验证数据展示
经过测试的应用
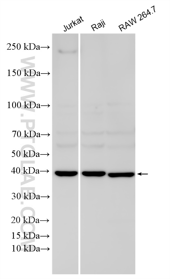
| Positive WB detected in | Jurkat cells, L02 cells, Raji cells, RAW 264.7 cells, MCF-7 cells, MDA-MB-231 cells |
| Positive IHC detected in | human skin tissue, human placenta tissue Note: suggested antigen retrieval with TE buffer pH 9.0; (*) Alternatively, antigen retrieval may be performed with citrate buffer pH 6.0 |
| Positive IF/ICC detected in | C2C12 cells |
| Positive FC (Intra) detected in | HepG2 cells |
推荐稀释比
| 应用 | 推荐稀释比 |
|---|---|
| Western Blot (WB) | WB : 1:1000-1:6000 |
| Immunohistochemistry (IHC) | IHC : 1:50-1:500 |
| Immunofluorescence (IF)/ICC | IF/ICC : 1:50-1:500 |
| Flow Cytometry (FC) (INTRA) | FC (INTRA) : 0.25 ug per 10^6 cells in a 100 µl suspension |
| It is recommended that this reagent should be titrated in each testing system to obtain optimal results. | |
| Sample-dependent, Check data in validation data gallery. | |
产品信息
16417-1-AP targets BCAT2 in WB, IHC, IF/ICC, FC (Intra), ELISA applications and shows reactivity with human, mouse samples.
| 经测试应用 | WB, IHC, IF/ICC, FC (Intra), ELISA Application Description |
| 文献引用应用 | WB, IHC, IF |
| 经测试反应性 | human, mouse |
| 文献引用反应性 | human, mouse, rat |
| 免疫原 |
CatNo: Ag9573 Product name: Recombinant human BCAT2 protein Source: e coli.-derived, PGEX-4T Tag: GST Domain: 41-392 aa of BC001900 Sequence: MTQKPHKKPGPGEPLVFGKTFTDHMLMVEWNDKGWGQPRIQPFQNLTLHPASSSLHYSLQLFEGMKAFKGKDQQVRLFRPWLNMDRMLRSAMRLCLPSFDKLELLECIRRLIEVDKDWVPDAAGTSLYVRPVLIGNEPSLGVSQPTRALLFVILCPVGAYFPGGSVTPVSLLADPAFIRAWVGGVGNYKLGGNYGPTVLVQQEALKRGCEQVLWLYGPDHQLTEVGTMNIFVYWTHEDGVLELVTPPLNGVILPGVVRQSLLDMAQTWGEFRVVERTITMKQLLRALEEGRVREVFGSGTACQVCPVHRILYKDRNLHIPTMENGPELILRFQKELKEIQYGIRAHEWMFPV 种属同源性预测 |
| 宿主/亚型 | Rabbit / IgG |
| 抗体类别 | Polyclonal |
| 产品类型 | Antibody |
| 全称 | branched chain aminotransferase 2, mitochondrial |
| 别名 | Branched-chain-amino-acid aminotransferase, mitochondrial, EC:2.6.1.42, ECA40, Placental protein 18, PP18 |
| 计算分子量 | 44 kDa |
| 观测分子量 | 38-42 kDa |
| GenBank蛋白编号 | BC001900 |
| 基因名称 | BCAT2 |
| Gene ID (NCBI) | 587 |
| RRID | AB_10792411 |
| 偶联类型 | Unconjugated |
| 形式 | Liquid |
| 纯化方式 | Antigen affinity purification |
| UNIPROT ID | O15382 |
| 储存缓冲液 | PBS with 0.02% sodium azide and 50% glycerol, pH 7.3. |
| 储存条件 | Store at -20°C. Stable for one year after shipment. Aliquoting is unnecessary for -20oC storage. |
背景介绍
Branched-chain amino acid transaminase 2 (BCAT2) is an important enzyme in branched-chain amino acids (BCAAs) catabolism that reversibly catalyzes the initial step of BCAA degradation to branched-chain acyl-CoA. In humans, BCAT2 encodes a mitochondrial protein that is ubiquitously expressed in all organs (except hepatocytes) (PMID:32467562). Moreover, other reports showed that overexpressed BCAT2 in pancreatic ductal adenocarcinoma (PDAC) cells enhanced cell proliferation and survival in vitro and in vivo (PMID:35663242).
实验方案
| Product Specific Protocols | |
|---|---|
| IF protocol for BCAT2 antibody 16417-1-AP | Download protocol |
| IHC protocol for BCAT2 antibody 16417-1-AP | Download protocol |
| WB protocol for BCAT2 antibody 16417-1-AP | Download protocol |
| Standard Protocols | |
|---|---|
| Click here to view our Standard Protocols |
发表文章
| Species | Application | Title |
|---|---|---|
Nat Cancer Integrative proteogenomic profiling of high-risk prostate cancer samples from Chinese patients indicates metabolic vulnerabilities and diagnostic biomarkers
| ||
Nat Cell Biol BCAT2-mediated BCAA catabolism is critical for development of pancreatic ductal adenocarcinoma. | ||
Nat Commun Glucose promotes cell growth by suppressing branched-chain amino acid degradation. | ||
Basic Res Cardiol Oxoeicosanoid receptor inhibition alleviates acute myocardial infarction through activation of BCAT1. | ||
Cancer Res Targeting BCAT1 combined with α-ketoglutarate triggers metabolic synthetic lethality in glioblastoma. | ||
Diabetes Transketolase Deficiency in Adipose Tissues Protects Mice From Diet-Induced Obesity by Promoting Lipolysis. |







