signature couples liquid condensation to suppress DNA end synapsis | ||
Mol Cell A PARylation-phosphorylation cascade promotes TOPBP1 loading and RPA-RAD51 exchange in homologous recombination.
| ||
Cell Death Differ ZNF451 collaborates with RNF8 to regulate RNF168 localization and amplify ubiquitination signaling to promote DNA damage repair and regulate radiosensitivity | ||
Redox Biol Dysfunction of astrocytic glycophagy exacerbates reperfusion injury in ischemic stroke | ||
Nat Commun SIRT7 is a histone desuccinylase that functionally links to chromatin compaction and genome stability.
| ||
Nucleic Acids Res USP11 acts as a histone deubiquitinase functioning in chromatin reorganization during DNA repair. |







