验证数据展示
经过测试的应用
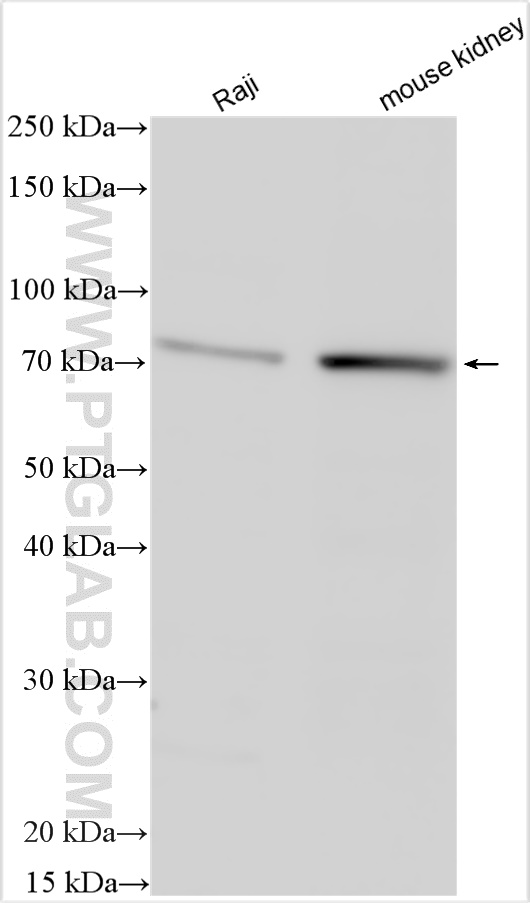
| Positive WB detected in | HEK-293 cells, Raji cells, mouse kidney tissue, Jurkat cells, rat kidney tissue |
| Positive IHC detected in | human skin cancer tissue Note: suggested antigen retrieval with TE buffer pH 9.0; (*) Alternatively, antigen retrieval may be performed with citrate buffer pH 6.0 |
推荐稀释比
| 应用 | 推荐稀释比 |
|---|---|
| Western Blot (WB) | WB : 1:500-1:3000 |
| Immunohistochemistry (IHC) | IHC : 1:150-1:600 |
| It is recommended that this reagent should be titrated in each testing system to obtain optimal results. | |
| Sample-dependent, Check data in validation data gallery. | |
产品信息
12986-1-AP targets BNIP3L in WB, IHC, ELISA applications and shows reactivity with human, mouse, rat samples.
| 经测试应用 | WB, IHC, ELISA Application Description |
| 文献引用应用 | WB, IHC |
| 经测试反应性 | human, mouse, rat |
| 文献引用反应性 | human, mouse, rat, pig, zebrafish |
| 免疫原 |
CatNo: Ag3624 Product name: Recombinant human BNIP3L protein Source: e coli.-derived, PGEX-4T Tag: GST Domain: 1-219 aa of BC001559 Sequence: MSSHLVEPPPPLHNNNNNCEENEQSLPPPAGLNSSWVELPMNSSNGNDNGNGKNGGLEHVPSSSSIHNGDMEKILLDAQHESGQSSSRGSSHCDSPSPQEDGQIMFDVEMHTSRDHSSQSEEEVVEGEKEVEALKKSADWVSDWSSRPENIPPKEFHFRHPKRSVSLSMRKSGAMKKGGIFSAEFLKVFIPSLFLSHVLALGLGIYIGKRLSTPSASTY 种属同源性预测 |
| 宿主/亚型 | Rabbit / IgG |
| 抗体类别 | Polyclonal |
| 产品类型 | Antibody |
| 全称 | BCL2/adenovirus E1B 19kDa interacting protein 3-like |
| 别名 | Adenovirus E1B19K-binding protein B5, BCL2/adenovirus E1B 19 kDa protein-interacting protein 3A, BNIP3A, BNIP3H, NIP3L |
| 计算分子量 | 24 kDa |
| 观测分子量 | 70 kDa |
| GenBank蛋白编号 | BC001559 |
| 基因名称 | BNIP3L |
| Gene ID (NCBI) | 665 |
| RRID | AB_2877901 |
| 偶联类型 | Unconjugated |
| 形式 | Liquid |
| 纯化方式 | Antigen affinity purification |
| UNIPROT ID | O60238 |
| 储存缓冲液 | PBS with 0.02% sodium azide and 50% glycerol, pH 7.3. |
| 储存条件 | Store at -20°C. Stable for one year after shipment. Aliquoting is unnecessary for -20oC storage. |
背景介绍
BNIP3L, also named as BNIP3A, BNIP3H, NIX and NIP3L. Bnip3L is one of the BH3-containing pro-apoptotic proteins and that it targets the mitochondria when inducing apoptosis. It may function as a tumor suppressor. BNIP3L has Dimer form with MW ~70 kDa.
实验方案
| Product Specific Protocols | |
|---|---|
| IHC protocol for BNIP3L antibody 12986-1-AP | Download protocol |
| WB protocol for BNIP3L antibody 12986-1-AP | Download protocol |
| Standard Protocols | |
|---|---|
| Click here to view our Standard Protocols |
发表文章
| Species | Application | Title |
|---|---|---|
Autophagy Mitochondrial dysfunction and mitophagy defect triggered by heterozygous GBA mutations. | ||
Autophagy Autophagy loss impedes cancer-associated fibroblast activation via downregulating proline biosynthesis.
| ||
Cell Rep Proline restores mitochondrial function and reverses aging hallmarks in senescent cells | ||
Neuromuscul Disord Mitophagy in three cases of immune-mediated necrotizing myopathy associated with anti-3-hydroxy-3-methylglutaryl-coenzyme A reductase autoantibodies: ultrastructural and immunohistochemical studies. | ||
Int J Mol Sci In Vivo Metabolic Responses to Different Formulations of Amino Acid Mixtures for the Treatment of Phenylketonuria (PKU). |



