验证数据展示
经过测试的应用
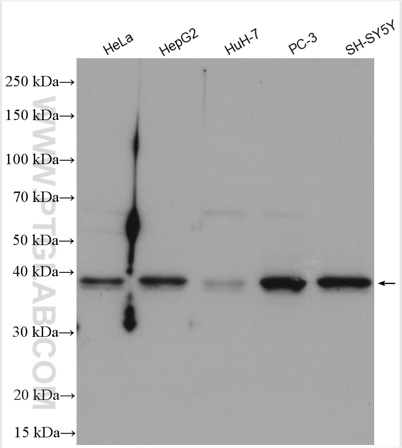
| Positive WB detected in | HeLa cells, L02 cells, mouse liver tissue, HepG2 cells, HuH-7 cells, PC-3 cells, SH-SY5Y cells |
| Positive IHC detected in | human prostate cancer tissue, human pancreas tissue Note: suggested antigen retrieval with TE buffer pH 9.0; (*) Alternatively, antigen retrieval may be performed with citrate buffer pH 6.0 |
| Positive IF/ICC detected in | L02 cells |
推荐稀释比
| 应用 | 推荐稀释比 |
|---|---|
| Western Blot (WB) | WB : 1:500-1:2000 |
| Immunohistochemistry (IHC) | IHC : 1:50-1:200 |
| Immunofluorescence (IF)/ICC | IF/ICC : 1:50-1:500 |
| It is recommended that this reagent should be titrated in each testing system to obtain optimal results. | |
| Sample-dependent, Check data in validation data gallery. | |
产品信息
10775-1-AP targets BLVRA in WB, IHC, IF/ICC, ELISA applications and shows reactivity with human, mouse samples.
| 经测试应用 | WB, IHC, IF/ICC, ELISA Application Description |
| 文献引用应用 | WB, IHC, IF |
| 经测试反应性 | human, mouse |
| 文献引用反应性 | human |
| 免疫原 |
CatNo: Ag1166 Product name: Recombinant human BLVRA protein Source: e coli.-derived, PGEX-4T Tag: GST Domain: 1-296 aa of BC008456 Sequence: MNAEPERKFGVVVVGVGRAGSVRMRDLRNPHPSSAFLNLIGFVSRRELGSIDGVQQISLEDALSSQEVEVAYICSESSSHEDYIRQFLNAGKHVLVEYPMTLSLAAAQELWELAEQKGKVLHEEHVELLMEEFAFLKKEVVGKDLLKGSLLFTAGPLEEERFGFPAFSGISRLTWLVSLFGELSLVSATLEERKEDQYMKMTVCLETEKKSPLSWIEEKGPGLKRNRYLSFHFKSGSLENVPNVGVNKNIFLKDQNIFVQKLLGQFSEKELAAEKKRILHCLGLAEEIQKYCCSRK 种属同源性预测 |
| 宿主/亚型 | Rabbit / IgG |
| 抗体类别 | Polyclonal |
| 产品类型 | Antibody |
| 全称 | biliverdin reductase A |
| 别名 | Biliverdin IX alpha reductase, biliverdin reductase A, Biliverdin-IX alpha-reductase, BLVR, BVR |
| 计算分子量 | 33.2 kDa |
| 观测分子量 | 37-40 kDa, 66 kDa |
| GenBank蛋白编号 | BC008456 |
| 基因名称 | BLVRA |
| Gene ID (NCBI) | 644 |
| RRID | AB_2065073 |
| 偶联类型 | Unconjugated |
| 形式 | Liquid |
| 纯化方式 | Antigen affinity purification |
| UNIPROT ID | P53004 |
| 储存缓冲液 | PBS with 0.02% sodium azide and 50% glycerol, pH 7.3. |
| 储存条件 | Store at -20°C. Stable for one year after shipment. Aliquoting is unnecessary for -20oC storage. |
背景介绍
BLVRA(Biliverdin reductase A) is also named as BLVR, BVR and belongs to the biliverdin reductase subfamily.It catalyze the conversion of biliverdin to bilirubin in the presence of NADPH or NADH.This protein can exsit as a dimer(PMID:11773068). Defects in BLVRA are the cause of hyperbiliverdinemia (HBLVD).
实验方案
| Product Specific Protocols | |
|---|---|
| IF protocol for BLVRA antibody 10775-1-AP | Download protocol |
| IHC protocol for BLVRA antibody 10775-1-AP | Download protocol |
| WB protocol for BLVRA antibody 10775-1-AP | Download protocol |
| Standard Protocols | |
|---|---|
| Click here to view our Standard Protocols |
发表文章
| Species | Application | Title |
|---|---|---|
Cancer Manag Res Biliverdin Reductase A (BLVRA) Promotes Colorectal Cancer Cell Progression by Activating the Wnt/β-Catenin Signaling Pathway.
| ||
Arch Biochem Biophys Biliverdin reductase deficiency triggers an endothelial-to-mesenchymal transition in human endothelial cells. | ||
EXCLI J Induction of cell apoptosis by biliverdin reductase inhibitor in MCF-7 and MDA-MB-468 breast cancer cell lines: Experimental and in silico studies. |








