验证数据展示
经过测试的应用
| Positive WB detected in | A549 cells, HEK-293 cells, HeLa cells, human brain tissue, mouse colon tissue, mouse kidney tissue, mouse liver tissue, mouse skeletal muscle tissue, mouse small intestine tissue, rat liver tissue |
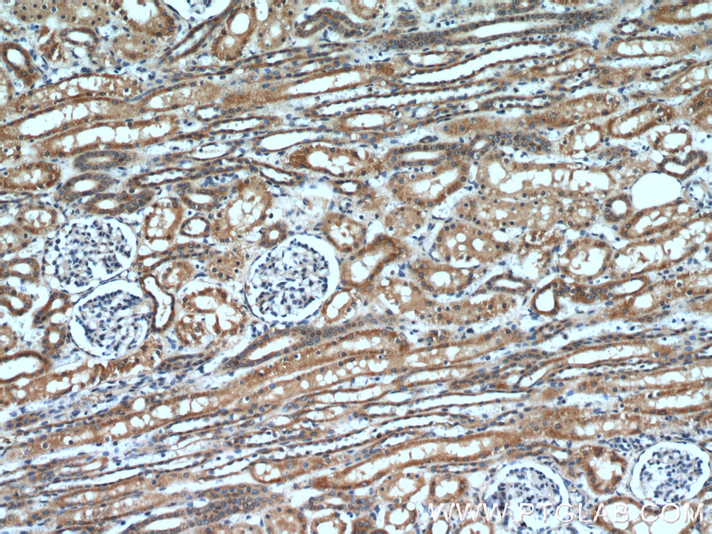
| Positive IHC detected in | human gliomas tissue, human kidney tissue Note: suggested antigen retrieval with TE buffer pH 9.0; (*) Alternatively, antigen retrieval may be performed with citrate buffer pH 6.0 |
| Positive IF/ICC detected in | A549 cells |
推荐稀释比
| 应用 | 推荐稀释比 |
|---|---|
| Western Blot (WB) | WB : 1:500-1:1000 |
| Immunohistochemistry (IHC) | IHC : 1:20-1:200 |
| Immunofluorescence (IF)/ICC | IF/ICC : 1:20-1:200 |
| It is recommended that this reagent should be titrated in each testing system to obtain optimal results. | |
| Sample-dependent, Check data in validation data gallery. | |
发表文章中的应用
| WB | See 7 publications below |
产品信息
10175-2-AP targets BCS1L in WB, IF, IHC, ELISA applications and shows reactivity with human, mouse, rat samples.
| 经测试应用 | WB, IF, IHC, ELISA Application Description |
| 文献引用应用 | WB |
| 经测试反应性 | human, mouse, rat |
| 文献引用反应性 | human |
| 免疫原 |
CatNo: Ag0231 Product name: Recombinant human BCS1L protein Source: e coli.-derived, PGEX-4T Tag: GST Domain: 7-182 aa of BC007500 Sequence: ILALKDNPYFGAGFGLVGVGTALALARKGVQLGLVAFRRHYMITLEVPARDRSYAWLLSWLTRHSTRTQHLSVETSYLQHESGRISTKFEFVPSPGNHFIWYRGKWIRVERSREMQMIDLQTGTPWESVTFTALGTDRKVFFNILEEARELALQQEEGKTVMYTAVGSEWRPFGYP 种属同源性预测 |
| 宿主/亚型 | Rabbit / IgG |
| 抗体类别 | Polyclonal |
| 产品类型 | Antibody |
| 全称 | BCS1-like (yeast) |
| 别名 | BCS1L, BJS, FLNMS, GRACILE, h BCS, h BCS1, Hs.6719, Mitochondrial chaperone BCS1, PTD |
| 计算分子量 | 48 kDa |
| 观测分子量 | 50-55 kDa |
| GenBank蛋白编号 | BC007500 |
| 基因名称 | BCS1L |
| Gene ID (NCBI) | 617 |
| RRID | AB_2259019 |
| 偶联类型 | Unconjugated |
| 形式 | Liquid |
| 纯化方式 | Antigen affinity purification |
| UNIPROT ID | Q9Y276 |
| 储存缓冲液 | PBS with 0.02% sodium azide and 50% glycerol, pH 7.3. |
| 储存条件 | Store at -20°C. Stable for one year after shipment. Aliquoting is unnecessary for -20oC storage. |
背景介绍
Human BCS1-like (BCS1L), a mitochondrial inner-membrane protein, is a chaperone necessary for the assembly of mitochondrial respiratory chain complex III. Recently studies indicated that the mutations in this protein may cause the GRACILE (growth retardation, aminoaciduria, cholestasis, iron overload, lactacidosis, and early death) syndrome, a recessively inherited lethal disease characterized by fetal growth retardation, lactic acidosis, aminoaciduria, cholestasis, and abnormalities in iron metabolism.
实验方案
| Product Specific Protocols | |
|---|---|
| IF protocol for BCS1L antibody 10175-2-AP | Download protocol |
| IHC protocol for BCS1L antibody 10175-2-AP | Download protocol |
| WB protocol for BCS1L antibody 10175-2-AP | Download protocol |
| Standard Protocols | |
|---|---|
| Click here to view our Standard Protocols |
发表文章
| Species | Application | Title |
|---|---|---|
Sci Transl Med Molecular diagnosis of infantile mitochondrial disease with targeted next-generation sequencing. | ||
Hum Mol Genet Impaired complex III assembly associated with BCS1L gene mutations in isolated mitochondrial encephalopathy. | ||
Hum Mutat Cellular pathophysiological consequences of BCS1L mutations in mitochondrial complex III enzyme deficiency. | ||
Cell Rep Distinct Roles of Mitochondrial HIGD1A and HIGD2A in Respiratory Complex and Supercomplex Biogenesis. | ||
Biochim Biophys Acta LYRM7/MZM1L is a UQCRFS1 chaperone involved in the last steps of mitochondrial Complex III assembly in human cells. |













