验证数据展示
经过测试的应用
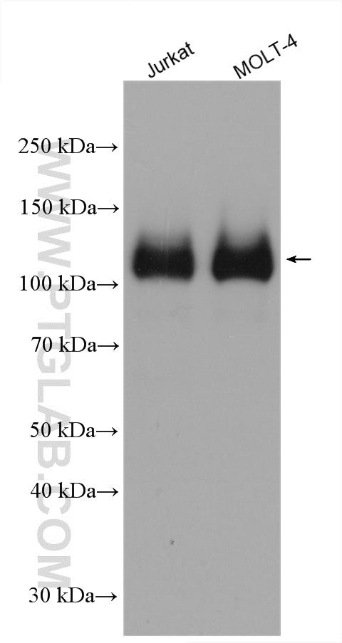
| Positive WB detected in | Jurkat cells, mouse thymus tissue, MOLT-4 cells |
| Positive IP detected in | Jurkat cells |
| Positive IHC detected in | mouse brain tissue Note: suggested antigen retrieval with TE buffer pH 9.0; (*) Alternatively, antigen retrieval may be performed with citrate buffer pH 6.0 |
| Positive IF/ICC detected in | HepG2 cells |
推荐稀释比
| 应用 | 推荐稀释比 |
|---|---|
| Western Blot (WB) | WB : 1:1000-1:8000 |
| Immunoprecipitation (IP) | IP : 0.5-4.0 ug for 1.0-3.0 mg of total protein lysate |
| Immunohistochemistry (IHC) | IHC : 1:200-1:800 |
| Immunofluorescence (IF)/ICC | IF/ICC : 1:50-1:500 |
| It is recommended that this reagent should be titrated in each testing system to obtain optimal results. | |
| Sample-dependent, Check data in validation data gallery. | |
发表文章中的应用
| WB | See 3 publications below |
| IF | See 2 publications below |
产品信息
55414-1-AP targets BCL11B in WB, IHC, IF/ICC, IP, ELISA applications and shows reactivity with human, mouse samples.
| 经测试应用 | WB, IHC, IF/ICC, IP, ELISA Application Description |
| 文献引用应用 | WB, IF |
| 经测试反应性 | human, mouse |
| 文献引用反应性 | human, mouse |
| 免疫原 |
Peptide 种属同源性预测 |
| 宿主/亚型 | Rabbit / IgG |
| 抗体类别 | Polyclonal |
| 产品类型 | Antibody |
| 全称 | B-cell CLL/lymphoma 11B (zinc finger protein) |
| 别名 | COUP TF interacting protein 2, BCL-11B, B-cell lymphoma/leukemia 11B, B-cell CLL/lymphoma 11B, B cell lymphoma/leukemia 11B |
| 计算分子量 | 96 kDa |
| 观测分子量 | 116 kDa |
| GenBank蛋白编号 | NM_022898 |
| 基因名称 | BCL11B |
| Gene ID (NCBI) | 64919 |
| RRID | AB_11182609 |
| 偶联类型 | Unconjugated |
| 形式 | Liquid |
| 纯化方式 | Antigen affinity purification |
| UNIPROT ID | Q9C0K0 |
| 储存缓冲液 | PBS with 0.02% sodium azide and 50% glycerol, pH 7.3. |
| 储存条件 | Store at -20°C. Stable for one year after shipment. Aliquoting is unnecessary for -20oC storage. |
背景介绍
BCL11B, also named CTIP2, RIT1, CTIP-2, ZNF856B, and hRIT1-alpha, is a tumor-suppressor protein involved in T-cell lymphomas. It may function on the P53-signaling pathway. BCL11B is a key regulator of both differentiation and survival during thymocyte development. It depresses transcription through direct, TFCOUP2-independent binding to a GC-rich response element. This antibody is specific to BCL11B. The calculated molecular weight of BCL11B is 95 kDa but the modified BCL11B protein is about 116 kDa.
实验方案
| Product Specific Protocols | |
|---|---|
| IF protocol for BCL11B antibody 55414-1-AP | Download protocol |
| IHC protocol for BCL11B antibody 55414-1-AP | Download protocol |
| IP protocol for BCL11B antibody 55414-1-AP | Download protocol |
| WB protocol for BCL11B antibody 55414-1-AP | Download protocol |
| Standard Protocols | |
|---|---|
| Click here to view our Standard Protocols |
发表文章
| Species | Application | Title |
|---|---|---|
Cell Rep XLF/Cernunnos loss impairs mouse brain development by altering symmetric proliferative divisions of neural progenitors | ||
Arch Virol Increased expression of BCL11B and its recruited chromatin remodeling factors during highly active antiretroviral therapy synergistically represses the transcription of human immunodeficiency virus type 1 and is associated with residual immune activation. | ||
EMBO J BMP suppresses Wnt signaling via the Bcl11b-regulated NuRD complex to maintain intestinal stem cells | ||
Mol Psychiatry Effects of esketamine on electrophysiology and metabolic reprogramming in brain organoids: insights into antidepressant mechanisms | ||
J Inflamm Res Plasma Exosomal miR-17-5p Regulates Macrophage Polarization by Targeting Bcl11b in Sepsis-Induced Lung Injury. |





