验证数据展示
经过测试的应用
| Positive IP detected in | U-937 cells |
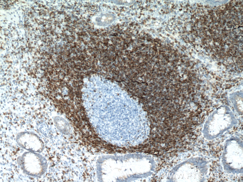
| Positive IHC detected in | human tonsillitis tissue, human appendicitis tissue, human lymphoma tissue, Jurkat cells Note: suggested antigen retrieval with TE buffer pH 9.0; (*) Alternatively, antigen retrieval may be performed with citrate buffer pH 6.0 |
| Positive IF-P detected in | human appendicitis tissue, human tonsillitis tissue |
| Positive IF/ICC detected in | MCF-7 cells |
推荐稀释比
| 应用 | 推荐稀释比 |
|---|---|
| Immunoprecipitation (IP) | IP : 0.5-4.0 ug for 1.0-3.0 mg of total protein lysate |
| Immunohistochemistry (IHC) | IHC : 1:5000-1:20000 |
| Immunofluorescence (IF)-P | IF-P : 1:50-1:500 |
| Immunofluorescence (IF)/ICC | IF/ICC : 1:200-1:800 |
| It is recommended that this reagent should be titrated in each testing system to obtain optimal results. | |
| Sample-dependent, Check data in validation data gallery. | |
产品信息
60178-1-Ig targets BCL2 in IHC, IF/ICC, IF-P, IP, CoIP, ELISA applications and shows reactivity with human, pig samples.
| 经测试应用 | IHC, IF/ICC, IF-P, IP, ELISA Application Description |
| 文献引用应用 | IHC, IF, IP, CoIP |
| 经测试反应性 | human, pig |
| 文献引用反应性 | human, pig, rabbit, monkey, bovine, hamster |
| 免疫原 |
CatNo: Ag3508 Product name: Recombinant human BCL2 protein Source: e coli.-derived, PGEX-4T Tag: GST Domain: 1-239 aa of BC027258 Sequence: MAHAGRTGYDNREIVMKYIHYKLSQRGYEWDAGDVGAAPPGAAPAPGIFSSQPGHTPHPAASRDPVARTSPLQTPAAPGAAAGPALSPVPPVVHLTLRQAGDDFSRRYRRDFAEMSSQLHLTPFTARGRFATVVEELFRDGVNWGRIVAFFEFGGVMCVESVNREMSPLVDNIALWMTEYLNRHLHTWIQDNGGWDAFVELYGPSMRPLFDFSWLSLKTLLSLALVGACITLGAYLGHK 种属同源性预测 |
| 宿主/亚型 | Mouse / IgG2b |
| 抗体类别 | Monoclonal |
| 产品类型 | Antibody |
| 全称 | B-cell CLL/lymphoma 2 |
| 别名 | BCL-2, 4H8C6 |
| 计算分子量 | 26 kDa |
| 观测分子量 | 26 kDa |
| GenBank蛋白编号 | BC027258 |
| 基因名称 | BCL2 |
| Gene ID (NCBI) | 596 |
| RRID | AB_10734459 |
| 偶联类型 | Unconjugated |
| 形式 | Liquid |
| 纯化方式 | Protein A purification |
| UNIPROT ID | P10415 |
| 储存缓冲液 | PBS with 0.02% sodium azide and 50% glycerol, pH 7.3. |
| 储存条件 | Store at -20°C. Stable for one year after shipment. Aliquoting is unnecessary for -20oC storage. |
背景介绍
1) What is Bcl-2?
Bcl-2 (B-cell lymphoma 2) is an outer mitochondrial membrane protein that via heterodimerization with BAX proteins controls apoptosis. Abnormalities of Bcl-2 activity can lead to cancer, autoimmune diseases, and schizophrenia.2) FAQs for Bcl-2
A) How to measure Bcl-2 and Bax apoptotic markers by western blotting
Generally, Bcl-2 protein is considered to have anti-apoptotic activity, while Bax has apoptotic activity. Comparing the ratio between Bcl-2 and Bax protein levels in different samples or cells subjected to treatments can reflect the apoptotic state of the cells. Expression of Bax can vary between cell lines and it is important to compare it to Bcl-2 levels.
B) What band size should I expect in western blotting for Bcl-2?
The molecular weight of Bcl-2 is 26 kDa.
实验方案
| Product Specific Protocols | |
|---|---|
| IF protocol for BCL2 antibody 60178-1-Ig | Download protocol |
| IHC protocol for BCL2 antibody 60178-1-Ig | Download protocol |
| IP protocol for BCL2 antibody 60178-1-Ig | Download protocol |
| Standard Protocols | |
|---|---|
| Click here to view our Standard Protocols |
发表文章
| Species | Application | Title |
|---|---|---|
J Extracell Vesicles Extracellular vesicles derived from oesophageal cancer containing P4HB promote muscle wasting via regulating PHGDH/Bcl-2/caspase-3 pathway. | ||
Acta Pharm Sin B Protocatechuic aldehyde protects cardiomycoytes against ischemic injury via regulation of nuclear pyruvate kinase M2. | ||
Autophagy Periplocin suppresses the growth of colorectal cancer cells by triggering LGALS3 (galectin 3)-mediated lysophagy | ||
EMBO J VHL suppresses autophagy and tumor growth through PHD1-dependent Beclin1 hydroxylation | ||
Acta Biomater Sodium alginate/collagen/stromal cell-derived factor-1 neural scaffold loaded with BMSCs promotes neurological function recovery after traumatic brain injury. | ||
Redox Biol Heat shock protein 22 modulates NRF1/TFAM-dependent mitochondrial biogenesis and DRP1-sparked mitochondrial apoptosis through AMPK-PGC1α signaling pathway to alleviate the early brain injury of subarachnoid hemorrhage in rats. |











