验证数据展示
经过测试的应用
| Positive WB detected in | mouse brain tissue, Jurkat cells, mouse liver tissue |
| Positive IP detected in | Jurkat cells |
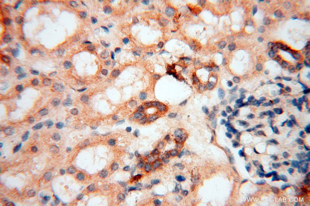
| Positive IHC detected in | human testis tissue, human kidney tissue, human lung tissue, human ovary tissue, human placenta tissue, human spleen tissue Note: suggested antigen retrieval with TE buffer pH 9.0; (*) Alternatively, antigen retrieval may be performed with citrate buffer pH 6.0 |
推荐稀释比
| 应用 | 推荐稀释比 |
|---|---|
| Western Blot (WB) | WB : 1:500-1:1000 |
| Immunoprecipitation (IP) | IP : 0.5-4.0 ug for 1.0-3.0 mg of total protein lysate |
| Immunohistochemistry (IHC) | IHC : 1:20-1:200 |
| It is recommended that this reagent should be titrated in each testing system to obtain optimal results. | |
| Sample-dependent, Check data in validation data gallery. | |
发表文章中的应用
| KD/KO | See 1 publications below |
| WB | See 1 publications below |
| IHC | See 1 publications below |
产品信息
16150-1-AP targets BAG1S/1M/1L in WB, IHC, IP, ELISA applications and shows reactivity with human, mouse samples.
| 经测试应用 | WB, IHC, IP, ELISA Application Description |
| 文献引用应用 | WB, IHC |
| 经测试反应性 | human, mouse |
| 文献引用反应性 | human |
| 免疫原 |
Peptide 种属同源性预测 |
| 宿主/亚型 | Rabbit / IgG |
| 抗体类别 | Polyclonal |
| 产品类型 | Antibody |
| 全称 | BCL2-associated athanogene |
| 别名 | BAG1, BAG 1, HAP, Bcl-2-associated athanogene 1, BAG1L speicfic |
| 计算分子量 | 26 kDa |
| 观测分子量 | 46-50 kDa, 41-46 kDa, 25-33 kDa |
| GenBank蛋白编号 | NM_004323 |
| 基因名称 | BAG1 |
| Gene ID (NCBI) | 573 |
| RRID | AB_2062288 |
| 偶联类型 | Unconjugated |
| 形式 | Liquid |
| 纯化方式 | Antigen affinity purification |
| UNIPROT ID | Q99933 |
| 储存缓冲液 | PBS with 0.02% sodium azide and 50% glycerol, pH 7.3. |
| 储存条件 | Store at -20°C. Stable for one year after shipment. Aliquoting is unnecessary for -20oC storage. |
背景介绍
BAG1 has been identified that modulates gene transcription through poorly defined mechanisms. Four isoforms of the BAG1 protein (BAG1S, BAG1, BAG1M, and BAG1L) can be produced from a common mRNA by use of alternative translation initiation sites, including a non-canonical CTG codon in one instance. The longest, BAG1L (Mr ~50K), contains a nuclear localization signal (NLS) and resides in the nucleus, whereas BAG1M (Mr ~46K) has an incomplete NLS and distributes mainly in cytosol, unless dragged into the nucleus through interactions with other. Distribution of BAG1S(p33) is not clear yet. This antibody recognizes three isoforms of BAG1, includes GAG1L, BAG1M, and BAG1S.
实验方案
| Product Specific Protocols | |
|---|---|
| IHC protocol for BAG1S/1M/1L antibody 16150-1-AP | Download protocol |
| IP protocol for BAG1S/1M/1L antibody 16150-1-AP | Download protocol |
| WB protocol for BAG1S/1M/1L antibody 16150-1-AP | Download protocol |
| Standard Protocols | |
|---|---|
| Click here to view our Standard Protocols |
















