验证数据展示
经过测试的应用
| Positive WB detected in | mouse skeletal muscle tissue, Jurkat cells, mouse brain tissue, mouse liver tissue, mouse testis tissue |
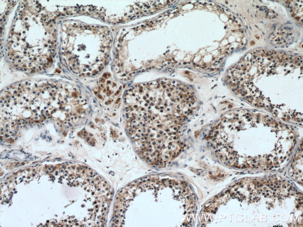
| Positive IHC detected in | human testis tissue, mouse pancreas tissue, mouse testis tissue, human pancreas tissue Note: suggested antigen retrieval with TE buffer pH 9.0; (*) Alternatively, antigen retrieval may be performed with citrate buffer pH 6.0 |
| Positive IF/ICC detected in | HepG2 cells |
| Positive FC (Intra) detected in | HepG2 cells |
推荐稀释比
| 应用 | 推荐稀释比 |
|---|---|
| Western Blot (WB) | WB : 1:500-1:2000 |
| Immunohistochemistry (IHC) | IHC : 1:50-1:500 |
| Immunofluorescence (IF)/ICC | IF/ICC : 1:200-1:800 |
| Flow Cytometry (FC) (INTRA) | FC (INTRA) : 0.40 ug per 10^6 cells in a 100 µl suspension |
| It is recommended that this reagent should be titrated in each testing system to obtain optimal results. | |
| Sample-dependent, Check data in validation data gallery. | |
产品信息
10022-1-AP targets cIAP1 in WB, IHC, IF/ICC, FC (Intra), CoIP, ELISA applications and shows reactivity with human, mouse samples.
| 经测试应用 | WB, IHC, IF/ICC, FC (Intra), ELISA Application Description |
| 文献引用应用 | WB, IHC, IF, CoIP |
| 经测试反应性 | human, mouse |
| 文献引用反应性 | human, mouse, rat, zebrafish |
| 免疫原 |
CatNo: Ag15203 Product name: Recombinant human cIAP1 protein Source: e coli.-derived, PGEX-4T Tag: GST Domain: 1-350 aa of BC016174 Sequence: MHKTASQRLFPGPSYQNIKSIMEDSTILSDWTNSNKQKMKYDFSCELYRMSTYSTFPAGVPVSERSLARAGFYYTGVNDKVKCFCCGLMLDNWKLGDSPIQKHKQLYPSCSFIQNLVSASLGSTSKNTSPMRNSFAHSLSPTLEHSSLFSGSYSSLSPNPLNSRAVEDISSSRTNPYSYAMSTEEARFLTYHMWPLTFLSPSELARAGFYYIGPGDRVACFACGGKLSNWEPKDDAMSEHRRHFPNCPFLENSLETLRFSISNLSMQTHAARMRTFMYWPSSVPVQPEQLASAGFYYVGRNDDVKCFCCDGGLRCWESGDDPWVEHAKWFPRCEFLIRMKGQEFVDEIQG 种属同源性预测 |
| 宿主/亚型 | Rabbit / IgG |
| 抗体类别 | Polyclonal |
| 产品类型 | Antibody |
| 全称 | baculoviral IAP repeat-containing 2 |
| 别名 | API1, BIRC2, MIHB, RNF48, Baculoviral IAP repeat-containing protein 2 |
| 计算分子量 | 618 aa, 70 kDa |
| 观测分子量 | 70 kDa, 55-60 kDa |
| GenBank蛋白编号 | BC016174 |
| 基因名称 | cIAP1 |
| Gene ID (NCBI) | 329 |
| RRID | AB_2063790 |
| 偶联类型 | Unconjugated |
| 形式 | Liquid |
| 纯化方式 | Antigen affinity purification |
| UNIPROT ID | Q13490 |
| 储存缓冲液 | PBS with 0.02% sodium azide and 50% glycerol, pH 7.3. |
| 储存条件 | Store at -20°C. Stable for one year after shipment. Aliquoting is unnecessary for -20oC storage. |
背景介绍
BIRC2 (also known as cIAP1) is a member of the inhibitor of apoptosis protein (IAP) family. The inhibitor of apoptosis (IAP) proteins are a family of anti-apoptotic regulators found in viruses and metazoans. BIRC2 is a nuclear shuttling protein, whose subcellular localization is mediated by the CRM1-dependent nuclear export pathway (PMID: 15265700). The protein is regulated transcriptionally and can be inhibited by mitochondrial proteins released in the cytoplasm upon apoptotic stimuli (PMID: 15187025). BIRC2 is also believed to be a critical regulator of vascular integrity and endothelial cell survival, thereby providing an additional target pathway for the control of angiogenesis and blood vessel homeostasis during embryogenesis, regeneration and tumorigenesis (PMID: 17934460). This BIRC2 antibody (10022-1-AP) can bind both full length (70kd) and cleaved form (60kd) of the protein.
实验方案
| Product Specific Protocols | |
|---|---|
| WB protocol for cIAP1 antibody 10022-1-AP | Download protocol |
| IHC protocol for cIAP1 antibody 10022-1-AP | Download protocol |
| IF protocol for cIAP1 antibody 10022-1-AP | Download protocol |
| FC protocol for cIAP1 antibody 10022-1-AP | Download protocol |
| Standard Protocols | |
|---|---|
| Click here to view our Standard Protocols |
发表文章
| Species | Application | Title |
|---|---|---|
Nat Genet Birc2 (cIap1) regulates endothelial cell integrity and blood vessel homeostasis.
| ||
Mol Cell Liquid phase separation of NEMO induced by polyubiquitin chains activates NF-κB. | ||
Mol Cell A cytoplasmic ATM-TRAF6-cIAP1 module links nuclear DNA damage signaling to ubiquitin-mediated NF-κB activation.
| ||
Acta Pharm Sin B A new perspective of triptolide-associated hepatotoxicity: the relevance of NF- κ B and NF- κ B-mediated cellular FLICE-inhibitory protein. | ||
Dev Cell Selective Autophagy of Mitochondria on a Ubiquitin-Endoplasmic-Reticulum Platform. | ||
J Immunol Differential TRAF3 utilization by a variant human CD40 receptor with enhanced signaling. |













