验证数据展示
产品信息
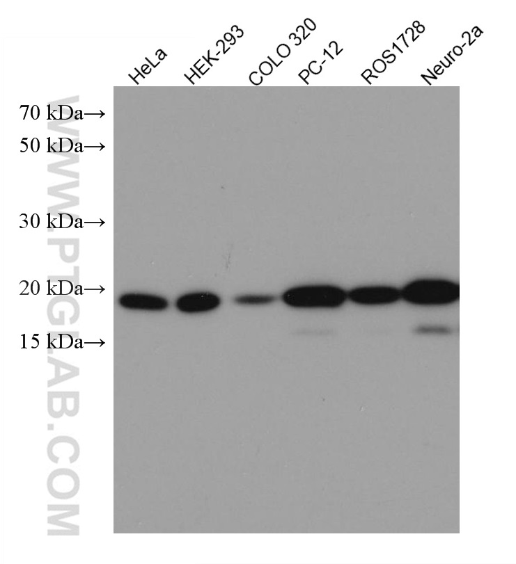
60267-1-PBS targets BAX in WB, IHC, IHC-Autostainer, IF/ICC, IP, Indirect ELISA applications and shows reactivity with human, mouse, rat samples.
| 经测试应用 | WB, IHC, IHC-Autostainer, IF/ICC, IP, Indirect ELISA Application Description |
| 经测试反应性 | human, mouse, rat |
| 免疫原 |
CatNo: Ag21068 Product name: Recombinant human BAX protein Source: e coli.-derived, PGEX-4T Tag: GST Domain: 1-192 aa of BC014175 Sequence: MDGSGEQPRGGGPTSSEQIMKTGALLLQGFIQDRAGRMGGEAPELALDPVPQDASTKKLSECLKRIGDELDSNMELQRMIAAVDTDSPREVFFRVAADMFSDGNFNWGRVVALFYFASKLVLKALCTKVPELIRTIMGWTLDFLRERLLGWIQDQGGWDGLLSYFGTPTWQTVTIFVAGVLTASLTIWKKMG 种属同源性预测 |
| 宿主/亚型 | Mouse / IgG2b |
| 抗体类别 | Monoclonal |
| 产品类型 | Antibody |
| 全称 | BCL2-associated X protein |
| 别名 | 4G5E8, Apoptosis regulator BAX, Bcl2-L-4, Bcl-2-like protein 4 |
| 计算分子量 | 21 kDa |
| 观测分子量 | 21 kDa |
| GenBank蛋白编号 | BC014175 |
| 基因名称 | BAX |
| Gene ID (NCBI) | 581 |
| RRID | AB_2848213 |
| 偶联类型 | Unconjugated |
| 形式 | Liquid |
| 纯化方式 | Protein A purification |
| UNIPROT ID | Q07812 |
| 储存缓冲液 | PBS only, pH 7.3. |
| 储存条件 | Store at -80°C. The product is shipped with ice packs. Upon receipt, store it immediately at -80°C |
背景介绍
BAX, also named as BCL2L4, is a pro-apoptotic member of the Bcl-2 protein family, which plays a pivotal role in controlling cell life and death. Bax largely localizes to the cytoplasm of healthy cells, but accumulates on the outer mitochondrial membrane upon apoptosis induction (PMID: 9108035). BAX can commit a cell to apoptosis by translocation from the cytosol to the mitochondria and permeabilization of the outer mitochondrial membrane, which leads to the release of cytochrome c from mitochondria (PMID: 21763611). The expression of BAX is upregulated by the tumor suppressor protein p53, and BAX has been shown to be involved in p53-mediated apoptosis (PMID: 8183579).














