验证数据展示
经过测试的应用
| Positive WB detected in | mouse eye tissue, mouse liver tissue, human kidney tissue, Y79 cells, HeLa cells |
| Positive IP detected in | HeLa cells |
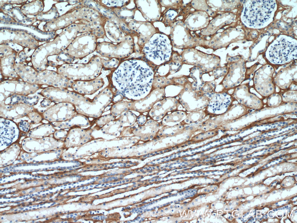
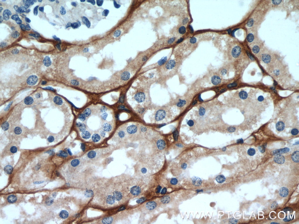
| Positive IHC detected in | human kidney tissue, human liver cancer tissue, mouse eye tissue Note: suggested antigen retrieval with TE buffer pH 9.0; (*) Alternatively, antigen retrieval may be performed with citrate buffer pH 6.0 |
| Positive IF/ICC detected in | TGF beta 1 treated A549 cells, Y79 cells |
| Positive FC (Intra) detected in | Y79 cells |
推荐稀释比
| 应用 | 推荐稀释比 |
|---|---|
| Western Blot (WB) | WB : 1:1000-1:4000 |
| Immunoprecipitation (IP) | IP : 0.5-4.0 ug for 1.0-3.0 mg of total protein lysate |
| Immunohistochemistry (IHC) | IHC : 1:50-1:500 |
| Immunofluorescence (IF)/ICC | IF/ICC : 1:200-1:800 |
| Flow Cytometry (FC) (INTRA) | FC (INTRA) : 0.40 ug per 10^6 cells in a 100 µl suspension |
| It is recommended that this reagent should be titrated in each testing system to obtain optimal results. | |
| Sample-dependent, Check data in validation data gallery. | |
产品信息
10188-1-AP targets TGFBI/BIGH3 in WB, IHC, IF/ICC, FC (Intra), IP, Neutralization, ELISA, Cell treatment applications and shows reactivity with human, mouse samples.
| 经测试应用 | WB, IHC, IF/ICC, FC (Intra), IP, ELISA Application Description |
| 文献引用应用 | WB, IHC, IF, IP, Neutralization, Cell treatment |
| 经测试反应性 | human, mouse |
| 文献引用反应性 | human, mouse, rat |
| 免疫原 |
CatNo: Ag0241 Product name: Recombinant human BIGH3 protein Source: e coli.-derived, PGEX-4T Tag: GST Domain: 199-406 aa of BC000097 Sequence: NIQIHHYPNGIVTVNCARLLKADHHATNGVVHLIDKVISTITNNIQQIIEIEDTFETLRAAVAASGLNTMLEGNGQYTLLAPTNEAFEKIPSETLNRILGDPEALRDLLNNHILKSAMCAEAIVAGLSVETLEGTTLEVGCSGDMLTINGKAIISNKDILATNGVIHYIDELLIPDSAKTLFELAAESDVSTAIDLFRQAGLGNHLSG 种属同源性预测 |
| 宿主/亚型 | Rabbit / IgG |
| 抗体类别 | Polyclonal |
| 产品类型 | Antibody |
| 全称 | transforming growth factor, beta-induced, 68kDa |
| 别名 | TGFBI, TGFBI / BIGH3, Beta ig h3, Beta ig-h3, BIGH3 |
| 计算分子量 | 683 aa, 75 kDa |
| 观测分子量 | 64 kDa |
| GenBank蛋白编号 | BC000097 |
| 基因名称 | TGFBI |
| Gene ID (NCBI) | 7045 |
| ENSEMBL Gene ID | ENSG00000120708 |
| RRID | AB_2202311 |
| 偶联类型 | Unconjugated |
| 形式 | Liquid |
| 纯化方式 | Antigen affinity purification |
| UNIPROT ID | Q15582 |
| 储存缓冲液 | PBS with 0.02% sodium azide and 50% glycerol, pH 7.3. |
| 储存条件 | Store at -20°C. Stable for one year after shipment. Aliquoting is unnecessary for -20oC storage. |
背景介绍
TGFBI, also named as BIGH3, Kerato-epithelin and RGD-CAP, binds to type I, II, and IV collagens. TGFBI is an adhesion protein which may play an important role in cell-collagen interactions. In cartilage, it may be involved in endochondral bone formation. TGFBI is an extracellular matrix adaptor protein, it has been reported to be differentially expressed in transformed tissues. TGFBI is a predictive factor of the response to chemotherapy, and suggest the use of TGFBI-derived peptides as possible therapeutic adjuvants for the enhancement of responses to chemotherapy.(PMID:20509890) Defects in TGFBI are the cause of epithelial basement membrane corneal dystrophy (EBMD). Defects in TGFBI are the cause of corneal dystrophy Groenouw type 1 (CDGG1). Defects in TGFBI are the cause of corneal dystrophy lattice type 1 (CDL1). Defects in TGFBI are a cause of corneal dystrophy Thiel-Behnke type (CDTB). Defects in TGFBI are the cause of Reis-Buecklers corneal dystrophy (CDRB). Defects in TGFBI are the cause of lattice corneal dystrophy type 3A (CDL3A). Defects in TGFBI are the cause of Avellino corneal dystrophy (ACD).
实验方案
| Product Specific Protocols | |
|---|---|
| FC protocol for TGFBI/BIGH3 antibody 10188-1-AP | Download protocol |
| IF protocol for TGFBI/BIGH3 antibody 10188-1-AP | Download protocol |
| IHC protocol for TGFBI/BIGH3 antibody 10188-1-AP | Download protocol |
| IP protocol for TGFBI/BIGH3 antibody 10188-1-AP | Download protocol |
| WB protocol for TGFBI/BIGH3 antibody 10188-1-AP | Download protocol |
| Standard Protocols | |
|---|---|
| Click here to view our Standard Protocols |
发表文章
| Species | Application | Title |
|---|---|---|
Nat Cell Biol Supermeres are functional extracellular nanoparticles replete with disease biomarkers and therapeutic targets. | ||
Sci Adv Acetylated K676 TGFBIp as a severity diagnostic blood biomarker for SARS-CoV-2 pneumonia. | ||
Genes Dev Extracellular matrix protein betaig-h3/TGFBI promotes metastasis of colon cancer by enhancing cell extravasation.
| ||
Biomaterials Dual peptide-dendrimer conjugate inhibits acetylation of transforming growth factor β-induced protein and improves survival in sepsis. |




















