验证数据展示
经过测试的应用
| Positive WB detected in | C6 cells, HEK-293 cells, Raji cells, L02 cells, PC-3 cells, A431 cells, HT-1080 cells, human placenta tissue, mouse brain tissue, rat brain tissue, HeLa cells, NIH/3T3 cells, MDA-MB-453s cells, SH-SY5Y cells |
| Positive IP detected in | MDA-MB-453s cells |
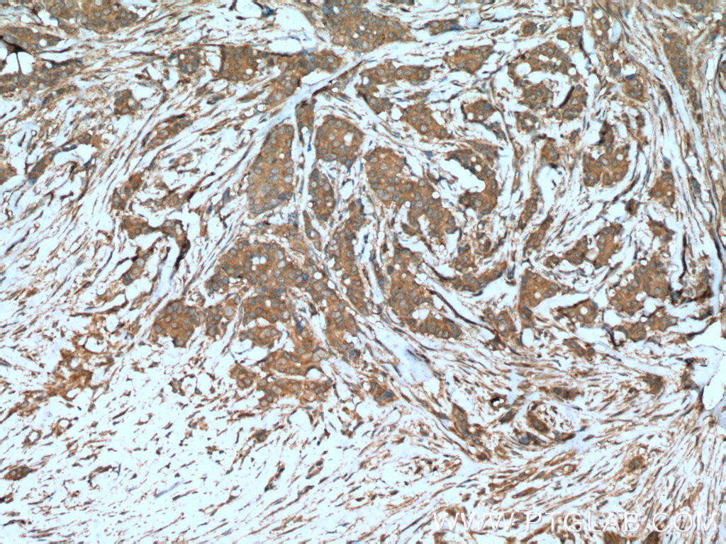
| Positive IHC detected in | human breast cancer tissue, human breast hyperplasia tissue, human prostate hyperplasia tissue, human cervical cancer tissue, human colon cancer tissue, human stomach tissue, human liver cancer tissue Note: suggested antigen retrieval with TE buffer pH 9.0; (*) Alternatively, antigen retrieval may be performed with citrate buffer pH 6.0 |
| Positive IF-P detected in | mouse heart tissue |
| Positive IF-Fro detected in | mouse heart tissue |
| Positive IF/ICC detected in | NIH/3T3 cells |
推荐稀释比
| 应用 | 推荐稀释比 |
|---|---|
| Western Blot (WB) | WB : 1:1000-1:10000 |
| Immunoprecipitation (IP) | IP : 0.5-4.0 ug for 1.0-3.0 mg of total protein lysate |
| Immunohistochemistry (IHC) | IHC : 1:50-1:500 |
| Immunofluorescence (IF)-P | IF-P : 1:50-1:500 |
| Immunofluorescence (IF)-FRO | IF-FRO : 1:50-1:500 |
| Immunofluorescence (IF)/ICC | IF/ICC : 1:200-1:800 |
| It is recommended that this reagent should be titrated in each testing system to obtain optimal results. | |
| Sample-dependent, Check data in validation data gallery. | |
产品信息
11306-1-AP targets Beclin 1 in WB, IHC, IF/ICC, IF-P, IF-Fro, IP, CoIP, ELISA applications and shows reactivity with human, mouse, rat samples.
| 经测试应用 | WB, IHC, IF/ICC, IF-P, IF-Fro, IP, ELISA Application Description |
| 文献引用应用 | WB, IHC, IF, IP, CoIP, ELISA |
| 经测试反应性 | human, mouse, rat |
| 文献引用反应性 | human, mouse, rat, pig, chicken, zebrafish, hamster, sheep, goat, fish |
| 免疫原 |
CatNo: Ag1843 Product name: Recombinant human Beclin 1 protein Source: e coli.-derived, PGEX-4T Tag: GST Domain: 141-450 aa of BC010276 Sequence: TDTLLDQLDTQLNVTENECQNYKRCLEILEQMNEDDSEQLQMELKELALEEERLIQELEDVEKNRKIVAENLEKVQAEAERLDQEEAQYQREYSEFKRQQLELDDELKSVENQMRYAQTQLDKLKKTNVFNATFHIWHSGQFGTINNFRLGRLPSVPVEWNEINAAWGQTVLLLHALANKMGLKFQRYRLVPYGNHSYLESLTDKSKELPLYCSGGLRFFWDNKFDHAMVAFLDCVQQFKEEVEKGETRFCLPYRMDVEKGKIEDTGGSGGSYSIKTQFNSEEQWTKALKFMLTNLKWGLAWVSSQFYNK 种属同源性预测 |
| 宿主/亚型 | Rabbit / IgG |
| 抗体类别 | Polyclonal |
| 产品类型 | Antibody |
| 全称 | beclin 1, autophagy related |
| 别名 | BECN1, Beclin-1-C 37 kDa, Beclin-1-C 35 kDa, Beclin-1, Beclin1 |
| 计算分子量 | 52 kDa |
| 观测分子量 | 52-60 kDa |
| GenBank蛋白编号 | BC010276 |
| 基因名称 | Beclin 1 |
| Gene ID (NCBI) | 8678 |
| RRID | AB_2259061 |
| 偶联类型 | Unconjugated |
| 形式 | Liquid |
| 纯化方式 | Antigen affinity purification |
| UNIPROT ID | Q14457 |
| 储存缓冲液 | PBS with 0.02% sodium azide and 50% glycerol, pH 7.3. |
| 储存条件 | Store at -20°C. Stable for one year after shipment. Aliquoting is unnecessary for -20oC storage. |
背景介绍
Beclin 1, also known as ATG6 or VPS30, interacts with various cofactors (e.g. Ambra1, Barkor (Atg14), Rubicon, or UVRAG) to regulate the lipid kinase Vps34 and promote the formation of the BECLIN1-Vps34-Vps15 complex, hence inducing autophagy. Its function (via the BH3 domain) is inhibited by Bcl-2 or Bcl-XL. Beclin 1 (BECN1) is a crucial molecule in the control of the autophagic activity, and its activity is regulated by multiple mechanisms, including the post-translational modification, protein-protein interaction, and subcellular localization. It plays a role in crosstalk between apoptosis and autophagy. It has been reported that Beclin 1 can be cleaved into fragments of 50, 37 and 35 kDa during apoptosis. It is involved in many disorders, including neurodegeneration and cancer (tumorigenesis). Beclin 1 is a mammalian tumor suppressor, and its gene is monoallelically deleted in 75% of ovarian, 50% of breast, and 40% of prostate cancers. Decreased expression of Beclin 1 has also been observed in human brain and lung tumors. The level of Beclin 1 was decreased in the affected brain regions of patients with Alzheimer's disease early in the disease process. Recent studies have also shown that gain and loss of Beclin 1 function affects the death of heart cells.
实验方案
| Product Specific Protocols | |
|---|---|
| WB protocol for Beclin 1 antibody 11306-1-AP | Download protocol |
| IHC protocol for Beclin 1 antibody 11306-1-AP | Download protocol |
| IF protocol for Beclin 1 antibody 11306-1-AP | Download protocol |
| IP protocol for Beclin 1 antibody 11306-1-AP | Download protocol |
| Standard Protocols | |
|---|---|
| Click here to view our Standard Protocols |
发表文章
| Species | Application | Title |
|---|---|---|
Cell TEX264 drives selective autophagy of DNA lesions to promote DNA repair and cell survival | ||
Signal Transduct Target Ther Targeting CRL4 suppresses chemoresistant ovarian cancer growth by inducing mitophagy | ||
Mol Cancer Overcoming multi-drug resistance in SCLC: a synergistic approach with venetoclax and hydroxychloroquine targeting the lncRNA LYPLAL1-DT/BCL2/BECN1 pathway | ||
Nat Microbiol Kaposi's sarcoma-associated herpesvirus induces mitochondrial fission to evade host immune responses and promote viral production | ||
ACS Nano Neutrophil Nanovesicle Protects against Experimental Autoimmune Encephalomyelitis through Enhancing Myelin Clearance by Microglia | ||
Cancer Commun (Lond) Targeting autophagy overcomes cancer-intrinsic resistance to CAR-T immunotherapy in B-cell malignancies |


































