验证数据展示
经过测试的应用
| Positive WB detected in | HEK-293 cells, Jurkat cells |
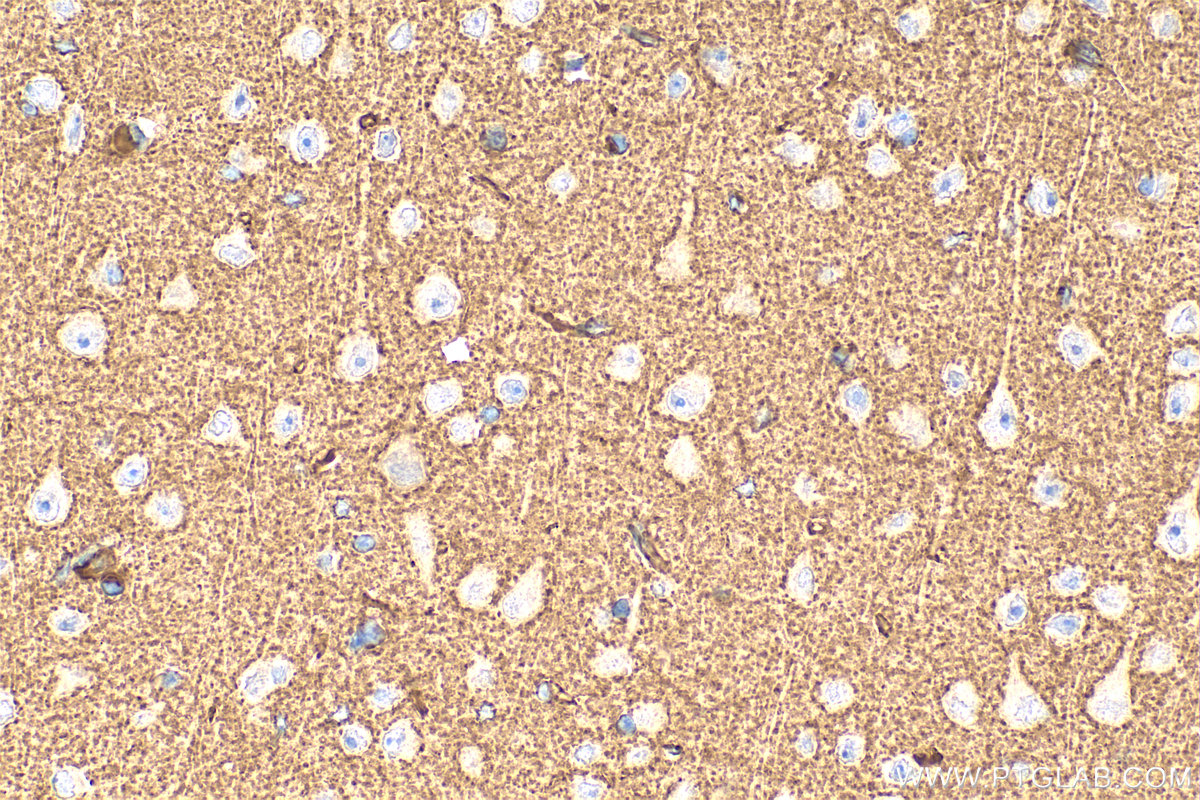
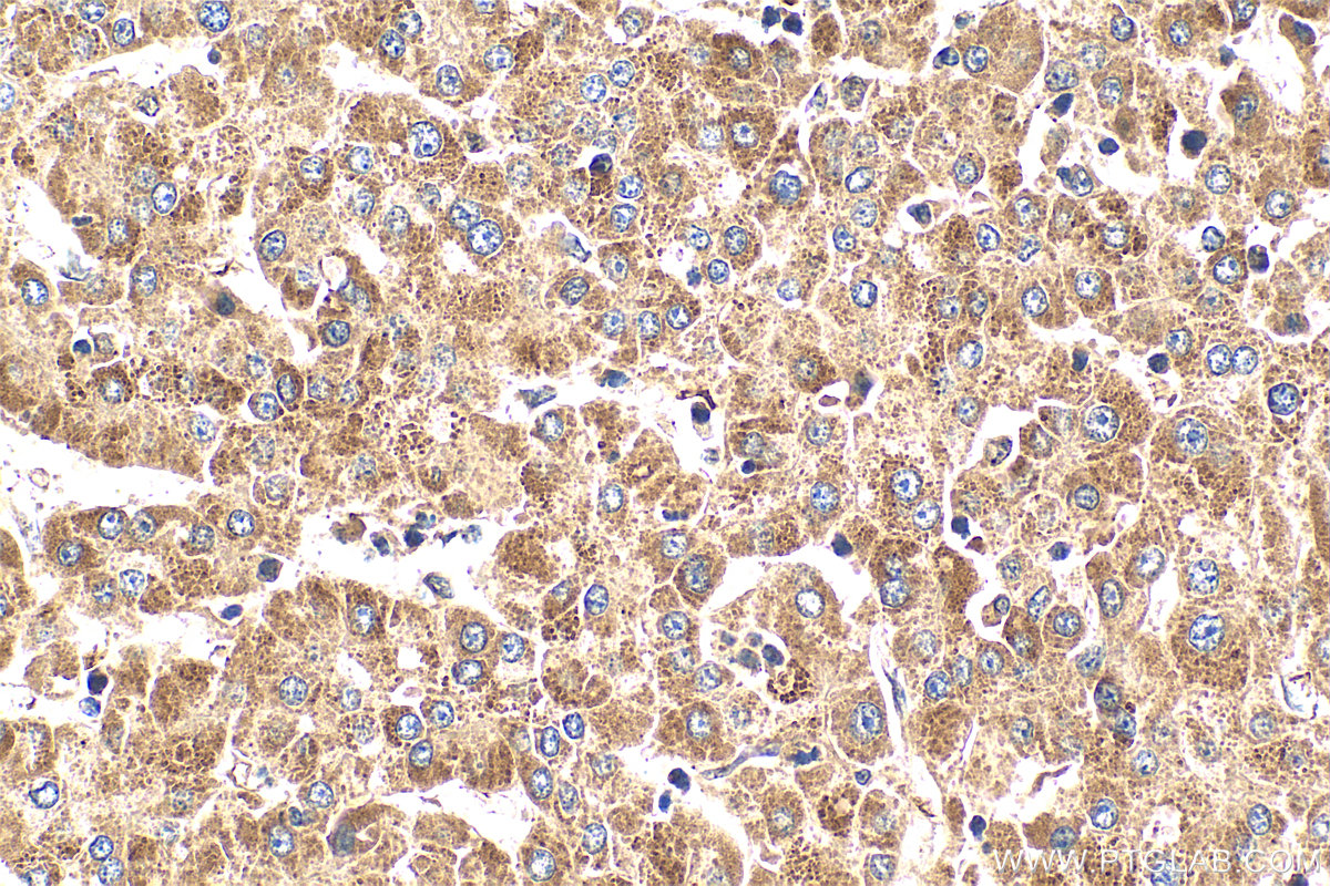
| Positive IHC detected in | mouse brain tissue, human liver cancer tissue Note: suggested antigen retrieval with TE buffer pH 9.0; (*) Alternatively, antigen retrieval may be performed with citrate buffer pH 6.0 |
推荐稀释比
| 应用 | 推荐稀释比 |
|---|---|
| Western Blot (WB) | WB : 1:500-1:1000 |
| Immunohistochemistry (IHC) | IHC : 1:50-1:500 |
| It is recommended that this reagent should be titrated in each testing system to obtain optimal results. | |
| Sample-dependent, Check data in validation data gallery. | |
发表文章中的应用
| WB | See 1 publications below |
| IF | See 1 publications below |
产品信息
19789-1-AP targets BAI3-Specific in WB, IHC, IF, ELISA applications and shows reactivity with human, mouse, rat samples.
| 经测试应用 | WB, IHC, ELISA Application Description |
| 文献引用应用 | WB, IF |
| 经测试反应性 | human, mouse, rat |
| 文献引用反应性 | mouse |
| 免疫原 |
Peptide 种属同源性预测 |
| 宿主/亚型 | Rabbit / IgG |
| 抗体类别 | Polyclonal |
| 产品类型 | Antibody |
| 全称 | brain-specific angiogenesis inhibitor 3 |
| 别名 | BAI3, ADGRB3, Adhesion G protein-coupled receptor B3, brain angiogenesis inhibitor 3, Brain-specific angiogenesis inhibitor 3 |
| 计算分子量 | 172 kDa |
| 观测分子量 | 135-140 kDa |
| GenBank蛋白编号 | NM_001704 |
| 基因名称 | BAI3 |
| Gene ID (NCBI) | 577 |
| RRID | AB_10666850 |
| 偶联类型 | Unconjugated |
| 形式 | Liquid |
| 纯化方式 | Antigen affinity purification |
| UNIPROT ID | O60242 |
| 储存缓冲液 | PBS with 0.02% sodium azide and 50% glycerol, pH 7.3. |
| 储存条件 | Store at -20°C. Stable for one year after shipment. Aliquoting is unnecessary for -20oC storage. |
背景介绍
BAI3, also named as KIAA0550, belongs to the G-protein coupled receptor 2 family and LN-TM7 subfamily. BAI3 might be involved in angiogenesis inhibition and suppression of glioblastoma. This antibody is specific to BAI3.
实验方案
| Product Specific Protocols | |
|---|---|
| IHC protocol for BAI3-Specific antibody 19789-1-AP | Download protocol |
| WB protocol for BAI3-Specific antibody 19789-1-AP | Download protocol |
| Standard Protocols | |
|---|---|
| Click here to view our Standard Protocols |
发表文章
| Species | Application | Title |
|---|---|---|
Behav Brain Res miR-142 downregulation alleviates the impairment of spatial learning and memory, reduces the level of apoptosis, and upregulates the expression of pCaMKII and BAI3 in the hippocampus of APP/PS1 transgenic mice. |



